• 文献检索
  • 文档翻译
  • 深度研究
  • 学术资讯
  • Suppr Zotero 插件Zotero 插件
  • 邀请有礼
  • 套餐&价格
  • 历史记录
应用&插件
Suppr Zotero 插件Zotero 插件浏览器插件Mac 客户端Windows 客户端微信小程序
定价
高级版会员购买积分包购买API积分包
服务
文献检索文档翻译深度研究API 文档MCP 服务
关于我们
关于 Suppr公司介绍联系我们用户协议隐私条款
关注我们

Suppr 超能文献

核心技术专利:CN118964589B侵权必究
粤ICP备2023148730 号-1Suppr @ 2026

文献检索

告别复杂PubMed语法,用中文像聊天一样搜索,搜遍4000万医学文献。AI智能推荐,让科研检索更轻松。

立即免费搜索

文件翻译

保留排版,准确专业,支持PDF/Word/PPT等文件格式,支持 12+语言互译。

免费翻译文档

深度研究

AI帮你快速写综述,25分钟生成高质量综述,智能提取关键信息,辅助科研写作。

立即免费体验

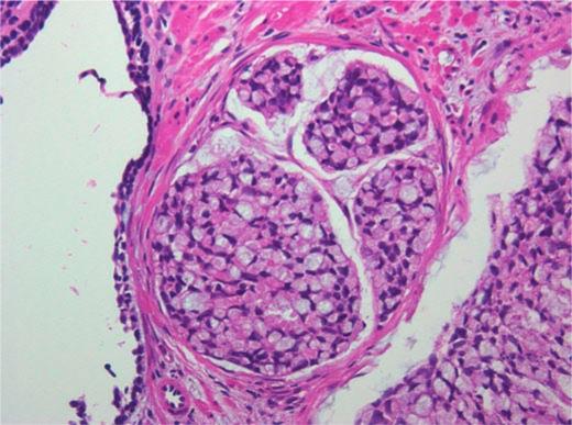
一名日本男性患有侵袭性前列腺印戒细胞癌。

An aggressive signet ring cell carcinoma of the prostate in a Japanese man.

作者信息

Hashimoto Yasuhiro, Imanishi Kengo, Okamoto Akiko, Sasaki Atsushi, Saitoh Hisao, Wada Ryuichi, Yamamoto Hayato, Koie Takuya, Ohyama Chikara

机构信息

Oyokyo Kidney Research Institute, Hirosaki Hospital, Hirosaki, Japan.

出版信息

Case Rep Oncol. 2011 Sep;4(3):517-20. doi: 10.1159/000334081. Epub 2011 Oct 17.

DOI:10.1159/000334081
PMID:22114579
原文链接:https://pmc.ncbi.nlm.nih.gov/articles/PMC3220913/
Abstract

Signet ring cell carcinoma (SRCC) of the prostate is rare, with approximately 100 case reports to date. Here we report a very aggressive case of SRCC of the prostate in a Japanese man. The patient received estramustine, docetaxel, and carboplatin combination chemotherapy, followed by TS-1 and CPT-11 combination therapy. Unfortunately, the disease progressed, and he died of general metastatic disease treated over 16 month with systemic chemotherapy.

摘要

前列腺印戒细胞癌(SRCC)较为罕见,迄今为止约有100例病例报告。在此,我们报告一例日本男性侵袭性很强的前列腺SRCC病例。该患者接受了雌莫司汀、多西他赛和卡铂联合化疗,随后接受替吉奥和伊立替康联合治疗。不幸的是,疾病进展,患者在接受16个月全身化疗后死于全身转移性疾病。

https://cdn.ncbi.nlm.nih.gov/pmc/blobs/6252/3220913/bfe12c522cee/cro0004-0517-f03.jpg
https://cdn.ncbi.nlm.nih.gov/pmc/blobs/6252/3220913/b7c4abcdfffc/cro0004-0517-f01.jpg
https://cdn.ncbi.nlm.nih.gov/pmc/blobs/6252/3220913/927b19602214/cro0004-0517-f02.jpg
https://cdn.ncbi.nlm.nih.gov/pmc/blobs/6252/3220913/bfe12c522cee/cro0004-0517-f03.jpg
https://cdn.ncbi.nlm.nih.gov/pmc/blobs/6252/3220913/b7c4abcdfffc/cro0004-0517-f01.jpg
https://cdn.ncbi.nlm.nih.gov/pmc/blobs/6252/3220913/927b19602214/cro0004-0517-f02.jpg
https://cdn.ncbi.nlm.nih.gov/pmc/blobs/6252/3220913/bfe12c522cee/cro0004-0517-f03.jpg

相似文献

1
An aggressive signet ring cell carcinoma of the prostate in a Japanese man.一名日本男性患有侵袭性前列腺印戒细胞癌。
Case Rep Oncol. 2011 Sep;4(3):517-20. doi: 10.1159/000334081. Epub 2011 Oct 17.
2
Primary signet ring cell carcinoma of the prostate.原发性前列腺印戒细胞癌
Can Urol Assoc J. 2013 Nov-Dec;7(11-12):E768-71. doi: 10.5489/cuaj.630.
3
Primary signet ring cell carcinoma of the prostate treated by radical cystoprostatectomy and chemoradiotherapy.经根治性膀胱前列腺切除术及放化疗治疗的原发性前列腺印戒细胞癌
Can Urol Assoc J. 2016 May-Jun;10(5-6):E204-E206. doi: 10.5489/cuaj.3122. Epub 2016 May 12.
4
Metastatic Signet-Ring Cell Carcinoma of the Bladder in Cerebrospinal Fluid.脑脊液中膀胱转移性印戒细胞癌
Diagn Cytopathol. 2017 Jan;45(1):73-76. doi: 10.1002/dc.23603. Epub 2016 Sep 15.
5
Primary signet-ring cell carcinoma of the lung: A report of seven cases.肺原发性印戒细胞癌:七例报告。
Thorac Cancer. 2020 Oct;11(10):3015-3019. doi: 10.1111/1759-7714.13614. Epub 2020 Aug 19.
6
Primary signet-ring cell carcinoma of the lung with histochemical characterization.具有组织化学特征的原发性肺印戒细胞癌。
Anticancer Res. 2002 Mar-Apr;22(2B):1079-81.
7
Survival benefit of palliative gastrectomy followed by chemotherapy in stage IV gastric signet ring cell carcinoma patients: A large population-based study.姑息性胃切除术后化疗对 IV 期胃印戒细胞癌患者的生存获益:一项大型基于人群的研究。
Cancer Med. 2019 Oct;8(13):6010-6020. doi: 10.1002/cam4.2521. Epub 2019 Aug 25.
8
Signet-ring cell carcinoma of the prostate effectively treated with maximal androgen blockade.前列腺印戒细胞癌经最大雄激素阻断治疗有效。
Int J Urol. 2003 Aug;10(8):456-8. doi: 10.1046/j.1442-2042.2003.00649.x.
9
Prognosis of Signet Ring Cell Carcinoma of the Colon and Rectum and their Distinction of Mucinous Adenocarcinoma with Signet Ring Cells. A Comparative Study.结直肠癌印戒细胞癌的预后及其与伴有印戒细胞的黏液腺癌的鉴别。一项对比研究。
Pathol Oncol Res. 2018 Jul;24(3):609-616. doi: 10.1007/s12253-017-0283-6. Epub 2017 Aug 7.
10
Signet ring cell carcinoma of the extrahepatic bile duct.肝外胆管的印戒细胞癌。
Gut Liver. 2010 Sep;4(3):402-6. doi: 10.5009/gnl.2010.4.3.402. Epub 2010 Sep 24.

引用本文的文献

1
Primary signet-ring cell carcinoma of the prostate involving the pelvis: a case report.累及盆腔的原发性前列腺印戒细胞癌:一例报告
Front Oncol. 2024 Dec 11;14:1444541. doi: 10.3389/fonc.2024.1444541. eCollection 2024.
2
Diagnosis and Management of Primary Prostatic Signet Ring Cell Carcinoma: Single-Center Experience.原发性前列腺印戒细胞癌的诊断和治疗:单中心经验。
Am J Mens Health. 2022 Mar-Apr;16(2):15579883221087839. doi: 10.1177/15579883221087839.
3
Immunohistochemical analysis of PD-L1 and tumor-infiltrating immune cells expression in the tumor microenvironment of primary signet ring cell carcinoma of the prostate.

本文引用的文献

1
Primary signet ring cell carcinoma of the prostate.前列腺原发性印戒细胞癌。
Mayo Clin Proc. 2010 Dec;85(12):1130-6. doi: 10.4065/mcp.2010.0463.
2
[A case of non-curatively resected gastric cancer successfully treated over 17 months with TS-1 and irinotecan combination therapy].
Gan To Kagaku Ryoho. 2006 Sep;33(9):1309-11.
3
High-risk localized prostate cancer: integrating chemotherapy.
Oncologist. 2005 Oct;10 Suppl 2:18-22. doi: 10.1634/theoncologist.10-90002-18.
4
前列腺原发性印戒细胞癌肿瘤微环境中 PD-L1 和肿瘤浸润免疫细胞表达的免疫组织化学分析。
Asian J Androl. 2022 Sep-Oct;24(5):525-532. doi: 10.4103/aja202186.
A phase I study of estramustine, weekly docetaxel, and carboplatin chemotherapy in patients with hormone-refractory prostate cancer.一项关于雌莫司汀、每周一次多西他赛和卡铂化疗用于激素难治性前列腺癌患者的I期研究。
Clin Cancer Res. 2005 Jan 1;11(1):284-9.
5
Unusual subtypes of prostate cancer.前列腺癌的罕见亚型。
Mod Pathol. 2004 Mar;17(3):316-27. doi: 10.1038/modpathol.3800052.
6
A phase II study of estramustine, docetaxel, and carboplatin with granulocyte-colony-stimulating factor support in patients with hormone-refractory prostate carcinoma: Cancer and Leukemia Group B 99813.一项在激素难治性前列腺癌患者中使用雌莫司汀、多西他赛和卡铂并给予粒细胞集落刺激因子支持的II期研究:癌症与白血病B组99813。
Cancer. 2003 Dec 15;98(12):2592-8. doi: 10.1002/cncr.11829.
7
M1 prostate cancer with a serum level of prostate-specific antigen less than 10 ng/mL.
Int J Urol. 2001 Jul;8(7):374-9. doi: 10.1046/j.1442-2042.2001.00316.x.
8
Histologic variants of adenocarcinoma and other carcinomas of prostate: pathologic criteria and clinical significance.前列腺腺癌及其他前列腺癌的组织学变异型:病理标准及临床意义。
Mod Pathol. 1997 Jun;10(6):612-29.
9
Primary signet-ring cell carcinoma of the prostate.
Hum Pathol. 1988 Apr;19(4):478-80. doi: 10.1016/s0046-8177(88)80501-x.