Suppr超能文献

格鲁吉亚第比利斯新出现内脏利什曼病焦点的流行病学方面。

Epidemiologic aspects of an emerging focus of visceral leishmaniasis in Tbilisi, Georgia.

机构信息

National Center for Disease Control and Public Health, Tbilisi, Georgia.

出版信息

PLoS Negl Trop Dis. 2011 Dec;5(12):e1415. doi: 10.1371/journal.pntd.0001415. Epub 2011 Dec 13.

Abstract

BACKGROUND

Over the last 15 years, visceral leishmaniasis (VL) has emerged as a public health concern in Tbilisi, the capital of Georgia.

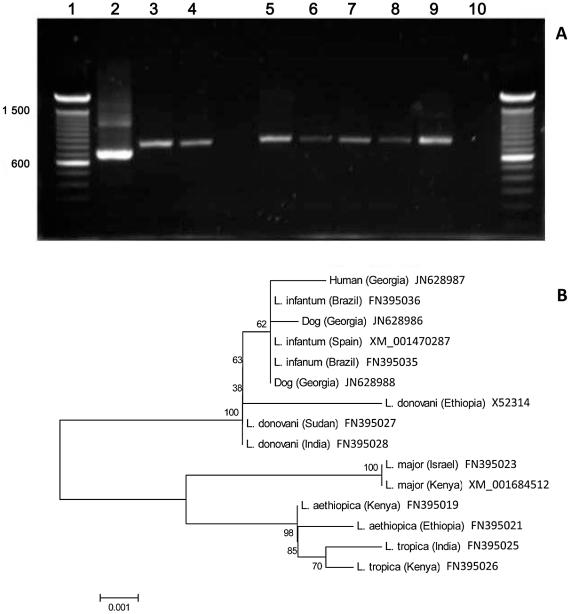
METHODOLOGY/PRINCIPAL FINDINGS: Seroepidemiological surveys were conducted to determine the prevalence and incidence of infection in children and dogs within the main focus of VL, and to identify risk factors associated with human infection. Of 4,250 children investigated, 7.3% were positive by direct agglutination test in a baseline survey; an apparent incidence rate of 6.0% was estimated by one year follow-up. None of the seropositive children progressed to VL during the survey. Increased seropositivity at one year was predicted by presence at baseline of clustered flying insects (OR = 1.49; P = 0.001), perceived satisfactory sanitation (OR = 1.65; P<0.001), stray dogs (OR = 1.33; P = 0.023), and by persistent fever during the 6 months prior to baseline survey (OR = 14.2; P<0.001). Overall, 18.2% (107/588) of domestic and 15.3% (110/718) of stray dogs were seropositive by the rk39 dipstick test. Clinical VL signs were found in 1.3% of domestic and 2.9% of stray, seropositive dogs. Parasites isolated from human and dog samples were identified by PCR and phylogenetic analysis of the Leishmania 70 kDa heat-shock protein (HSP70) gene as Leishmania infantum.

CONCLUSIONS/SIGNIFICANCE: There is an active focus of L. infantum transmission in Tbilisi with a high prevalence of human and canine infections.

摘要

背景

在过去的 15 年中,内脏利什曼病(VL)已成为格鲁吉亚首都第比利斯的一个公共卫生关注点。

方法/主要发现:进行血清流行病学调查,以确定 VL 主要焦点内儿童和狗的感染流行率和发病率,并确定与人类感染相关的危险因素。在 4250 名接受调查的儿童中,基线调查中有 7.3%通过直接凝集试验呈阳性;通过一年随访估计,其显性感染率为 6.0%。在调查过程中,没有一个血清阳性儿童发展为 VL。在一年时,增加的血清阳性预测因子为基线时存在成群的飞虫(OR=1.49;P=0.001),感知到令人满意的卫生条件(OR=1.65;P<0.001),流浪狗(OR=1.33;P=0.023),以及在基线调查前 6 个月持续发热(OR=14.2;P<0.001)。总体而言,18.2%(107/588)的家养狗和 15.3%(110/718)的流浪狗通过 rk39 试纸检测呈血清阳性。在患有 VL 临床症状的家养狗和流浪狗中,血清阳性率分别为 1.3%和 2.9%。从人和狗样本中分离出的寄生虫通过 PCR 和 70 kDa 热休克蛋白(HSP70)基因的系统发育分析鉴定为婴儿利什曼原虫。

结论/意义:第比利斯存在婴儿利什曼原虫传播的活跃焦点,人与犬的感染率都很高。

https://cdn.ncbi.nlm.nih.gov/pmc/blobs/89c6/3236723/32fa9a249b98/pntd.0001415.g001.jpg

相似文献

1
Epidemiologic aspects of an emerging focus of visceral leishmaniasis in Tbilisi, Georgia.
PLoS Negl Trop Dis. 2011 Dec;5(12):e1415. doi: 10.1371/journal.pntd.0001415. Epub 2011 Dec 13.
2
Epidemiology of visceral leishmaniasis in Georgia.
PLoS Negl Trop Dis. 2014 Mar 6;8(3):e2725. doi: 10.1371/journal.pntd.0002725. eCollection 2014 Mar.
3
5
Canine visceral leishmaniasis caused by Leishmania infantum in Senegal: risk of emergence in humans?
Microbes Infect. 2010 Dec;12(14-15):1219-25. doi: 10.1016/j.micinf.2010.09.003. Epub 2010 Sep 22.
6
Seroepidemiology and molecular diversity of Leishmania donovani complex in Georgia.
Parasit Vectors. 2016 May 13;9(1):279. doi: 10.1186/s13071-016-1558-6.
7
8
Molecular and Serological Evidence of Leishmania Infection in Stray Dogs from Visceral Leishmaniasis-Endemic Areas of Bangladesh.
Am J Trop Med Hyg. 2016 Oct 5;95(4):795-799. doi: 10.4269/ajtmh.16-0151. Epub 2016 Jul 5.
9
Emergent canine visceral leishmaniasis in Argentina: Comparative diagnostics and relevance to proliferation of human disease.
PLoS Negl Trop Dis. 2021 Jul 19;15(7):e0009552. doi: 10.1371/journal.pntd.0009552. eCollection 2021 Jul.

引用本文的文献

3
New insights into leishmaniasis in the immunosuppressed.
PLoS Negl Trop Dis. 2018 May 10;12(5):e0006375. doi: 10.1371/journal.pntd.0006375. eCollection 2018 May.
4
Seasonal Dynamics of Phlebotomine Sand Fly Species Proven Vectors of Mediterranean Leishmaniasis Caused by Leishmania infantum.
PLoS Negl Trop Dis. 2016 Feb 22;10(2):e0004458. doi: 10.1371/journal.pntd.0004458. eCollection 2016 Feb.
5
Cutaneous Infection with Leishmania major Mediates Heterologous Protection against Visceral Infection with Leishmania infantum.
J Immunol. 2015 Oct 15;195(8):3816-27. doi: 10.4049/jimmunol.1500752. Epub 2015 Sep 14.
6
Incrimination of Phlebotomus kandelakii and Phlebotomus balcanicus as vectors of Leishmania infantum in Tbilisi, Georgia.
PLoS Negl Trop Dis. 2012;6(4):e1609. doi: 10.1371/journal.pntd.0001609. Epub 2012 Apr 3.

本文引用的文献

1
Heat-shock protein 70 PCR-RFLP: a universal simple tool for Leishmania species discrimination in the New and Old World.
Parasitology. 2010 Jul;137(8):1159-68. doi: 10.1017/S0031182010000089. Epub 2010 May 5.
2
Control of visceral leishmaniasis in latin america-a systematic review.
PLoS Negl Trop Dis. 2010 Jan 19;4(1):e584. doi: 10.1371/journal.pntd.0000584.
3
A cross-sectional study on the clinical and immunological spectrum of human Leishmania (L.) infantum chagasi infection in the Brazilian Amazon region.
Trans R Soc Trop Med Hyg. 2009 Dec;103(12):1250-6. doi: 10.1016/j.trstmh.2009.06.010. Epub 2009 Jul 16.
4
Kinetoplast DNA heterogeneity among Leishmania infantum strains in central Israel and Palestine.
Vet Parasitol. 2009 Apr 6;161(1-2):126-30. doi: 10.1016/j.vetpar.2008.12.003. Epub 2008 Dec 11.
5
Toward diagnosing Leishmania infantum infection in asymptomatic dogs in an area where leishmaniasis is endemic.
Clin Vaccine Immunol. 2009 Mar;16(3):337-43. doi: 10.1128/CVI.00268-08. Epub 2009 Jan 7.
7
Spread of vector-borne diseases and neglect of Leishmaniasis, Europe.
Emerg Infect Dis. 2008 Jul;14(7):1013-8. doi: 10.3201/eid1407.071589.
8
Leishmaniases in Northern Greece: seroprevalence of the infection and incidence of the disease during the period 2001-2006.
Eur J Clin Microbiol Infect Dis. 2008 Oct;27(10):997-1003. doi: 10.1007/s10096-008-0538-y. Epub 2008 May 30.

文献AI研究员

20分钟写一篇综述,助力文献阅读效率提升50倍。

立即体验

用中文搜PubMed

大模型驱动的PubMed中文搜索引擎

马上搜索

文档翻译

学术文献翻译模型,支持多种主流文档格式。

立即体验