Suppr超能文献

冠状病毒感染人、禽和动物细胞可上调 Mcl-1 和 Bak 的表达,从而调节细胞凋亡和病毒复制。

Up-regulation of Mcl-1 and Bak by coronavirus infection of human, avian and animal cells modulates apoptosis and viral replication.

机构信息

School of Biological Sciences, Nanyang Technological University, Singapore, Singapore.

出版信息

PLoS One. 2012;7(1):e30191. doi: 10.1371/journal.pone.0030191. Epub 2012 Jan 11.

Abstract

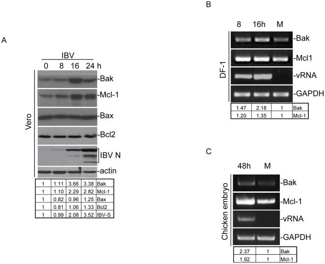
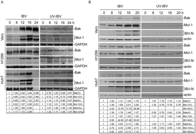
Virus-induced apoptosis and viral mechanisms that regulate this cell death program are key issues in understanding virus-host interactions and viral pathogenesis. Like many other human and animal viruses, coronavirus infection of mammalian cells induces apoptosis. In this study, the global gene expression profiles are first determined in IBV-infected Vero cells at 24 hours post-infection by Affymetrix array, using avian coronavirus infectious bronchitis virus (IBV) as a model system. It reveals an up-regulation at the transcriptional level of both pro-apoptotic Bak and pro-survival myeloid cell leukemia-1 (Mcl-1). These results were further confirmed both in vivo and in vitro, in IBV-infected embryonated chicken eggs, chicken fibroblast cells and mammalian cells at transcriptional and translational levels, respectively. Interestingly, the onset of apoptosis occurred earlier in IBV-infected mammalian cells silenced with short interfering RNA targeting Mcl-1 (siMcl-1), and was delayed in cells silenced with siBak. IBV progeny production and release were increased in infected Mcl-1 knockdown cells compared to similarly infected control cells, while the contrary was observed in infected Bak knockdown cells. Furthermore, IBV infection-induced up-regulation of GADD153 regulated the expression of Mcl-1. Inhibition of the mitogen-activated protein/extracellular signal-regulated kinase (MEK/ERK) and phosphoinositide 3-kinase (PI3K/Akt) signaling pathways by chemical inhibitors and knockdown of GADD153 by siRNA demonstrated the involvement of ER-stress response in regulation of IBV-induced Mcl-1 expression. These results illustrate the sophisticated regulatory strategies evolved by a coronavirus to modulate both virus-induced apoptosis and viral replication during its replication cycle.

摘要

病毒诱导的细胞凋亡和调节该细胞死亡程序的病毒机制是理解病毒-宿主相互作用和病毒发病机制的关键问题。像许多其他人类和动物病毒一样,冠状病毒感染哺乳动物细胞会诱导细胞凋亡。在这项研究中,我们首先使用禽冠状病毒传染性支气管炎病毒(IBV)作为模型系统,通过 Affymetrix 阵列确定了感染 IBV 的 Vero 细胞在感染后 24 小时的全基因表达谱。结果显示,促凋亡 Bak 和抗凋亡髓样细胞白血病-1(Mcl-1)在转录水平上均上调。这些结果在体内和体外,在感染 IBV 的鸡胚、鸡成纤维细胞和哺乳动物细胞中,分别在转录和翻译水平上得到了进一步证实。有趣的是,在针对 Mcl-1 进行短发夹 RNA 沉默(siMcl-1)的感染哺乳动物细胞中,凋亡的发生更早,而在沉默 Bak 的细胞中则延迟。与感染对照细胞相比,在感染 Mcl-1 敲低细胞中,IBV 子代的产生和释放增加,而在感染 Bak 敲低细胞中则相反。此外,IBV 感染诱导的 GADD153 上调调节了 Mcl-1 的表达。通过化学抑制剂抑制丝裂原活化蛋白/细胞外信号调节激酶(MEK/ERK)和磷酸肌醇 3-激酶(PI3K/Akt)信号通路以及通过 siRNA 敲低 GADD153 证明了内质网应激反应参与调节 IBV 诱导的 Mcl-1 表达。这些结果说明了冠状病毒在其复制周期中为了调节病毒诱导的细胞凋亡和病毒复制而进化出的复杂调控策略。

https://cdn.ncbi.nlm.nih.gov/pmc/blobs/141f/3256233/58711961cbc3/pone.0030191.g001.jpg

文献AI研究员

20分钟写一篇综述,助力文献阅读效率提升50倍。

立即体验

用中文搜PubMed

大模型驱动的PubMed中文搜索引擎

马上搜索

文档翻译

学术文献翻译模型,支持多种主流文档格式。

立即体验