Suppr超能文献

一只狗的喉部发生的横纹肌肉瘤。

A rhabdomyosarcoma arising in the larynx of a dog.

作者信息

Yamate Jyoji, Murai Fumi, Izawa Takeshi, Akiyoshi Hideo, Shimizu Junichiro, Ohashi Fumihito, Kuwamura Mitsuru

出版信息

J Toxicol Pathol. 2011 Sep;24(3):179-82. doi: 10.1293/tox.24.179. Epub 2011 Oct 12.

Abstract

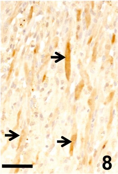
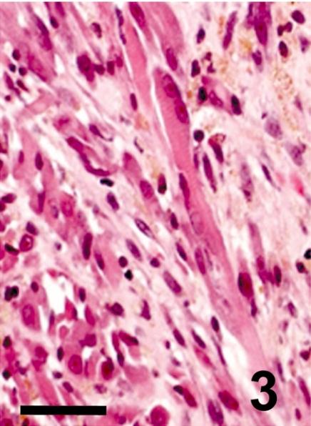
A neoplastic nodular lesion, 2 × 3 cm in diameter, was found in the larynx of a 6-year-old spayed female dog. The tumor was ill-circumscribed, consisting histologically of large round cells with abundant cytoplasm interspersed with small round cells with less cytoplasm and occasional multinucleated cells (myotubes). Immunohistochemically, tumor cells were positive for myoglobin, desmin and vimentin in varying degrees, but negative for S-100 protein, GFAP or cytokeratin. Cytoplasmic myofilaments/myofibrils with a dense Z-line-like structure were seen, the fine structures of which were complemented by PTAH stain. Based on these findings, the tumor was diagnosed as a rhabdomyosarcoma, a very rare tumor in the larynx of dogs.

摘要

在一只6岁已绝育的雌性犬的喉部发现了一个直径为2×3厘米的肿瘤性结节病变。该肿瘤边界不清,组织学上由具有丰富细胞质的大圆形细胞组成,其间散布着细胞质较少的小圆形细胞和偶尔的多核细胞(肌管)。免疫组织化学检查显示,肿瘤细胞肌红蛋白、结蛋白和波形蛋白呈不同程度阳性,但S-100蛋白、胶质纤维酸性蛋白或细胞角蛋白呈阴性。可见具有致密Z线样结构的细胞质肌丝/肌原纤维,其精细结构经磷钨酸苏木精染色得以补充。基于这些发现,该肿瘤被诊断为横纹肌肉瘤,这在犬类喉部是一种非常罕见的肿瘤。

https://cdn.ncbi.nlm.nih.gov/pmc/blobs/675d/3234595/d0c37f505824/tox-24-179-g001.jpg

相似文献

1
A rhabdomyosarcoma arising in the larynx of a dog.
J Toxicol Pathol. 2011 Sep;24(3):179-82. doi: 10.1293/tox.24.179. Epub 2011 Oct 12.
2
Urinary bladder rhabdomyosarcoma (sarcoma botryoides) in a young Newfoundland dog.
J Vet Med Sci. 1998 May;60(5):619-21. doi: 10.1292/jvms.60.619.
3
A primary multiple pleomorphic rhabdomyosarcoma of the heart in an adult dog.
BMC Vet Res. 2023 Aug 30;19(1):137. doi: 10.1186/s12917-023-03701-5.
4
Primary ovarian rhabdomyosarcoma in a dog.
J Comp Pathol. 2012 Nov;147(4):455-9. doi: 10.1016/j.jcpa.2012.03.006. Epub 2012 Aug 9.
5
Vaginal rhabdomyosarcoma in a dog.
Vet Pathol. 2006 Mar;43(2):186-8. doi: 10.1354/vp.43-2-186.
6
Rhabdomyosarcoma in a ferret (Mustela putorius furo).
J Vet Med Sci. 2004 Jan;66(1):95-6. doi: 10.1292/jvms.66.95.
7
Subcutaneous rhabdomyosarcoma in an old rabbit.
J Vet Med Sci. 2016 Oct 1;78(9):1525-1528. doi: 10.1292/jvms.16-0109. Epub 2016 Jun 4.
8
Cytologic, histologic, and immunohistochemical features of maxillofacial alveolar rhabdomyosarcoma in a juvenile dog.
Vet Clin Pathol. 2010 Mar;39(1):113-8. doi: 10.1111/j.1939-165X.2009.00175.x. Epub 2009 Jul 23.
9
What is your diagnosis? Lingual mass in a dog.
Vet Clin Pathol. 2008 Mar;37(1):133-9. doi: 10.1111/j.1939-165X.2008.00018.x.
10
Rhabdomyosarcoma associated with the lead wire of a pacemaker generator implant.
Vet Clin Pathol. 2014 Jun;43(2):276-80. doi: 10.1111/vcp.12136. Epub 2014 Mar 21.

引用本文的文献

1
A primary multiple pleomorphic rhabdomyosarcoma of the heart in an adult dog.
BMC Vet Res. 2023 Aug 30;19(1):137. doi: 10.1186/s12917-023-03701-5.
2
A laryngeal inflammatory polyp in a miniature dachshund.
Vet Med Sci. 2020 Aug;6(3):342-347. doi: 10.1002/vms3.275. Epub 2020 May 15.

本文引用的文献

1
A neuroendocrine carcinoma of undetermined origin in a dog.
J Toxicol Pathol. 2010 Sep;23(3):151-5. doi: 10.1293/tox.23.151. Epub 2010 Oct 5.
2
A mixed apocrine gland tumor with metastases to the bone and bone marrow in a miniature poodle.
J Toxicol Pathol. 2010 Jun;23(2):95-8. doi: 10.1293/tox.23.95. Epub 2010 Jun 30.
3
Rhabdomyosarcoma: a rare laryngeal neoplastic entity.
Acta Otorhinolaryngol Ital. 2010 Feb;30(1):52-7.
4
Canine cardiac rhabdomyoma.
Toxicol Pathol. 2009 Apr;37(3):348-50. doi: 10.1177/0192623309332991.
5
Adult laryngeal rhabdomyosarcoma: report of a case and literature review.
Ann Afr Med. 2007 Dec;6(4):190-3. doi: 10.4103/1596-3519.55698.
6
Laryngeal rhabdomyoma in a dog.
Aust Vet J. 2001 Dec;79(12):817-21. doi: 10.1111/j.1751-0813.2001.tb10924.x.
7
The histology and growth kinetics of canine renal oncocytoma.
J Comp Pathol. 2000 Nov;123(4):294-8. doi: 10.1053/jcpa.2000.0416.
8
Bilateral renal oncocytoma in a Greyhound dog.
Vet Pathol. 2000 Mar;37(2):188-92. doi: 10.1354/vp.37-2-188.
9
Laryngeal rhabdomyoma in a golden retriever.
Vet Rec. 1998 Aug 15;143(7):196-8. doi: 10.1136/vr.143.7.196.
10
Laryngeal pleomorphic rhabdomyosarcoma.
Eur Arch Otorhinolaryngol. 1998;255(6):307-10. doi: 10.1007/s004050050065.

文献AI研究员

20分钟写一篇综述,助力文献阅读效率提升50倍。

立即体验

用中文搜PubMed

大模型驱动的PubMed中文搜索引擎

马上搜索

文档翻译

学术文献翻译模型,支持多种主流文档格式。

立即体验