Suppr超能文献

大鼠肾发生过程中表达Thy-1的间充质细胞与α-平滑肌肌动蛋白和波形蛋白免疫反应性细胞的相关性

Thy-1 Expressing Mesenchymal Cells in Rat Nephrogenesis in Correlation with Cells Immunoreactive for α-Smooth Muscle Actin and Vimentin.

作者信息

Yuasa Takahiro, Izawa Takeshi, Kuwamura Mitsuru, Yamate Jyoji

机构信息

Laboratory of Veterinary Pathology, Graduate School of Life and Environmental Sciences, Osaka Prefecture University, 1-58 Rinku-Orai-Kita, Izumisano, Osaka 598-8531, Japan.

出版信息

J Toxicol Pathol. 2010 Mar;23(1):1-10. doi: 10.1293/tox.23.1. Epub 2010 Apr 5.

Abstract

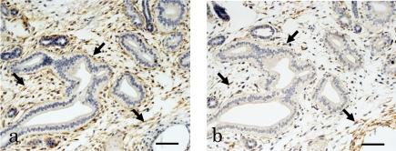
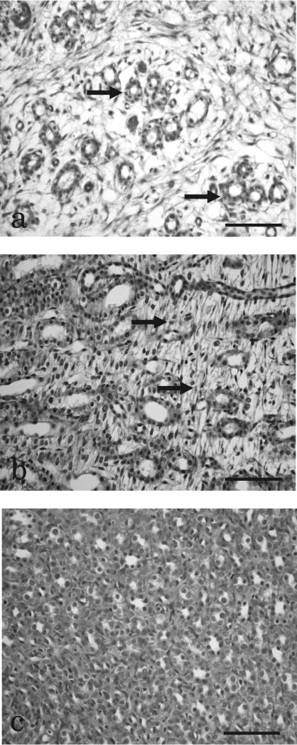
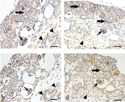
Thy-1 expression may influence myofibroblast development. Through the epithelial-mesenchymal transition (EMT), injured renal epithelial cells undergo regression to the metanephric mesenchymal phenotype and then acquire a myofibroblastic nature (expressing α-smooth muscle actin; α-SMA). Because the metanephric blastema differentiates into mesenchymal and renal epithelial cells, we investigated Thy-1 immunoexpression during nephrogenesis in F344 rats in correlation with vimentin and α-SMA expressions. Kidney samples were obtained from fetuses on gestation days 18 and 21, neonates on days 1-18 and adults at 6 weeks of age. Mesangial cells in S-shaped bodies and immature and mature glomeruli continuously expressed both Thy-1 and α-SMA during early nephrogenesis (fetuses and neonates on days 1-9). During early nephrogenesis, loosely-arranged blastemal cell-derived mesenchymal cells in the cortex and medulla also exhibited Thy-1 and α-SMA, although the α-SMA expression was weaker than that of Thy-1. Vimentin expression coincided with that of Thy-1. These findings indicate that the derivation of α-SMA-expressing myofibroblastic cells may be related to mesangial or blastemal cells expressing both Thy-1 and α-SMA. Interestingly, there was a difference in Thy-1 expression between cortical and medullary tubulointerstitial cells from late nephrogenesis (neonates on days 12-18) and those from adults in that the cortical cells reacted faintly or negatively to Thy-1, whereas the medullary cells reacted strongly to Thy-1; additionally, bundle-arranged mesenchymal cells that were only observed in the neonates on days 1-12 reacted strongly to α-SMA, but faintly to Thy-1. Blastemal cell-derived mesenchymal cells seem to alter the immunoexpressions of Thy-1 and α-SMA, depending on the conditions which they develop. Thy-1 immunoexpression would be useful for investigation of reverse embryogenesis, which might occur in fibrotic kidneys.

摘要

Thy-1表达可能影响肌成纤维细胞的发育。通过上皮-间质转化(EMT),受损的肾上皮细胞逆转为后肾间充质表型,然后获得肌成纤维细胞特性(表达α-平滑肌肌动蛋白;α-SMA)。由于后肾胚基分化为间充质细胞和肾上皮细胞,我们研究了F344大鼠肾发生过程中Thy-1免疫表达与波形蛋白和α-SMA表达的相关性。从妊娠第18天和21天的胎儿、出生后1 - 18天的新生儿以及6周龄的成年大鼠获取肾脏样本。在早期肾发生(胎儿和出生后1 - 9天的新生儿)期间,S形小体、未成熟和成熟肾小球中的系膜细胞持续表达Thy-1和α-SMA。在早期肾发生期间,皮质和髓质中排列松散的胚基细胞来源的间充质细胞也表现出Thy-1和α-SMA表达,尽管α-SMA表达弱于Thy-1。波形蛋白表达与Thy-1表达一致。这些发现表明,表达α-SMA的肌成纤维细胞的来源可能与同时表达Thy-1和α-SMA的系膜细胞或胚基细胞有关。有趣的是,在晚期肾发生(出生后12 - 18天的新生儿)的皮质和髓质肾小管间质细胞与成年大鼠的肾小管间质细胞之间,Thy-1表达存在差异,即皮质细胞对Thy-1反应微弱或呈阴性,而髓质细胞对Thy-1反应强烈;此外,仅在出生后1 - 12天的新生儿中观察到的束状排列的间充质细胞对α-SMA反应强烈,但对Thy-1反应微弱。胚基细胞来源的间充质细胞似乎根据其发育条件改变Thy-1和α-SMA的免疫表达。Thy-1免疫表达将有助于研究可能发生在纤维化肾脏中的逆向胚胎发生。

https://cdn.ncbi.nlm.nih.gov/pmc/blobs/62d8/3234650/a03312fe3b60/tox-23-001-g001.jpg

文献检索

告别复杂PubMed语法,用中文像聊天一样搜索,搜遍4000万医学文献。AI智能推荐,让科研检索更轻松。

立即免费搜索

文件翻译

保留排版,准确专业,支持PDF/Word/PPT等文件格式,支持 12+语言互译。

免费翻译文档

深度研究

AI帮你快速写综述,25分钟生成高质量综述,智能提取关键信息,辅助科研写作。

立即免费体验