Suppr超能文献

大鼠颅内高侵袭性恶性神经鞘瘤

Highly invasive intracranial malignant schwannoma in a rat.

作者信息

Nagatani Mariko, Yamakawa Seiki, Ando Ryo, Edamoto Hiroshi, Saito Tsubasa, Tamura Kazutoshi

出版信息

J Toxicol Pathol. 2009 Jun;22(2):139-42. doi: 10.1293/tox.22.139. Epub 2009 Jul 7.

Abstract

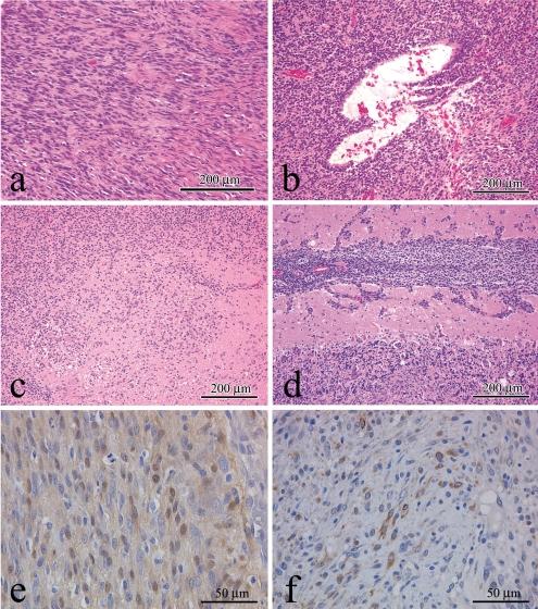
A highly invasive intracranial malignant schwannoma containing several masses was detected in a 28-week-old male Crl:CD(SD) rat. Macroscopically, 3 masses were noted in the cranial cavity; one was present at the bottom of the cranial cavity and involved the trigeminal nerve, and the other two were in the parietal bone. Histologically, each mass consisted of fusiform cells with interlacing fascicular, wavy and nuclear pseudopalisading arrangements and round cells with cystic lesions. The tumor cells invaded not only the brain but also the parietal bone. In the brain, the tumor cells infiltrated diffusely into the leptomeningeal and perivascular spaces and parenchyma, in which the tumor cell morphology and invasive pattern closely resembled those of malignant astrocytoma and malignant reticulosis. Immunohistochemically, the tumor cells in the masses showed positive reactions for both S-100 protein and GFAP, while those in the cerebral invasion sites were negative for GFAP and less positive for S-100 protein. Electron microscopically, a single basal lamina layer and short intricate cell processes were confirmed in the tumor cells. From these results, the present tumor was diagnosed as a malignant schwannoma arising in the cranial cavity, probably originating from the trigeminal nerve. The present tumor is considered to be a relatively unique malignant schwannoma based on its growth and invasion patterns.

摘要

在一只28周龄的雄性Crl:CD(SD)大鼠中检测到一个高度侵袭性的颅内恶性神经鞘瘤,其中包含多个肿块。大体上,在颅腔内发现3个肿块;一个位于颅腔底部并累及三叉神经,另外两个位于顶骨。组织学上,每个肿块由具有交错束状、波浪状和核假栅栏状排列的梭形细胞以及具有囊性病变的圆形细胞组成。肿瘤细胞不仅侵犯脑实质,还侵犯顶骨。在脑内,肿瘤细胞弥漫性浸润软脑膜、血管周围间隙和脑实质,其中肿瘤细胞的形态和侵袭模式与恶性星形细胞瘤和恶性网状细胞增多症极为相似。免疫组织化学检查显示,肿块内的肿瘤细胞对S-100蛋白和GFAP均呈阳性反应,而脑内侵袭部位的肿瘤细胞对GFAP呈阴性反应,对S-100蛋白的阳性反应较弱。电子显微镜检查证实,肿瘤细胞中有单层基膜和短而复杂的细胞突起。根据这些结果,本肿瘤被诊断为起源于颅腔、可能源自三叉神经的恶性神经鞘瘤。基于其生长和侵袭模式,本肿瘤被认为是一种相对独特的恶性神经鞘瘤。

https://cdn.ncbi.nlm.nih.gov/pmc/blobs/21b4/3246059/f2347a0144a0/tox-22-139-g001.jpg

文献检索

告别复杂PubMed语法,用中文像聊天一样搜索,搜遍4000万医学文献。AI智能推荐,让科研检索更轻松。

立即免费搜索

文件翻译

保留排版,准确专业,支持PDF/Word/PPT等文件格式,支持 12+语言互译。

免费翻译文档

深度研究

AI帮你快速写综述,25分钟生成高质量综述,智能提取关键信息,辅助科研写作。

立即免费体验