• 文献检索
  • 文档翻译
  • 深度研究
  • 学术资讯
  • Suppr Zotero 插件Zotero 插件
  • 邀请有礼
  • 套餐&价格
  • 历史记录
应用&插件
Suppr Zotero 插件Zotero 插件浏览器插件Mac 客户端Windows 客户端微信小程序
定价
高级版会员购买积分包购买API积分包
服务
文献检索文档翻译深度研究API 文档MCP 服务
关于我们
关于 Suppr公司介绍联系我们用户协议隐私条款
关注我们

Suppr 超能文献

核心技术专利:CN118964589B侵权必究
粤ICP备2023148730 号-1Suppr @ 2026

文献检索

告别复杂PubMed语法,用中文像聊天一样搜索,搜遍4000万医学文献。AI智能推荐,让科研检索更轻松。

立即免费搜索

文件翻译

保留排版,准确专业,支持PDF/Word/PPT等文件格式,支持 12+语言互译。

免费翻译文档

深度研究

AI帮你快速写综述,25分钟生成高质量综述,智能提取关键信息,辅助科研写作。

立即免费体验

前列腺癌中假腔大小和周长:与患者预后的相关性。

Pseudolumen size and perimeter in prostate cancer: correlation with patient outcome.

作者信息

Iczkowski Kenneth A, Torkko Kathleen C, Kotnis Gregory R, Wilson R Storey, Huang Wei, Wheeler Thomas M, Abeyta Andrea M, Lucia M Scott

机构信息

Department of Pathology, University of Colorado Denver School of Medicine, Aurora, CO 80045, USA.

出版信息

Prostate Cancer. 2011;2011:693853. doi: 10.1155/2011/693853. Epub 2011 Jul 14.

DOI:10.1155/2011/693853
PMID:22110997
原文链接:https://pmc.ncbi.nlm.nih.gov/articles/PMC3200296/
Abstract

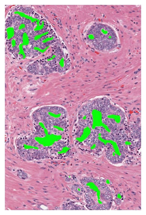
We demonstrated in 2011 that 61% of men with postoperative PSA failure had some cribriform pattern of prostate cancer, versus 16% of nonfailures (OR = 5.89, P < .0001). That study used digitized radical prostatectomy slides from 153 men, 76 failures (≥0.2 ng/mL) matched to 77 nonfailures. The current study's hypothesis: pseudolumen size and shape variability could stratify outcome within histologic patterns (single separate acini, separate acini with undulating lumens, fused small acini, papillary, cribriform). Pseudolumens were filled digitally on image captures from previously annotated specimens. Among all 5 patterns, pseudolumen spaces averaged smaller in failures than nonfailures. After multivariate analysis controlling for stage, age, margin, cancer amount, prostate volume, and presence of individual cells (grade 5), this retained significance only for the undulating-lumens and papillary patterns. In undulating-lumens pattern, PSA failures had smaller mean pseudolumen space sizes (P = .03) but larger perimeters (P = .04), implying more pseudolumen irregularity. In papillary pattern, the number of pseudolumen spaces was higher in failures (P = .015), space size was smaller (P = .11), perimeters were smaller (P = .04), and perimeter/size ratio was higher (P = .02). In conclusion, digitally measured pseudolumen size and shape may associate with outcome.

摘要

2011年我们证实,术后前列腺特异性抗原(PSA)失败的男性中,61%患有某种筛状型前列腺癌,而未出现PSA失败的男性中这一比例为16%(比值比=5.89,P<.0001)。该研究使用了153名男性的数字化根治性前列腺切除术切片,76例PSA失败患者(PSA≥0.2 ng/mL)与77例未失败患者进行匹配。本研究的假设:假管腔大小和形状变异性可在组织学模式(单个分离腺泡、具有波浪状管腔的分离腺泡、融合小腺泡、乳头状、筛状)内对预后进行分层。通过对先前标注标本的图像采集进行数字填充来形成假管腔。在所有5种模式中,PSA失败患者的假管腔空间平均比未失败患者小。在对分期、年龄、切缘、癌灶大小、前列腺体积和单个细胞(5级)的存在情况进行多因素分析后,只有波浪状管腔和乳头状模式仍具有统计学意义。在波浪状管腔模式中,PSA失败患者的平均假管腔空间尺寸较小(P=.03),但周长较大(P=.04),这意味着假管腔更不规则。在乳头状模式中,PSA失败患者的假管腔数量较多(P=.015),空间尺寸较小(P=.11),周长较小(P=.04),周长/尺寸比更高(P=.02)。总之,数字测量的假管腔大小和形状可能与预后相关。

https://cdn.ncbi.nlm.nih.gov/pmc/blobs/649c/3200296/1d26f296a2b3/PC2011-693853.003.jpg
https://cdn.ncbi.nlm.nih.gov/pmc/blobs/649c/3200296/51674f768836/PC2011-693853.001.jpg
https://cdn.ncbi.nlm.nih.gov/pmc/blobs/649c/3200296/945e4f843425/PC2011-693853.002.jpg
https://cdn.ncbi.nlm.nih.gov/pmc/blobs/649c/3200296/1d26f296a2b3/PC2011-693853.003.jpg
https://cdn.ncbi.nlm.nih.gov/pmc/blobs/649c/3200296/51674f768836/PC2011-693853.001.jpg
https://cdn.ncbi.nlm.nih.gov/pmc/blobs/649c/3200296/945e4f843425/PC2011-693853.002.jpg
https://cdn.ncbi.nlm.nih.gov/pmc/blobs/649c/3200296/1d26f296a2b3/PC2011-693853.003.jpg

相似文献

1
Pseudolumen size and perimeter in prostate cancer: correlation with patient outcome.前列腺癌中假腔大小和周长:与患者预后的相关性。
Prostate Cancer. 2011;2011:693853. doi: 10.1155/2011/693853. Epub 2011 Jul 14.
2
Digital quantification of five high-grade prostate cancer patterns, including the cribriform pattern, and their association with adverse outcome.数字化定量分析五种高级别前列腺癌模式,包括筛状模式,及其与不良结局的关系。
Am J Clin Pathol. 2011 Jul;136(1):98-107. doi: 10.1309/AJCPZ7WBU9YXSJPE.
3
PTEN loss and p27 loss differ among morphologic patterns of prostate cancer, including cribriform.PTEN缺失和p27缺失在前列腺癌的形态学模式(包括筛状模式)中存在差异。
Hum Pathol. 2017 Jul;65:85-91. doi: 10.1016/j.humpath.2017.04.024. Epub 2017 May 10.
4
Stage T1-2 prostate cancer: a multivariate analysis of factors affecting biochemical and clinical failures after radical prostatectomy.T1-2期前列腺癌:根治性前列腺切除术后影响生化及临床失败因素的多变量分析
Int J Radiat Oncol Biol Phys. 1997 Mar 15;37(5):1043-52. doi: 10.1016/s0360-3016(96)00590-1.
5
Correlation of clinical and pathologic factors with rising prostate-specific antigen profiles after radical prostatectomy alone for clinically localized prostate cancer.临床局限性前列腺癌单纯根治性前列腺切除术后临床及病理因素与前列腺特异性抗原水平升高的相关性
Urology. 1996 Aug;48(2):249-60. doi: 10.1016/S0090-4295(96)00167-7.
6
Anatomic site-specific positive margins in organ-confined prostate cancer and its impact on outcome after radical prostatectomy.器官局限性前列腺癌中解剖部位特异性切缘阳性及其对根治性前列腺切除术后结局的影响。
Urology. 1997 Nov;50(5):733-9. doi: 10.1016/S0090-4295(97)00450-0.
7
Concordance of cribriform architecture in matched prostate cancer biopsy and radical prostatectomy specimens.前列腺癌活检与根治性前列腺切除术标本中筛状结构的一致性。
Histopathology. 2019 Sep;75(3):338-345. doi: 10.1111/his.13893. Epub 2019 Aug 2.
8
Cribriform morphology predicts upstaging after radical prostatectomy in patients with Gleason score 3 + 4 = 7 prostate cancer at transrectal ultrasound (TRUS)-guided needle biopsy.在经直肠超声(TRUS)引导下穿刺活检 Gleason 评分 3 + 4 = 7 的前列腺癌患者中,筛状形态可预测根治性前列腺切除术后分期升级。
Virchows Arch. 2015 Oct;467(4):437-42. doi: 10.1007/s00428-015-1809-5. Epub 2015 Jul 31.
9
Atypical cribriform lesions of the prostate: relationship to prostatic carcinoma and implication for diagnosis in prostate biopsies.前列腺非典型筛状病变:与前列腺癌的关系及其对前列腺活检诊断的影响。
Am J Surg Pathol. 2010 Apr;34(4):470-7. doi: 10.1097/PAS.0b013e3181cfc44b.
10
Relationship between systematic biopsies and histological features of 222 radical prostatectomy specimens: lack of prediction of tumor significance for men with nonpalpable prostate cancer.222例前列腺癌根治术标本的系统活检与组织学特征之间的关系:对不可触及前列腺癌患者肿瘤意义的预测不足
J Urol. 2001 Jul;166(1):104-9; discussion 109-10.

引用本文的文献

1
Diffusion time effects over the adult lifespan indicates persistent zone-specific microstructural alterations in the human prostate with aging.扩散时间效应在成人寿命期间表明,随着年龄增长,人类前列腺中存在持续的区域特异性微观结构改变。
Magn Reson Med. 2025 May;93(5):2059-2069. doi: 10.1002/mrm.30408. Epub 2024 Dec 29.
2
Dimensional study of prostate cancer using stereological tools.应用体视学工具研究前列腺癌
J Anat. 2022 Jan;240(1):145-154. doi: 10.1111/joa.13524. Epub 2021 Aug 5.
3
Automated prostate tissue referencing for cancer detection and diagnosis.

本文引用的文献

1
Digital quantification of five high-grade prostate cancer patterns, including the cribriform pattern, and their association with adverse outcome.数字化定量分析五种高级别前列腺癌模式,包括筛状模式,及其与不良结局的关系。
Am J Clin Pathol. 2011 Jul;136(1):98-107. doi: 10.1309/AJCPZ7WBU9YXSJPE.
2
Personalized prediction of tumor response and cancer progression on prostate needle biopsy.前列腺针活检中肿瘤反应和癌症进展的个体化预测。
J Urol. 2009 Jul;182(1):125-32. doi: 10.1016/j.juro.2009.02.135. Epub 2009 May 17.
3
Grading of invasive cribriform carcinoma on prostate needle biopsy: an interobserver study among experts in genitourinary pathology.
用于癌症检测和诊断的自动化前列腺组织参考
BMC Bioinformatics. 2016 Jun 1;17(1):227. doi: 10.1186/s12859-016-1086-6.
前列腺穿刺活检中浸润性筛状癌的分级:一项泌尿生殖病理学专家间的观察者间研究。
Am J Surg Pathol. 2008 Oct;32(10):1532-9. doi: 10.1097/PAS.0b013e318169e8fd.
4
High-grade prostatic intraepithelial neoplasialike ductal adenocarcinoma of the prostate: a clinicopathologic study of 28 cases.前列腺高级别前列腺上皮内瘤变样导管腺癌:28例临床病理研究
Am J Surg Pathol. 2008 Jul;32(7):1060-7. doi: 10.1097/PAS.0b013e318160edaf.
5
Low Gleason score prostatic adenocarcinomas are no longer viable entities.低Gleason评分的前列腺腺癌已不再是独立的实体。
Histopathology. 2007 May;50(6):683-90. doi: 10.1111/j.1365-2559.2007.02596.x.
6
The 2005 International Society of Urological Pathology (ISUP) Consensus Conference on Gleason Grading of Prostatic Carcinoma.2005年国际泌尿病理学会(ISUP)前列腺癌Gleason分级共识会议。
Am J Surg Pathol. 2005 Sep;29(9):1228-42. doi: 10.1097/01.pas.0000173646.99337.b1.
7
Current practice of Gleason grading among genitourinary pathologists.泌尿生殖病理学家目前在Gleason分级方面的实践。
Hum Pathol. 2005 Jan;36(1):5-9. doi: 10.1016/j.humpath.2004.10.001.
8
Unusual subtypes of prostate cancer.前列腺癌的罕见亚型。
Mod Pathol. 2004 Mar;17(3):316-27. doi: 10.1038/modpathol.3800052.
9
Atypical cribriform lesions on prostate biopsy.前列腺活检中的非典型筛状病变。
Am J Surg Pathol. 2001 Feb;25(2):147-55. doi: 10.1097/00000478-200102000-00002.
10
Updated protocol for the examination of specimens from patients with carcinomas of the prostate gland: a basis for checklists. Cancer Committee.前列腺癌患者标本检查的更新方案:检查表的基础。癌症委员会。
Arch Pathol Lab Med. 2000 Jul;124(7):1034-9. doi: 10.5858/2000-124-1034-UPFTEO.