Suppr超能文献

食蟹猴(猕猴)肝脏中的局灶性结节性增生。

Focal nodular hyperplasia in the livers of cynomolgus macaques (macaca fascicularis).

作者信息

Fujishima Junko, Satake Shigeru, Furukawa Tomohiro, Kurokawa Chika, Kodama Rinya, Moriyama Akiko, Sasaki Yuji, Kamimura Yasuhiro, Maeda Hiroshi

机构信息

Shin Nippon Biomedical Laboratories, Ltd., 2438 Miyanoura, Kagoshima 891-1394, Japan.

出版信息

J Toxicol Pathol. 2011 Jun;24(2):125-9. doi: 10.1293/tox.24.125. Epub 2011 Jun 30.

Abstract

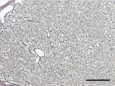
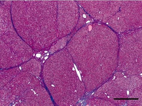
Two cases of spontaneous focal hepatic hyperplasia were observed in young female cynomolgus macaques (Macaca fascicularis). Grossly, a single raised nodule was observed in the left hepatic lobe. Histopathologically, the nodule compressed surrounding normal tissue; however, the hepatic cords within the nodule continued to those in the nor mal area except in part. Extensive fibrosis and absence of a normal hepatic triad were observed in the nodule. Thin fibrous septa radiating from the dense central stellate scarring and distended vessels were apparent in one animal. Hepatocytes in the nodule lacked cellular atypia, showed frequent PAS-positive eosinophilic inclusions in the cytoplasm and showed higher positive ratios for PCNA. The present cases resembled focal nodular hyperplasia reported in humans and a chimpanzee.

摘要

在年轻雌性食蟹猴(猕猴属)中观察到两例自发性局灶性肝增生。大体上,在左肝叶观察到一个单个的隆起结节。组织病理学上,该结节压迫周围正常组织;然而,结节内的肝索部分延续至正常区域的肝索。在结节中观察到广泛纤维化且无正常肝三联结构。在一只动物中,可见从致密的中央星状瘢痕和扩张血管发出的细纤维间隔。结节内的肝细胞无细胞异型性,细胞质中常见PAS阳性嗜酸性包涵体,且PCNA阳性率较高。本病例与人类和一只黑猩猩报道的局灶性结节性增生相似。

https://cdn.ncbi.nlm.nih.gov/pmc/blobs/132d/3234608/55227cadaa58/tox-24-125-g001.jpg

文献AI研究员

20分钟写一篇综述,助力文献阅读效率提升50倍。

立即体验

用中文搜PubMed

大模型驱动的PubMed中文搜索引擎

马上搜索

文档翻译

学术文献翻译模型,支持多种主流文档格式。

立即体验