Suppr超能文献

丝瓜汁对异丙肾上腺素诱导的Wistar大鼠心肌梗死的心脏保护作用:一项生化和组织架构研究

Cardioprotective Effects of Lagenaria siceraria Fruit Juice on Isoproterenol-induced Myocardial Infarction in Wistar Rats: A Biochemical and Histoarchitecture Study.

作者信息

Upaganlawar A, Balaraman R

机构信息

Pharmacy Department, Faculty of Technology and Engineering, The M. S. University of Baroda, Vadodara, Gujarat, India.

出版信息

J Young Pharm. 2011 Oct;3(4):297-303. doi: 10.4103/0975-1483.90241.

Abstract

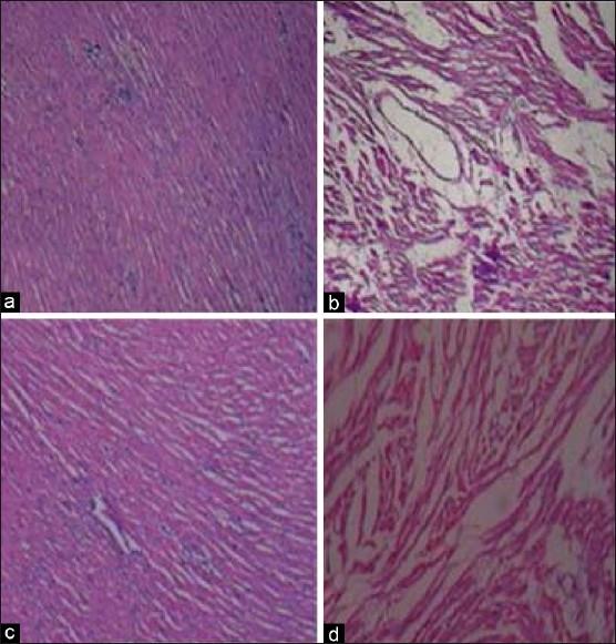
The present study was designed to evaluate the cardioprotective effects of Lagenaria siceraria fruit juice in isoproterenol-induced myocardial infarction. Rats injected with isoproterenol (200 mg/kg, s.c.) showed a significant increase in the levels of serum uric acid, tissue Na(++) and Ca(++) ions and membrane-bound Ca(+2)-ATPase activity. A significant decrease in the levels of serum protein, tissue K(+) ion, vitamin E level, and the activities of Na(+)/K(+)-ATPase and mg(+2)-ATPase was observed. Isoproterenol injected rats also showed a significant increase in the intensity of lactate dehydrogenase isoenzyme and histopathologic alterations in the heart. Treatment with L. siceraria fruit juice (400 mg/kg/day, p.o.) for 30 days and administration of isoproterenol on 29(th) and 30(th) days showed a protective effect on altered biochemical and histopathologic changes. These findings indicate the cardioprotective effect of L. siceraria fruit juice in isoproterenol-induced myocardial infarction in rats.

摘要

本研究旨在评估葫芦果汁对异丙肾上腺素诱导的大鼠心肌梗死的心脏保护作用。注射异丙肾上腺素(200 mg/kg,皮下注射)的大鼠血清尿酸、组织Na(++)和Ca(++)离子水平以及膜结合Ca(+2)-ATP酶活性显著升高。观察到血清蛋白水平、组织K(+)离子、维生素E水平以及Na(+)/K(+)-ATP酶和mg(+2)-ATP酶活性显著降低。注射异丙肾上腺素的大鼠还表现出乳酸脱氢酶同工酶强度显著增加以及心脏组织病理学改变。用葫芦果汁(400 mg/kg/天,口服)治疗30天,并在第29天和第30天给予异丙肾上腺素,对改变的生化和组织病理学变化显示出保护作用。这些发现表明葫芦果汁对异丙肾上腺素诱导的大鼠心肌梗死具有心脏保护作用。

https://cdn.ncbi.nlm.nih.gov/pmc/blobs/995d/3249742/11d0066a5823/JYPharm-3-297-g002.jpg

文献AI研究员

20分钟写一篇综述,助力文献阅读效率提升50倍。

立即体验

用中文搜PubMed

大模型驱动的PubMed中文搜索引擎

马上搜索

文档翻译

学术文献翻译模型,支持多种主流文档格式。

立即体验