Suppr超能文献

迈向理解五氧化二钒致癌作用模式的第一步。

First Steps Towards an Understanding of a Mode ofCarcinogenic Action for Vanadium Pentoxide.

作者信息

Schuler Detlef, Chevalier Hans-Jörg, Merker Mandy, Morgenthal Katja, Ravanat Jean-Luc, Sagelsdorff Peter, Walter Marc, Weber Klaus, McGregor Douglas

出版信息

J Toxicol Pathol. 2011 Sep;24(3):149-62. doi: 10.1293/tox.24.149. Epub 2011 Oct 12.

Abstract

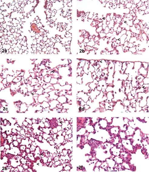
Inhalation of vanadium pentoxide clearly increases the incidence of alveolar/bronchiolar neoplasms in male and female B6C3F1 mice at all concentrations tested (1, 2 or 4 mg/m(3)), whereas responses in F344/N rats was, at most, ambiguous. While vanadium pentoxide is mutagenic in vitro and possibly in vivo in mice, this does not explain the species or site specificity of the neoplastic response. A nose-only inhalation study was conducted in female B6C3F1 mice (0, 0.25, 1 and 4 mg/m(3), 6 h/day for 16 days) to explore histopathological, biochemical (α-tocopherol, glutathione and F2-isoprostane) and genetic (comet assays and 9 specific DNA-oxo-adducts) changes in the lungs. No treatment related histopathology was observed at 0.25 mg/m(3). At 1 and 4 mg/m(3), exposure-dependent increases were observed in lung weight, alveolar histiocytosis, sub-acute alveolitis and/or granulocytic infiltration and a generally time-dependent increased cell proliferation rate of histiocytes. Glutathione was slightly increased, whereas there were no consistent changes in α-tocopherol or 8-isoprostane F2α. There was no evidence for DNA strand breakage in lung or BAL cells, but there was an increase in 8-oxodGuo DNA lesions that could have been due to vanadium pentoxide induction of the lesions or inhibition of repair of spontaneous lesions. Thus, earlier reports of histopathological changes in the lungs after inhalation of vanadium pentoxide were confirmed, but no evidence has yet emerged for a genotoxic mode of action. Evidence is weak for oxidative stress playing any role in lung carcinogenesis at the lowest effective concentrations of vanadium pentoxide.

摘要

在所有测试浓度(1、2或4毫克/立方米)下,吸入五氧化二钒均明显增加了雄性和雌性B6C3F1小鼠肺泡/细支气管肿瘤的发病率,而F344/N大鼠的反应至多不明确。虽然五氧化二钒在体外具有致突变性,在小鼠体内可能也有致突变性,但这并不能解释肿瘤反应的物种或部位特异性。对雌性B6C3F1小鼠进行了一项仅经鼻吸入的研究(0、0.25、1和4毫克/立方米,每天6小时,共16天),以探究肺部的组织病理学、生化(α-生育酚、谷胱甘肽和F2-异前列腺素)和遗传(彗星试验和9种特定的DNA-氧代加合物)变化。在0.25毫克/立方米时未观察到与治疗相关的组织病理学变化。在1和4毫克/立方米时,观察到肺重量、肺泡组织细胞增多症、亚急性肺泡炎和/或粒细胞浸润呈暴露依赖性增加,并且组织细胞的细胞增殖率总体上呈时间依赖性增加。谷胱甘肽略有增加,而α-生育酚或8-异前列腺素F2α没有一致的变化。没有证据表明肺或支气管肺泡灌洗(BAL)细胞中存在DNA链断裂,但8-氧代脱氧鸟苷(8-oxodGuo)DNA损伤有所增加,这可能是由于五氧化二钒诱导了这些损伤或抑制了自发损伤的修复。因此,吸入五氧化二钒后肺部组织病理学变化的早期报告得到了证实,但尚未出现遗传毒性作用模式的证据。在五氧化二钒的最低有效浓度下,氧化应激在肺癌发生中起作用的证据不足。

https://cdn.ncbi.nlm.nih.gov/pmc/blobs/decc/3234591/37f21dece50d/tox-24-149-g001.jpg

相似文献

1
First Steps Towards an Understanding of a Mode ofCarcinogenic Action for Vanadium Pentoxide.
J Toxicol Pathol. 2011 Sep;24(3):149-62. doi: 10.1293/tox.24.149. Epub 2011 Oct 12.
2
Evaluation of cII mutations in lung of male Big Blue mice exposed by inhalation to vanadium pentoxide for up to 8 weeks.
Mutat Res Genet Toxicol Environ Mutagen. 2015 Aug;789-790:46-52. doi: 10.1016/j.mrgentox.2015.06.014. Epub 2015 Jun 29.

引用本文的文献

2
Metabolic alterations and mitochondrial dysfunction in human airway BEAS-2B cells exposed to vanadium pentoxide.
Toxicology. 2024 May;504:153772. doi: 10.1016/j.tox.2024.153772. Epub 2024 Mar 11.
3
Low-dose vanadium pentoxide perturbed lung metabolism associated with inflammation and fibrosis signaling in male animal and in vitro models.
Am J Physiol Lung Cell Mol Physiol. 2023 Aug 1;325(2):L215-L232. doi: 10.1152/ajplung.00303.2022. Epub 2023 Jun 13.
4
Vanadium in Biological Action: Chemical, Pharmacological Aspects, and Metabolic Implications in Diabetes Mellitus.
Biol Trace Elem Res. 2019 Mar;188(1):68-98. doi: 10.1007/s12011-018-1540-6. Epub 2018 Oct 22.
5
Genetic susceptibility to interstitial pulmonary fibrosis in mice induced by vanadium pentoxide (V2O5).
FASEB J. 2014 Mar;28(3):1098-112. doi: 10.1096/fj.13-235044. Epub 2013 Nov 27.

本文引用的文献

3
HO* radicals induce an unexpected high proportion of tandem base lesions refractory to repair by DNA glycosylases.
Proc Natl Acad Sci U S A. 2010 Mar 23;107(12):5528-33. doi: 10.1073/pnas.1000193107. Epub 2010 Mar 8.
5
Micronucleus assay for mouse alveolar Type II and Clara cells.
Environ Mol Mutagen. 2010 Mar;51(2):164-72. doi: 10.1002/em.20520.
6
Analysis of 7,8-dihydro-8-oxo-2'-deoxyguanosine in cellular DNA during oxidative stress.
Chem Res Toxicol. 2009 May;22(5):788-97. doi: 10.1021/tx800343c.
8
Oxidation of the sugar moiety of DNA by ionizing radiation or bleomycin could induce the formation of a cluster DNA lesion.
Proc Natl Acad Sci U S A. 2007 Aug 28;104(35):14032-7. doi: 10.1073/pnas.0706044104. Epub 2007 Aug 22.
9
Evaluation of genotoxicity of oral exposure to tetravalent vanadium in vivo.
Toxicol Lett. 2007 Apr 5;170(1):11-8. doi: 10.1016/j.toxlet.2006.07.343. Epub 2007 Feb 22.

文献AI研究员

20分钟写一篇综述,助力文献阅读效率提升50倍。

立即体验

用中文搜PubMed

大模型驱动的PubMed中文搜索引擎

马上搜索

文档翻译

学术文献翻译模型,支持多种主流文档格式。

立即体验