• 文献检索
  • 文档翻译
  • 深度研究
  • 学术资讯
  • Suppr Zotero 插件Zotero 插件
  • 邀请有礼
  • 套餐&价格
  • 历史记录
应用&插件
Suppr Zotero 插件Zotero 插件浏览器插件Mac 客户端Windows 客户端微信小程序
定价
高级版会员购买积分包购买API积分包
服务
文献检索文档翻译深度研究API 文档MCP 服务
关于我们
关于 Suppr公司介绍联系我们用户协议隐私条款
关注我们

Suppr 超能文献

核心技术专利:CN118964589B侵权必究
粤ICP备2023148730 号-1Suppr @ 2026

文献检索

告别复杂PubMed语法,用中文像聊天一样搜索,搜遍4000万医学文献。AI智能推荐,让科研检索更轻松。

立即免费搜索

文件翻译

保留排版,准确专业,支持PDF/Word/PPT等文件格式,支持 12+语言互译。

免费翻译文档

深度研究

AI帮你快速写综述,25分钟生成高质量综述,智能提取关键信息,辅助科研写作。

立即免费体验

光化性角膜切削术。

Phototherapeutic keratectomy.

机构信息

Cornea, Anterior Segment and Refractive Surgery Services, L V Prasad Eye Institute, Hyderabad, AP, India.

出版信息

Indian J Ophthalmol. 2012 Jan-Feb;60(1):5-14. doi: 10.4103/0301-4738.91335.

DOI:10.4103/0301-4738.91335
PMID:22218239
原文链接:https://pmc.ncbi.nlm.nih.gov/articles/PMC3263247/
Abstract

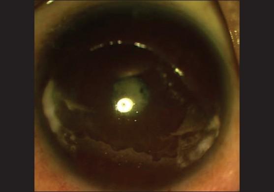
Phototherapeutic keratectomy (PTK) is done regularly for anterior corneal diseases such as corneal dystrophies, corneal degenerations, scars, and band-shaped keratopathy. The various indications include both therapeutic and visual. The aim of this article is to discuss the therapeutic indications for PTK, the specific technique pertaining to a specific etiology, the various other procedures like amniotic membrane graft combined with PTK or PTK being done for recurrences in the grafts, and PTK done before cataract surgery when the anterior corneal pathology coexists with the cataract. Post PTK management such as healing of an epithelial defect, use of steroids in the post PTK period, recurrences of primary disease pathology, and infections, will be discussed. Methods of literature search: A Medline search was carried out for articles in the English language, with the keywords, phototherapeutic keratectomy, band-shaped keratopathy, spheroidal degeneration, scars, bullous keratopathy, and corneal dystrophy. The relevant references are mentioned here.

摘要

光致分解角膜切削术(PTK)常用于治疗前部角膜疾病,如角膜营养不良、角膜变性、瘢痕和带状角膜病变。其适应证包括治疗和改善视力。本文旨在讨论 PTK 的治疗适应证、针对特定病因的具体技术、羊膜移植联合 PTK 或 PTK 治疗移植复发以及白内障术前存在前部角膜病变时的 PTK。还将讨论 PTK 后的管理,如上皮缺损的愈合、PTK 后使用类固醇、原发性疾病病理的复发和感染。文献检索方法:在英文文献中使用“光致分解角膜切削术、带状角膜病变、球形变性、瘢痕、大泡性角膜病变和角膜营养不良”等关键词进行 Medline 检索。此处提到了相关参考文献。

https://cdn.ncbi.nlm.nih.gov/pmc/blobs/4b2c/3263247/5bb05a772be7/IJO-60-5-g008.jpg
https://cdn.ncbi.nlm.nih.gov/pmc/blobs/4b2c/3263247/c57a9a078cab/IJO-60-5-g002.jpg
https://cdn.ncbi.nlm.nih.gov/pmc/blobs/4b2c/3263247/4a5741dd5f52/IJO-60-5-g003.jpg
https://cdn.ncbi.nlm.nih.gov/pmc/blobs/4b2c/3263247/bd0c313371af/IJO-60-5-g004.jpg
https://cdn.ncbi.nlm.nih.gov/pmc/blobs/4b2c/3263247/4abc2c4a5ece/IJO-60-5-g005.jpg
https://cdn.ncbi.nlm.nih.gov/pmc/blobs/4b2c/3263247/09daba5d9305/IJO-60-5-g006.jpg
https://cdn.ncbi.nlm.nih.gov/pmc/blobs/4b2c/3263247/c07e6011706e/IJO-60-5-g007.jpg
https://cdn.ncbi.nlm.nih.gov/pmc/blobs/4b2c/3263247/5bb05a772be7/IJO-60-5-g008.jpg
https://cdn.ncbi.nlm.nih.gov/pmc/blobs/4b2c/3263247/c57a9a078cab/IJO-60-5-g002.jpg
https://cdn.ncbi.nlm.nih.gov/pmc/blobs/4b2c/3263247/4a5741dd5f52/IJO-60-5-g003.jpg
https://cdn.ncbi.nlm.nih.gov/pmc/blobs/4b2c/3263247/bd0c313371af/IJO-60-5-g004.jpg
https://cdn.ncbi.nlm.nih.gov/pmc/blobs/4b2c/3263247/4abc2c4a5ece/IJO-60-5-g005.jpg
https://cdn.ncbi.nlm.nih.gov/pmc/blobs/4b2c/3263247/09daba5d9305/IJO-60-5-g006.jpg
https://cdn.ncbi.nlm.nih.gov/pmc/blobs/4b2c/3263247/c07e6011706e/IJO-60-5-g007.jpg
https://cdn.ncbi.nlm.nih.gov/pmc/blobs/4b2c/3263247/5bb05a772be7/IJO-60-5-g008.jpg

相似文献

1
Phototherapeutic keratectomy.光化性角膜切削术。
Indian J Ophthalmol. 2012 Jan-Feb;60(1):5-14. doi: 10.4103/0301-4738.91335.
2
Excimer laser phototherapeutic keratectomy.准分子激光角膜切削术
Ocul Surf. 2006 Oct;4(4):196-206. doi: 10.1016/s1542-0124(12)70166-0.
3
Phototherapeutic keratectomy: Indications, methods and decision making.光治疗性角膜切削术:适应证、方法及决策制定
Indian J Ophthalmol. 2020 Dec;68(12):2856-2866. doi: 10.4103/ijo.IJO_1524_20.
4
Phototherapeutic keratectomy: 12 years of experience.光化学角膜切削术:12年的经验
Acta Ophthalmol Scand. 2003 Feb;81(1):19-32. doi: 10.1034/j.1600-0420.2003.00015.x.
5
[Phototherapeutic keratectomy (PTK) and bullous keratopathy: case report].[光动力角膜切削术(PTK)与大疱性角膜病变:病例报告]
Arq Bras Oftalmol. 2005 Sep-Oct;68(5):679-82. doi: 10.1590/s0004-27492005000500020. Epub 2005 Nov 28.
6
Transepithelial phototherapeutic keratectomy for the treatment of severe band keratopathy.经上皮光性角膜切削术治疗严重带状角膜病变。
Int Ophthalmol. 2020 Oct;40(10):2469-2474. doi: 10.1007/s10792-020-01574-3. Epub 2020 Sep 11.
7
A comparison of different depth ablations in the treatment of painful bullous keratopathy with phototherapeutic keratectomy.光治疗性角膜切削术治疗疼痛性大疱性角膜病变时不同深度消融的比较
Br J Ophthalmol. 2001 Aug;85(8):912-5. doi: 10.1136/bjo.85.8.912.
8
Clinical outcomes and time to recurrence of phototherapeutic keratectomy in Japan.日本光治疗性角膜切削术的临床结果及复发时间
Medicine (Baltimore). 2019 Jul;98(27):e16216. doi: 10.1097/MD.0000000000016216.
9
Phototherapeutic Keratectomy: Science and Art.光治疗性角膜切削术:科学与艺术。
J Refract Surg. 2017 Mar 1;33(3):203-210. doi: 10.3928/1081597X-20161123-01.
10
Phototherapeutic keratectomy.光治疗性角膜切削术
AORN J. 1997 Aug;66(2):242-4, 246, 248-52. doi: 10.1016/s0001-2092(06)62793-2.

引用本文的文献

1
In Vivo Confocal Microscopy in Avellino Corneal Dystrophy.阿韦利诺角膜营养不良的体内共焦显微镜检查
Cureus. 2024 Aug 20;16(8):e67311. doi: 10.7759/cureus.67311. eCollection 2024 Aug.
2
Silent Sentinel: Incidental Discovery of Gunpowder-Induced Subconjunctival Foreign Bodies Three Years Post-firearm Injury.沉默的哨兵:火器伤三年后意外发现火药所致结膜下异物
Cureus. 2024 Jul 27;16(7):e65514. doi: 10.7759/cureus.65514. eCollection 2024 Jul.
3
The 2023 Doyne Lecture-a cornea care system: evolution.2023 年多因讲座——角膜护理系统:演进。

本文引用的文献

1
Superficial keratectomy, PTK, and mitomycin C as a combined treatment option for Salzmann's nodular degeneration: a follow-up of eight eyes.浅表性角膜切除术、PTK 和丝裂霉素 C 联合治疗 Salzmann 结节状变性:8 只眼的随访。
Graefes Arch Clin Exp Ophthalmol. 2011 Aug;249(8):1211-5. doi: 10.1007/s00417-011-1643-7. Epub 2011 Apr 5.
2
Phototherapeutic keratectomy in pediatric patients in India.印度小儿患者的光疗性角膜切除术。
Cornea. 2010 Oct;29(10):1109-12. doi: 10.1097/ICO.0b013e3181d14288.
3
Simultaneous aspheric wavefront-guided transepithelial photorefractive keratectomy and phototherapeutic keratectomy to correct aberrations and refractive errors after corneal surgery.
Eye (Lond). 2024 Oct;38(15):2888-2897. doi: 10.1038/s41433-024-03206-x. Epub 2024 Jul 8.
4
Late-Onset Chronic Corneal Fistula Following Phototherapeutic Keratectomy: A Case Report and Importance of Early Detection.光动力角膜切开术后迟发性慢性角膜瘘:病例报告及早期发现的重要性。
Am J Case Rep. 2023 Dec 5;24:e942279. doi: 10.12659/AJCR.942279.
5
Changes in Stress-Strain Index and Corneal Biomechanics in Granular Corneal Dystrophy.颗粒状角膜营养不良中应力应变指数和角膜生物力学的变化。
J Clin Med. 2022 Nov 5;11(21):6571. doi: 10.3390/jcm11216571.
6
Phototherapeutic keratectomy: current approaches and changing trends in a tertiary eye clinic.光治疗性角膜切削术:三级眼科诊所的当前方法及变化趋势
Arq Bras Oftalmol. 2023 Jul-Aug;86(4):353-358. doi: 10.5935/0004-2749.20230055.
7
Persistent Corneal Epithelial Defects: A Review Article.持续性角膜上皮缺损:一篇综述文章。
Med Hypothesis Discov Innov Ophthalmol. 2019 Fall;8(3):163-176.
8
Multiple phototherapeutic keratectomy treatments in a Chinese pedigree with corneal dystrophy and an R124L mutation: a 20-year observational study.在中国一个患有角膜营养不良且存在R124L突变的家系中进行多次光治疗性角膜切除术:一项20年的观察性研究。
BMC Ophthalmol. 2019 Aug 22;19(1):191. doi: 10.1186/s12886-019-1167-1.
9
Optical Coherence Tomography-Guided Transepithelial Phototherapeutic Keratectomy for Central Corneal Opacity in the Pediatric Population.光学相干断层扫描引导下经上皮光治疗性角膜切削术治疗儿童中央角膜浑浊
J Ophthalmol. 2018 Dec 24;2018:3923617. doi: 10.1155/2018/3923617. eCollection 2018.
10
Recurrent epibulbar dermoid cyst treated with amniotic membrane implant a case report.羊膜植入治疗复发性眼球表面皮样囊肿 1 例报告
BMC Surg. 2018 Nov 14;18(1):98. doi: 10.1186/s12893-018-0426-z.
同时进行非球面波前引导的经上皮光屈光性角膜切削术和光治疗性角膜切削术以矫正角膜手术后的像差和屈光不正。
J Cataract Refract Surg. 2010 Jul;36(7):1173-80. doi: 10.1016/j.jcrs.2010.01.024.
4
Four cases of Acanthamoeba keratitis treated with phototherapeutic keratectomy.四例光动力角膜切削术治疗棘阿米巴角膜炎。
Cornea. 2010 Oct;29(10):1199-202. doi: 10.1097/ICO.0b013e3181d3d674.
5
Phototherapeutic keratectomy: who are the best candidates and how do you treat them?光化性角膜切削术:哪些患者是最佳人选以及如何治疗?
Curr Opin Ophthalmol. 2010 Jul;21(4):280-2. doi: 10.1097/ICU.0b013e32833a8e0d.
6
Mitomycin C does not inhibit exacerbation of granular corneal dystrophy type II induced by refractive surface ablation.丝裂霉素 C 不能抑制屈光面切削术所致 II 型颗粒状角膜营养不良的恶化。
Cornea. 2010 May;29(5):490-6. doi: 10.1097/ICO.0b013e3181c3258a.
7
Phototherapeutic keratectomy with mitomycin C after Descemet stripping automated endothelial keratoplasty.在Descemet膜剥脱自动内皮角膜移植术后使用丝裂霉素C进行光治疗性角膜切削术。
Br J Ophthalmol. 2010 Mar;94(3):377-8. doi: 10.1136/bjo.2009.165951.
8
Combined phototherapeutic keratectomy and amniotic membrane grafts for symptomatic bullous keratopathy.联合光疗性角膜切削术和羊膜移植治疗症状性大疱性角膜病变。
Cornea. 2009 Oct;28(9):1028-31. doi: 10.1097/ICO.0b013e31819711f6.
9
Nepafenac-associated bilateral corneal melt after photorefractive keratectomy.准分子激光原位角膜磨镶术后出现的与奈帕芬酸相关的双侧角膜溶解
Cornea. 2009 Sep;28(8):948-50. doi: 10.1097/ICO.0b013e318199e9cc.
10
Excimer laser phototherapeutic keratectomy for keratoconus nodules.准分子激光角膜切削术治疗圆锥角膜结节
Cornea. 2009 Feb;28(2):144-7. doi: 10.1097/ICO.0b013e31818526b8.