Suppr超能文献

皮肤结核患者的临床和组织病理学特征

A clinical and histopathological profile of patients with cutaneous tuberculosis.

作者信息

Puri Neerja

机构信息

Department of Dermatology, Punjab Health Systems Corporation, Punjab, India.

出版信息

Indian J Dermatol. 2011 Sep-Oct;56(5):550-2. doi: 10.4103/0019-5154.87153.

Abstract

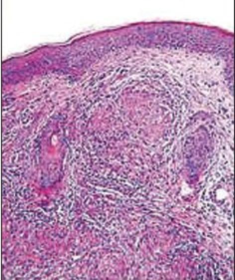
Extrapulmonary tuberculosis constitutes about 10% of all cases of tuberculosis, and cutaneous tuberculosis makes up only a small proportion of these cases. Despite prevention programs, tuberculosis is still progressing endemically in developing countries. Commonest clinical variant of cutaneous tuberculosis in our study was lupus vulgaris seen in 55% patients followed by scrufuloderma seen in 25% patients followed by orificial tuberculosis, tuberculosis verrucosa cutis, papulonecrotic tuberculid, and erythema induratum seen in 5% each. The commonest site of involvement was limbs seen in 50% patients followed by neck seen in 25% patients, face in 15%, and trunk in 10% patients. Maximum percentage of patients (55%) had duration of cutaneous tuberculosis between 6-12 months followed by 35% between 13-24 months, 5% had duration of cutaneous tuberculosis less than 6 months, and the rest 5% had duration more than 24 months. The commonest histopathological feature in our study was tuberculoid granuloma with epitheloid cell and Langhans giant cells seen in 70% patients, hyperkeratosis was seen in 15% patients and AFB bacilli were seen in 5% patients.

摘要

肺外结核约占所有结核病例的10%,而皮肤结核仅占这些病例中的一小部分。尽管有预防计划,但结核病在发展中国家仍呈地方性流行态势。在我们的研究中,皮肤结核最常见的临床类型是寻常狼疮,见于55%的患者,其次是瘰疬性皮肤结核,见于25%的患者,然后是腔口结核、疣状皮肤结核、丘疹坏死性结核疹和硬结性红斑,各占5%。最常受累的部位是四肢,见于50%的患者,其次是颈部,见于25%的患者,面部占15%,躯干占10%。最大比例的患者(55%)皮肤结核病程在6至12个月之间,其次35%在13至24个月之间,5%的患者皮肤结核病程少于6个月,其余5%病程超过24个月。在我们的研究中,最常见的组织病理学特征是结核样肉芽肿,伴有上皮样细胞和朗汉斯巨细胞,见于70%的患者,15%的患者有角化过度,5%的患者可见抗酸杆菌。

https://cdn.ncbi.nlm.nih.gov/pmc/blobs/aab3/3221221/0cbd8b9bf23a/IJD-56-550-g001.jpg

文献AI研究员

20分钟写一篇综述,助力文献阅读效率提升50倍。

立即体验

用中文搜PubMed

大模型驱动的PubMed中文搜索引擎

马上搜索

文档翻译

学术文献翻译模型,支持多种主流文档格式。

立即体验