• 文献检索
  • 文档翻译
  • 深度研究
  • 学术资讯
  • Suppr Zotero 插件Zotero 插件
  • 邀请有礼
  • 套餐&价格
  • 历史记录
应用&插件
Suppr Zotero 插件Zotero 插件浏览器插件Mac 客户端Windows 客户端微信小程序
定价
高级版会员购买积分包购买API积分包
服务
文献检索文档翻译深度研究API 文档MCP 服务
关于我们
关于 Suppr公司介绍联系我们用户协议隐私条款
关注我们

Suppr 超能文献

核心技术专利:CN118964589B侵权必究
粤ICP备2023148730 号-1Suppr @ 2026

文献检索

告别复杂PubMed语法,用中文像聊天一样搜索,搜遍4000万医学文献。AI智能推荐,让科研检索更轻松。

立即免费搜索

文件翻译

保留排版,准确专业,支持PDF/Word/PPT等文件格式,支持 12+语言互译。

免费翻译文档

深度研究

AI帮你快速写综述,25分钟生成高质量综述,智能提取关键信息,辅助科研写作。

立即免费体验

从一头流产牛胎儿中分离出的立克次氏体的培养

Development of a rickettsia isolated from an aborted bovine fetus.

作者信息

Kocan K M, Crawford T B, Dilbeck P M, Evermann J F, McGuire T C

机构信息

Department of Veterinary Pathology, College of Veterinary Medicine, Stillwater 74078.

出版信息

J Bacteriol. 1990 Oct;172(10):5949-55. doi: 10.1128/jb.172.10.5949-5955.1990.

DOI:10.1128/jb.172.10.5949-5955.1990
PMID:2211519
原文链接:https://pmc.ncbi.nlm.nih.gov/articles/PMC526916/
Abstract

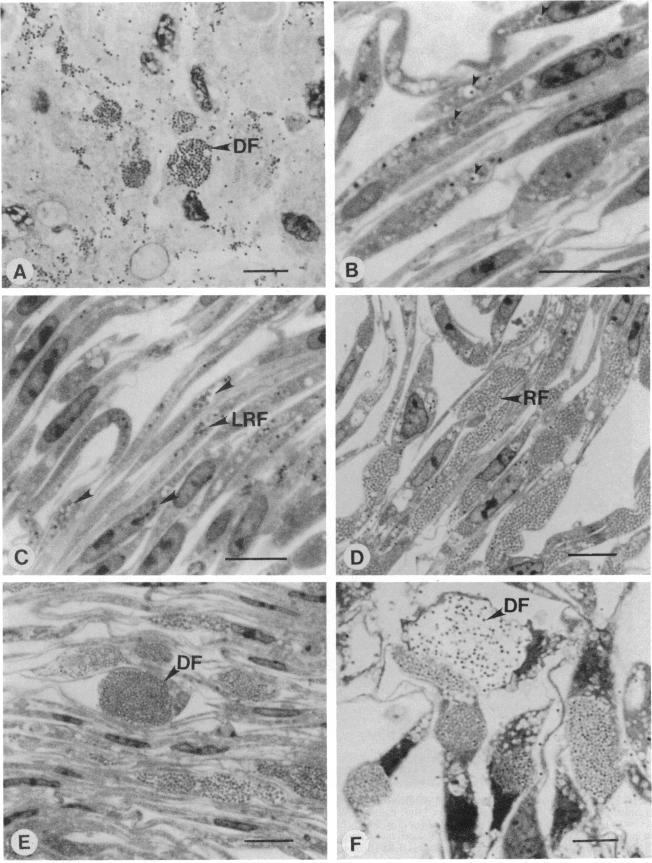
An obligate intracellular rickettsial organism isolated from an aborted bovine fetus was studied in bovine turbinate and mouse macrophage cell cultures with light and electron microscopy. Development of the organism was similar in both cell types. The organism replicated within cytoplasmic vacuoles in a developmental cycle that resembled that of both the ehrlichiae and chlamydiae. The inoculum contained only electron-dense forms, which infected cells within 2 h postinoculation by adhering to cell membranes at thickened areas that appeared to be coated pits and then being endocytosed. A striking feature occurred next as the organisms became surrounded by host cell mitochondria and, by light microscopy, appeared to have halos. During this intimate association with mitochondria, the electron-dense organisms changed into large reticulated forms that began to divide by binary fission. These large forms were often in direct contact with mitochondrial membranes. The organisms continued to divide by binary fission, and host cells contained large cytoplasmic inclusions of reticulated organisms. The reticulated organisms gradually changed into electron-dense forms that were released from degenerated host cells.

摘要

从一头流产的牛胎儿中分离出一种专性细胞内立克次氏体微生物,利用光学显微镜和电子显微镜在牛鼻甲和小鼠巨噬细胞培养物中对其进行了研究。该微生物在两种细胞类型中的发育情况相似。该微生物在细胞质空泡内复制,其发育周期类似于埃立克体和衣原体的发育周期。接种物仅包含电子致密形态,接种后2小时内,它们通过粘附在似乎是被膜小窝的增厚区域的细胞膜上,然后被内吞,从而感染细胞。接下来出现了一个显著特征,即这些微生物被宿主细胞线粒体包围,在光学显微镜下似乎有光晕。在与线粒体的这种紧密关联过程中,电子致密的微生物转变为大型网状形态,并开始通过二分裂进行分裂。这些大型形态通常与线粒体膜直接接触。微生物继续通过二分裂进行分裂,宿主细胞含有大型的网状微生物细胞质内含物。网状微生物逐渐转变为电子致密形态,并从退化的宿主细胞中释放出来。

https://cdn.ncbi.nlm.nih.gov/pmc/blobs/bec1/526916/9e69316a03cb/jbacter00164-0446-a.jpg
https://cdn.ncbi.nlm.nih.gov/pmc/blobs/bec1/526916/955f74e6f931/jbacter00164-0443-a.jpg
https://cdn.ncbi.nlm.nih.gov/pmc/blobs/bec1/526916/fbc9bf178caa/jbacter00164-0444-a.jpg
https://cdn.ncbi.nlm.nih.gov/pmc/blobs/bec1/526916/e28691fba0c0/jbacter00164-0445-a.jpg
https://cdn.ncbi.nlm.nih.gov/pmc/blobs/bec1/526916/9e69316a03cb/jbacter00164-0446-a.jpg
https://cdn.ncbi.nlm.nih.gov/pmc/blobs/bec1/526916/955f74e6f931/jbacter00164-0443-a.jpg
https://cdn.ncbi.nlm.nih.gov/pmc/blobs/bec1/526916/fbc9bf178caa/jbacter00164-0444-a.jpg
https://cdn.ncbi.nlm.nih.gov/pmc/blobs/bec1/526916/e28691fba0c0/jbacter00164-0445-a.jpg
https://cdn.ncbi.nlm.nih.gov/pmc/blobs/bec1/526916/9e69316a03cb/jbacter00164-0446-a.jpg

相似文献

1
Development of a rickettsia isolated from an aborted bovine fetus.从一头流产牛胎儿中分离出的立克次氏体的培养
J Bacteriol. 1990 Oct;172(10):5949-55. doi: 10.1128/jb.172.10.5949-5955.1990.
2
Isolation of a previously undescribed rickettsia from an aborted bovine fetus.从一头流产的牛胎儿中分离出一种此前未被描述的立克次氏体。
J Clin Microbiol. 1990 Apr;28(4):814-6. doi: 10.1128/jcm.28.4.814-816.1990.
3
Characteristics of a paramyxovirus isolated from an aborted bovine fetus.从一头流产牛胎儿中分离出的副粘病毒的特性。
Cornell Vet. 1973 Jan;63(1):17-28.
4
Isolation of a strain of infectious bovine rhinotracheitis virus from aborted fetuses.从流产胎儿中分离出一株传染性牛鼻气管炎病毒。
Natl Inst Anim Health Q (Tokyo). 1972 Summer;12(2):110-1.
5
Cephalosporium isolated from an aborted bovine fetus.从一头流产牛胎儿中分离出的头孢霉。
Vet Med Small Anim Clin. 1978 Jan;73(1):88.
6
Electron microscopy of Cowdria-infected macrophages suggests that in the absence of binary fission a mosaic of organisms develops from an amorphous electron dense matrix.对感染考德里氏体的巨噬细胞进行电子显微镜观察表明,在没有二分裂的情况下,从无定形电子致密基质中会形成一种嵌合体生物体。
Onderstepoort J Vet Res. 1999 Mar;66(1):39-46.
7
Analysis of the 16S rRNA gene of micro-organism WSU 86-1044 from an aborted bovine foetus reveals that it is a member of the order Chlamydiales: proposal of Waddliaceae fam. nov., Waddlia chondrophila gen. nov., sp. nov.对一头流产牛胎儿的微生物WSU 86 - 1044的16S rRNA基因分析表明,它是衣原体目成员:提议建立新科沃氏菌科、新属沃氏菌属、新种嗜软骨沃氏菌。
Int J Syst Bacteriol. 1999 Apr;49 Pt 2:577-81. doi: 10.1099/00207713-49-2-577.
8
Biochemical and serological characterization of Campylobacter strains isolated from aborted bovine fetuses.从流产牛胎儿中分离出的弯曲杆菌菌株的生化和血清学特性
Acta Vet Hung. 1986;34(1-2):55-9.
9
Ultrastructural description of new Rickettsia-like organisms in the commercial abalone Haliotis tuberculata (Gastropoda: Haliotidae) from the NW of Spain.西班牙西北部商业鲍(皱纹盘鲍,腹足纲:鲍科)中新发现的类立克次氏体生物的超微结构描述
Dis Aquat Organ. 2006 Aug 30;71(3):233-7. doi: 10.3354/dao071233.
10
In vitro cultivation of rickettsia-like-organisms from Glossina spp.从采采蝇属昆虫中体外培养类立克次氏体生物
Ann Trop Med Parasitol. 1987 Jun;81(3):331-5. doi: 10.1080/00034983.1987.11812127.

引用本文的文献

1
A Zebrafish Model for Infection with the Obligate Intracellular Pathogen .一种用于感染专性胞内病原体的斑马鱼模型
Front Microbiol. 2016 Nov 18;7:1829. doi: 10.3389/fmicb.2016.01829. eCollection 2016.
2
Experimental challenge of pregnant cattle with the putative abortifacient Waddlia chondrophila.用疑似致流产的沃氏疏螺旋体对怀孕母牛进行实验性挑战。
Sci Rep. 2016 Nov 14;6:37150. doi: 10.1038/srep37150.
3
MAPK Activation Is Essential for Waddlia chondrophila Induced CXCL8 Expression in Human Epithelial Cells.丝裂原活化蛋白激酶(MAPK)的激活对于嗜软骨沃氏菌诱导人上皮细胞中CXCL8的表达至关重要。

本文引用的文献

1
A SIMPLIFIED LEAD CITRATE STAIN FOR USE IN ELECTRON MICROSCOPY.一种用于电子显微镜的简化柠檬酸铅染色法。
J Cell Biol. 1965 May;25(2):407-8. doi: 10.1083/jcb.25.2.407.
2
Embedding in epoxy resins for ultrathin sectioning in electron microscopy.嵌入环氧树脂用于电子显微镜超薄切片。
Stain Technol. 1960 Nov;35:313-23. doi: 10.3109/10520296009114754.
3
In vitro studies of Rickettsia-host cell interactions: ultrastructural study of Rickettsia prowazekii-infected chicken embryo fibroblasts.立克次氏体与宿主细胞相互作用的体外研究:普氏立克次氏体感染鸡胚成纤维细胞的超微结构研究
PLoS One. 2016 Mar 22;11(3):e0152193. doi: 10.1371/journal.pone.0152193. eCollection 2016.
4
Waddlia chondrophila infects and multiplies in ovine trophoblast cells stimulating an inflammatory immune response.嗜软骨沃氏菌感染绵羊滋养层细胞并在其中繁殖,刺激炎症免疫反应。
PLoS One. 2014 Jul 10;9(7):e102386. doi: 10.1371/journal.pone.0102386. eCollection 2014.
5
Transmission electron microscopy reveals distinct macrophage- and tick cell-specific morphological stages of Ehrlichia chaffeensis.透射电子显微镜显示,查菲埃立克体在巨噬细胞和蜱细胞中有不同的形态学阶段。
PLoS One. 2012;7(5):e36749. doi: 10.1371/journal.pone.0036749. Epub 2012 May 15.
6
The Waddlia genome: a window into chlamydial biology.《沃尔德隆氏体基因组:衣原体生物学的一个窗口》
PLoS One. 2010 May 28;5(5):e10890. doi: 10.1371/journal.pone.0010890.
7
Waddlia chondrophila, a potential agent of human fetal death.嗜软骨沃氏菌,一种导致人类胎儿死亡的潜在病原体。
Emerg Infect Dis. 2007 Aug;13(8):1239-43. doi: 10.3201/eid1308.070315.
8
Pathogenic potential of novel Chlamydiae and diagnostic approaches to infections due to these obligate intracellular bacteria.新型衣原体的致病潜力以及针对这些专性胞内细菌所致感染的诊断方法。
Clin Microbiol Rev. 2006 Apr;19(2):283-97. doi: 10.1128/CMR.19.2.283-297.2006.
9
The tribe Ehrlichieae and ehrlichial diseases.埃立克体族与埃立克体病
Clin Microbiol Rev. 1991 Jul;4(3):286-308. doi: 10.1128/CMR.4.3.286.
Infect Immun. 1980 Aug;29(2):778-90. doi: 10.1128/iai.29.2.778-790.1980.
4
Formation of a novel phagosome by the Legionnaires' disease bacterium (Legionella pneumophila) in human monocytes.嗜肺军团菌在人类单核细胞中形成新型吞噬体。
J Exp Med. 1983 Oct 1;158(4):1319-31. doi: 10.1084/jem.158.4.1319.
5
Heartwater (Cowdria ruminantium infection): current status.心水病(反刍兽考德里氏体感染):现状
Adv Vet Sci Comp Med. 1983;27:427-80.
6
Isolation and electron microscopic observations of intracytoplasmic inclusions containing Chlamydia psittaci.鹦鹉热衣原体胞质内包涵体的分离及电镜观察
J Bacteriol. 1981 Jan;145(1):605-12. doi: 10.1128/jb.145.1.605-612.1981.
7
Rickettsiaceae and Chlamydiaceae: comparative electron microscopic studies.立克次氏体科和衣原体科:比较电子显微镜研究
Acta Virol. 1984 Mar;28(2):159-73.
8
Electron microscopy of tick-borne fever agent in bovine and ovine phagocytizing leukocytes.牛和羊吞噬性白细胞中蜱传发热病原体的电子显微镜观察
J Bacteriol. 1966 Nov;92(5):1478-92. doi: 10.1128/jb.92.5.1478-1492.1966.
9
Ultrastructure of Ehrlichia canis.犬埃立克体的超微结构
Infect Immun. 1973 Feb;7(2):265-71. doi: 10.1128/iai.7.2.265-271.1973.
10
The interaction between Toxoplasma gondii and mammalian cells. II. The absence of lysosomal fusion with phagocytic vacuoles containing living parasites.刚地弓形虫与哺乳动物细胞之间的相互作用。II. 溶酶体与含有活寄生虫的吞噬泡不发生融合。
J Exp Med. 1972 Nov 1;136(5):1173-94. doi: 10.1084/jem.136.5.1173.