Suppr超能文献

WBN/Kob大鼠中伴有严重浸润性生长至骨骼肌的恶性淋巴瘤

Malignant Lymphoma with Severe Infiltrative Growth into Skeletal Muscles in WBN/Kob Rats.

作者信息

Sano Tomoya, Ozaki Kiyokazu, Kodama Yasushi, Matsuura Tetsuro, Narama Isao

出版信息

J Toxicol Pathol. 2009 Sep;22(3):173-8. doi: 10.1293/tox.22.173. Epub 2009 Oct 15.

Abstract

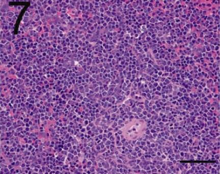
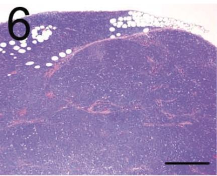
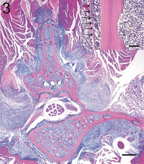
Although spontaneously occurring neoplasms have been reported repeatedly in F344, SD and Wistar rats, which are commonly used strains for routine toxicologic and carcinogenicity studies, there are only a few reports of malignant lymphoma or lymphatic leukemia except for large granular lymphocytic leukemia (LGL) in F344 rats. Malignant lymphoma (lymphosarcoma) is thought to be uncommon in F344 rats. The authors encountered malignant lymphomas of the non-LGL leukemia type with characteristic pathologic features in WBN/Kob rats. The mean age at onset of the disease in all 13 affected rats (8 males and 5 females) was about 60 weeks. Common and characteristic clinical signs were abnormal gait with hind limb paralysis. Macroscopically, the enlargement of the lymph nodes, spleen and liver was slight to moderate. Scattered multiple white-to-gray nodules encompassed the aorta and assumed a bead-like appearance near the thoracic and lumbar vertebrae. Histopathologically, neoplastic proliferative changes were predominant in the bone marrow tissue of the entire body, and many tumor cells infiltrated the spleen and several lymph nodes. The most striking histological features were constant and severe infiltration of tumor cells in the adipose tissue and skeletal muscle adjacent the thoracic and lumber vertebrae. Immunohistochemically, all tumor cells were positive for B-cell markers (PAX-5, CD79a and CD45) and negative for CD3. From the results of immunohistochemistry and morphological examination, these tumors were diagnosed as malignant B-cell lymphomas.

摘要

尽管在常用于常规毒理学和致癌性研究的F344、SD和Wistar大鼠中反复报道过自发发生的肿瘤,但除了F344大鼠中的大颗粒淋巴细胞白血病(LGL)外,关于恶性淋巴瘤或淋巴白血病的报道很少。恶性淋巴瘤(淋巴肉瘤)在F344大鼠中被认为不常见。作者在WBN/Kob大鼠中遇到了具有特征性病理特征的非LGL白血病类型的恶性淋巴瘤。所有13只患病大鼠(8只雄性和5只雌性)的疾病发病平均年龄约为60周。常见且特征性的临床症状是伴有后肢麻痹的异常步态。宏观上,淋巴结、脾脏和肝脏的肿大为轻度至中度。散在的多个白色至灰色结节围绕主动脉,在胸椎和腰椎附近呈串珠状外观。组织病理学上,肿瘤性增殖变化在全身骨髓组织中占主导,许多肿瘤细胞浸润脾脏和多个淋巴结。最显著的组织学特征是肿瘤细胞持续且严重浸润胸椎和腰椎附近的脂肪组织和骨骼肌。免疫组化显示,所有肿瘤细胞B细胞标志物(PAX-5、CD79a和CD45)呈阳性,CD3呈阴性。根据免疫组化和形态学检查结果,这些肿瘤被诊断为恶性B细胞淋巴瘤。

https://cdn.ncbi.nlm.nih.gov/pmc/blobs/da86/3251631/f8d90dc7b31e/tox-22-173-g001.jpg

文献AI研究员

20分钟写一篇综述,助力文献阅读效率提升50倍。

立即体验

用中文搜PubMed

大模型驱动的PubMed中文搜索引擎

马上搜索

文档翻译

学术文献翻译模型,支持多种主流文档格式。

立即体验