Suppr超能文献

家族性腺瘤性息肉病女性患者回肠造口处原发性腺癌:一例报告及文献复习

Primary adenocarcinoma in the ileostomy of a woman with familial adenomatous polyposis: a case report and literature review.

作者信息

Hammad Ahmed, Tayyem Raed, Milewski Peter J, Gunasekaran Shanmugavelu

机构信息

Withybush General Hospital, Fishguard Road, Haverfordwest, SA61 2PZ, UK.

出版信息

J Med Case Rep. 2011 Nov 30;5:556. doi: 10.1186/1752-1947-5-556.

Abstract

INTRODUCTION

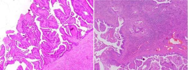
Ileal adenomas associated with familial adenomatous polyposis are a common finding. Many recent studies following panproctocolectomy for familial adenomatous polyposis have confirmed the presence of multiple ileal adenomas and an increase in ileal mucosal proliferation. In this study, we present a case of invasive adenocarcinoma arising in a severely dysplastic tubulovillous adenoma in the ileostomy of a patient with familial adenomatous polyposis; also, we present a literature review. To the best of our knowledge, only very few cases have been reported in the literature.

CASE PRESENTATION

A 59-year-old Caucasian woman developed a primary adenocarcinoma in her ileostomy, complicating the stoma 31 years after its formation.

CONCLUSIONS

Primary adenocarcinoma following panproctocolectomy for familial adenomatous polyposis is a very rare clinical entity. The risk of developing adenocarcinoma in those patients increases with time. Patient education and medical examination of the stoma are of paramount importance and should be implemented early with the need of designing a surveillance protocol for early detection and management of ileal adenomas, especially in longstanding stomas.

摘要

引言

与家族性腺瘤性息肉病相关的回肠腺瘤是常见的发现。最近许多关于家族性腺瘤性息肉病全直肠结肠切除术后的研究证实存在多个回肠腺瘤以及回肠黏膜增生增加。在本研究中,我们报告了一例家族性腺瘤性息肉病患者回肠造口处严重发育异常的管状绒毛状腺瘤发生浸润性腺癌的病例;此外,我们还进行了文献综述。据我们所知,文献中仅报道了极少数病例。

病例介绍

一名59岁的白种女性在其回肠造口处发生原发性腺癌,造口形成31年后出现造口并发症。

结论

家族性腺瘤性息肉病全直肠结肠切除术后发生原发性腺癌是一种非常罕见的临床情况。这些患者发生腺癌的风险随时间增加。对患者进行教育以及对造口进行医学检查至关重要,应尽早实施,并且需要设计监测方案以早期发现和处理回肠腺瘤,尤其是对于长期存在的造口。

https://cdn.ncbi.nlm.nih.gov/pmc/blobs/9d12/3247868/5400f7a2cfed/1752-1947-5-556-1.jpg

相似文献

2
Ileoanal pouch neoplasia in familial adenomatous polyposis: an underestimated threat.
Dis Colon Rectum. 2005 Sep;48(9):1708-13. doi: 10.1007/s10350-005-0057-1.
5
Benign colonic metaplasia at a previous stoma site in a patient without adenomatous polyposis.
J Cutan Pathol. 2016 Mar;43(3):276-9. doi: 10.1111/cup.12638. Epub 2015 Nov 2.
7
Familial adenomatous polyposis: a case report and histologic mucin study.
J Clin Gastroenterol. 1999 Jun;28(4):372-6. doi: 10.1097/00004836-199906000-00021.
8
Adenocarcinoma in ileal pouch after proctocolectomy for familial adenomatous polyposis: report of a case.
J Korean Med Sci. 2009 Oct;24(5):985-8. doi: 10.3346/jkms.2009.24.5.985. Epub 2009 Sep 23.
10
Prevalence and morphology of pouch and ileal adenomas in familial adenomatous polyposis.
Dis Colon Rectum. 2005 Apr;48(4):816-23. doi: 10.1007/s10350-004-0835-1.

引用本文的文献

1
Small bowel cancer arising from a scar site more than 60 years after ileostomy closure: a case report.
J Surg Case Rep. 2022 Oct 31;2022(10):rjac485. doi: 10.1093/jscr/rjac485. eCollection 2022 Oct.
2
Adenocarcinoma arising at ileostomy sites: Two cases and a review of the literature.
World J Gastrointest Surg. 2015 Jun 27;7(6):94-7. doi: 10.4240/wjgs.v7.i6.94.

本文引用的文献

1
Ileostomy adenocarcinoma associated with familial adenomatous polyposis (FAP): new problem in old disease.
Int J Colorectal Dis. 2009 Dec;24(12):1475-6. doi: 10.1007/s00384-009-0739-6. Epub 2009 Jun 2.
2
Prevalence of adenomas and carcinomas in the ileal pouch after proctocolectomy in patients with familial adenomatous polyposis.
J Gastrointest Surg. 2009 Jul;13(7):1266-73. doi: 10.1007/s11605-009-0871-1. Epub 2009 Mar 31.
3
Two different types of polypoid lesion at ileostomy site.
Surgery. 2009 Mar;145(3):337-8. doi: 10.1016/j.surg.2007.08.021. Epub 2007 Dec 21.
4
Risk of developing adenomas and carcinomas in the ileal pouch in patients with familial adenomatous polyposis.
Clin Gastroenterol Hepatol. 2008 Nov;6(11):1237-42. doi: 10.1016/j.cgh.2008.06.011. Epub 2008 Oct 10.
7
8
Familial adenomatous polyposis: a case report and histologic mucin study.
J Clin Gastroenterol. 1999 Jun;28(4):372-6. doi: 10.1097/00004836-199906000-00021.

文献AI研究员

20分钟写一篇综述,助力文献阅读效率提升50倍。

立即体验

用中文搜PubMed

大模型驱动的PubMed中文搜索引擎

马上搜索

文档翻译

学术文献翻译模型,支持多种主流文档格式。

立即体验