Suppr超能文献

小唾液腺的浆细胞样肌上皮瘤:病例报告并着重于免疫组织化学发现。

Plasmacytoid myoepithelioma of minor salivary glands: report of case with emphasis in the immunohistochemical findings.

机构信息

Department of Dentistry, School of Dentistry, University Tiradentes, Aracaju, SE, Brazil.

出版信息

Head Face Med. 2011 Dec 12;7:24. doi: 10.1186/1746-160X-7-24.

Abstract

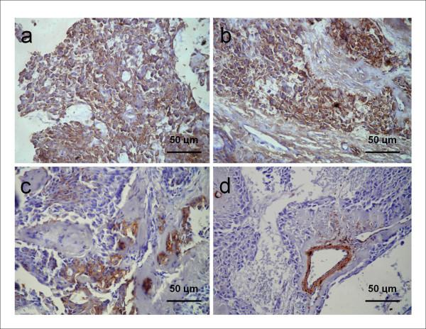
Myoepithelioma is a rare benign tumor of the salivary glands and is usually seen in the parotid gland and the minor salivary glands. It was once considered to be a type of pleomorphic adenoma (PA), but myoepitheliomas are today believed to be relatively aggressive tumors. Myoepitheliomas are most common in young adults between the ages of 30 and 50 and there are very few cases reported in individuals less than 18 years of age. We report a case of myoepithelioma located in the hard palate in a 15-year-old Brazilian male. The tumor was composed of plasmacytoid myoepithelial cells. An analysis of the immunohistochemical profile of the tumor cells showed positivity for vimentin, S-100 protein, and glial fibrillary acidic protein (GFAP), but not for smooth muscle actin (α-SMA) and cytokeratin 14 (CK14). We report this case because of the rarity of this tumor, especially in adolescents. We also discuss the histological parameters of the differential diagnosis of this tumor as well as its immunohistochemical profile.

摘要

肌上皮瘤是一种罕见的唾液腺良性肿瘤,通常见于腮腺和小唾液腺。它曾经被认为是一种多形性腺瘤(PA),但如今认为肌上皮瘤是相对侵袭性的肿瘤。肌上皮瘤最常见于 30 至 50 岁的年轻成年人,在 18 岁以下的个体中非常少见。我们报告了一例位于巴西男性 15 岁硬腭的肌上皮瘤。肿瘤由浆细胞样的肌上皮细胞组成。肿瘤细胞的免疫组织化学分析显示波形蛋白、S-100 蛋白和神经胶质纤维酸性蛋白(GFAP)阳性,但平滑肌肌动蛋白(α-SMA)和细胞角蛋白 14(CK14)阴性。我们报告这个病例是因为这种肿瘤非常罕见,尤其是在青少年中。我们还讨论了这种肿瘤的鉴别诊断的组织学参数及其免疫组织化学特征。

https://cdn.ncbi.nlm.nih.gov/pmc/blobs/def7/3285037/c1e4c3bc27c5/1746-160X-7-24-1.jpg

文献AI研究员

20分钟写一篇综述,助力文献阅读效率提升50倍。

立即体验

用中文搜PubMed

大模型驱动的PubMed中文搜索引擎

马上搜索

文档翻译

学术文献翻译模型,支持多种主流文档格式。

立即体验