Suppr超能文献

一只年轻成年Crl:CD(SD)大鼠的自发性恶性T细胞淋巴瘤

Spontaneous Malignant T-cell Lymphoma in a Young Adult Crl:CD (SD) Rat.

作者信息

Matsushima Keita, Yamakawa Seiki, Edamoto Hiroshi, Yamaguchi Yuko, Nagatani Mariko, Tamura Kazutoshi

机构信息

Pathology Division, Bozo Research Center Inc., 1284 Kamado, Gotemba, Shizuoka 412-0039, Japan.

出版信息

J Toxicol Pathol. 2010 Mar;23(1):49-52. doi: 10.1293/tox.23.49. Epub 2010 Apr 5.

Abstract

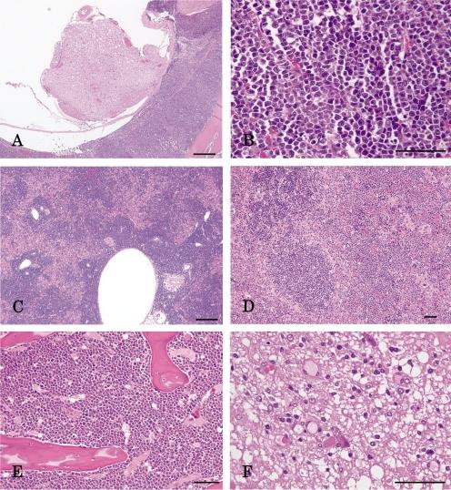
We investigated a case of spontaneous malignant T-cell lymphoma observed in a 19-week-old male Crl:CD (SD) rat. The rat showed paralysis beginning 1 week before euthanasia. Hematological examination revealed marked lymphocytosis without distinct atypia. Macroscopically, hepatosplenomegaly and partial atrophy of the thoracic spinal cord were observed. Microscopically, neoplastic cells infiltrated into the liver, splenic red pulp, bone marrow and epidural space of the thoracic spinal cord, while no neoplastic cells were observed in the thymus and lymph nodes. Moreover, the spinal cord showed focal degeneration due to compression by marked infiltration of neoplastic cells in the subdural space. The neoplastic cells were generally small-sized round cells that had a round nucleus with/without a single nucleolus and scanty cytoplasm. Immunohistochemically, the neoplastic cells were positive for CD3 and CD8 and negative for CD79α. Judging from these results, the present tumor in this young adult rat was diagnosed as malignant T-cell lymphoma.

摘要

我们研究了一例在19周龄雄性Crl:CD(SD)大鼠中观察到的自发性恶性T细胞淋巴瘤病例。该大鼠在安乐死前1周开始出现瘫痪。血液学检查显示淋巴细胞显著增多,但无明显异型性。大体观察,可见肝脾肿大和胸段脊髓部分萎缩。显微镜下,肿瘤细胞浸润至肝脏、脾红髓、骨髓和胸段脊髓硬膜外间隙,而在胸腺和淋巴结中未观察到肿瘤细胞。此外,由于硬膜下间隙肿瘤细胞的显著浸润压迫,脊髓出现局灶性变性。肿瘤细胞一般为小圆形细胞,有一个带或不带单个核仁的圆形细胞核,细胞质稀少。免疫组化显示,肿瘤细胞CD3和CD8呈阳性,CD79α呈阴性。根据这些结果,该年轻成年大鼠的当前肿瘤被诊断为恶性T细胞淋巴瘤。

https://cdn.ncbi.nlm.nih.gov/pmc/blobs/405b/3234655/35d85c0b17d5/tox-23-049-g001.jpg

文献检索

告别复杂PubMed语法,用中文像聊天一样搜索,搜遍4000万医学文献。AI智能推荐,让科研检索更轻松。

立即免费搜索

文件翻译

保留排版,准确专业,支持PDF/Word/PPT等文件格式,支持 12+语言互译。

免费翻译文档

深度研究

AI帮你快速写综述,25分钟生成高质量综述,智能提取关键信息,辅助科研写作。

立即免费体验