• 文献检索
  • 文档翻译
  • 深度研究
  • 学术资讯
  • Suppr Zotero 插件Zotero 插件
  • 邀请有礼
  • 套餐&价格
  • 历史记录
应用&插件
Suppr Zotero 插件Zotero 插件浏览器插件Mac 客户端Windows 客户端微信小程序
定价
高级版会员购买积分包购买API积分包
服务
文献检索文档翻译深度研究API 文档MCP 服务
关于我们
关于 Suppr公司介绍联系我们用户协议隐私条款
关注我们

Suppr 超能文献

核心技术专利:CN118964589B侵权必究
粤ICP备2023148730 号-1Suppr @ 2026

文献检索

告别复杂PubMed语法,用中文像聊天一样搜索,搜遍4000万医学文献。AI智能推荐,让科研检索更轻松。

立即免费搜索

文件翻译

保留排版,准确专业,支持PDF/Word/PPT等文件格式,支持 12+语言互译。

免费翻译文档

深度研究

AI帮你快速写综述,25分钟生成高质量综述,智能提取关键信息,辅助科研写作。

立即免费体验

光活化金丝桃素与法尼基转移酶抑制剂马马霉素A联合使用时HT-29腺癌细胞抗增殖和凋亡反应增强。

Enhanced antiproliferative and apoptotic response of HT-29 adenocarcinoma cells to combination of photoactivated hypericin and farnesyltransferase inhibitor manumycin A.

作者信息

Sačková Veronika, Kuliková Lucia, Kello Martin, Uhrinová Ivana, Fedoročko Peter

机构信息

Institute of Biology and Ecology, Faculty of Sciences, P. J. Šafárik University, Moyzesova 11, Košice 041 65, Slovakia.

出版信息

Int J Mol Sci. 2011;12(12):8388-405. doi: 10.3390/ijms12128388. Epub 2011 Nov 29.

DOI:10.3390/ijms12128388
PMID:22272079
原文链接:https://pmc.ncbi.nlm.nih.gov/articles/PMC3257076/
Abstract

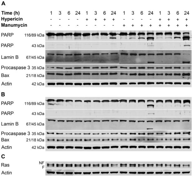
Several photodynamically-active substances and farnesyltransferase inhibitors are currently being investigated as promising anticancer drugs. In this study, the combined effect of hypericin (the photodynamically-active pigment from Hypericum perforatum) and selective farnesyltransferase inhibitor manumycin (manumycin A; the selective farnesyltransferase inhibitor from Streptomyces parvulus) on HT-29 adenocarcinoma cells was examined. We found that the combination treatment of cells with photoactivated hypericin and manumycin resulted in enhanced antiproliferative and apoptotic response compared to the effect of single treatments. This was associated with increased suppression of clonogenic growth, S phase cell cycle arrest, elevated caspase-3/7 activity and time-dependent total cleavage of procaspase-3 and lamin B, cleavage of p21Bax into p18Bax and massive PARP cleavage. Moreover, we found that the apoptosis-inducing factor is implicated in signaling events triggered by photoactivated hypericin. Our results showed the relocalization of apoptosis-inducing factor (AIF) to the nuclei after hypericin treatment. In addition, we discovered that not only manumycin but also photoactivated hypericin induced the reduction of total Ras protein level. Manumycin decreased the amount of farnesylated Ras, and the combination treatment decreased the amount of both farnesylated and non-farnesylated Ras protein more dramatically. The present findings indicate that the inhibition of Ras processing may be the determining factor for enhancing the antiproliferative and apoptotic effects of combination treatment on HT-29 cells.

摘要

目前,几种光动力活性物质和法尼基转移酶抑制剂正作为有前景的抗癌药物进行研究。在本研究中,我们检测了金丝桃素(贯叶连翘中的光动力活性色素)和选择性法尼基转移酶抑制剂马尼霉素(马尼霉素A;来自短小链霉菌的选择性法尼基转移酶抑制剂)对HT-29腺癌细胞的联合作用。我们发现,与单一处理的效果相比,用光活化的金丝桃素和马尼霉素联合处理细胞会导致抗增殖和凋亡反应增强。这与克隆形成生长抑制增加、S期细胞周期停滞、caspase-3/7活性升高以及procaspase-3和核纤层蛋白B的时间依赖性完全裂解、p21Bax裂解为p18Bax和大量PARP裂解有关。此外,我们发现凋亡诱导因子参与了光活化金丝桃素触发的信号事件。我们的结果显示,金丝桃素处理后凋亡诱导因子(AIF)重新定位到细胞核。此外,我们发现不仅马尼霉素,而且光活化的金丝桃素也能诱导总Ras蛋白水平降低。马尼霉素降低了法尼基化Ras的量,联合处理更显著地降低了法尼基化和非法尼基化Ras蛋白的量。目前的研究结果表明,抑制Ras加工可能是增强联合处理对HT-29细胞抗增殖和凋亡作用的决定性因素。

https://cdn.ncbi.nlm.nih.gov/pmc/blobs/844c/3257076/e27c80d7afe2/ijms-12-08388f7.jpg
https://cdn.ncbi.nlm.nih.gov/pmc/blobs/844c/3257076/8d3995a12795/ijms-12-08388f1.jpg
https://cdn.ncbi.nlm.nih.gov/pmc/blobs/844c/3257076/8520668d48f5/ijms-12-08388f2.jpg
https://cdn.ncbi.nlm.nih.gov/pmc/blobs/844c/3257076/c74d0e9fb4b9/ijms-12-08388f3.jpg
https://cdn.ncbi.nlm.nih.gov/pmc/blobs/844c/3257076/0753d2e33fae/ijms-12-08388f4.jpg
https://cdn.ncbi.nlm.nih.gov/pmc/blobs/844c/3257076/a33da6ccc2e7/ijms-12-08388f5.jpg
https://cdn.ncbi.nlm.nih.gov/pmc/blobs/844c/3257076/5b54f70154a3/ijms-12-08388f6.jpg
https://cdn.ncbi.nlm.nih.gov/pmc/blobs/844c/3257076/e27c80d7afe2/ijms-12-08388f7.jpg
https://cdn.ncbi.nlm.nih.gov/pmc/blobs/844c/3257076/8d3995a12795/ijms-12-08388f1.jpg
https://cdn.ncbi.nlm.nih.gov/pmc/blobs/844c/3257076/8520668d48f5/ijms-12-08388f2.jpg
https://cdn.ncbi.nlm.nih.gov/pmc/blobs/844c/3257076/c74d0e9fb4b9/ijms-12-08388f3.jpg
https://cdn.ncbi.nlm.nih.gov/pmc/blobs/844c/3257076/0753d2e33fae/ijms-12-08388f4.jpg
https://cdn.ncbi.nlm.nih.gov/pmc/blobs/844c/3257076/a33da6ccc2e7/ijms-12-08388f5.jpg
https://cdn.ncbi.nlm.nih.gov/pmc/blobs/844c/3257076/5b54f70154a3/ijms-12-08388f6.jpg
https://cdn.ncbi.nlm.nih.gov/pmc/blobs/844c/3257076/e27c80d7afe2/ijms-12-08388f7.jpg

相似文献

1
Enhanced antiproliferative and apoptotic response of HT-29 adenocarcinoma cells to combination of photoactivated hypericin and farnesyltransferase inhibitor manumycin A.光活化金丝桃素与法尼基转移酶抑制剂马马霉素A联合使用时HT-29腺癌细胞抗增殖和凋亡反应增强。
Int J Mol Sci. 2011;12(12):8388-405. doi: 10.3390/ijms12128388. Epub 2011 Nov 29.
2
Combination of photoactive hypericin and Manumycin A exerts multiple anticancer effects on oxaliplatin-resistant colorectal cells.光活性金丝桃素与 Manumycin A 的联合应用对奥沙利铂耐药结直肠癌细胞发挥多种抗癌作用。
Toxicol In Vitro. 2020 Aug;66:104860. doi: 10.1016/j.tiv.2020.104860. Epub 2020 Apr 13.
3
[Effects of manumycin combined with methoxyamine on apoptosis in myeloid leukemia U937 cells].[马尼霉素联合甲氧基胺对髓系白血病U937细胞凋亡的影响]
Ai Zheng. 2008 Aug;27(8):835-9.
4
Manumycin induces apoptosis in human hepatocellular carcinoma HepG2 cells.马尼霉素可诱导人肝癌HepG2细胞凋亡。
Int J Mol Med. 2003 Dec;12(6):955-9.
5
Enhancement of manumycin A-induced apoptosis by methoxyamine in myeloid leukemia cells.甲氧基胺增强马尼霉素A诱导的髓系白血病细胞凋亡
Leukemia. 2005 Apr;19(4):595-602. doi: 10.1038/sj.leu.2403691.
6
Proteomic identification of heat shock protein 70 as a candidate target for enhancing apoptosis induced by farnesyl transferase inhibitor.蛋白质组学鉴定热休克蛋白70作为增强法尼基转移酶抑制剂诱导凋亡的候选靶点。
Proteomics. 2003 Oct;3(10):1904-11. doi: 10.1002/pmic.200300547.
7
Blockade of the Ras pathway by manumycin, a farnesyltransferase inhibitor, overcomes the resistance of myeloma plasma cells to Fas-induced apoptosis.法尼基转移酶抑制剂曼诺霉素对Ras通路的阻断克服了骨髓瘤浆细胞对Fas诱导的细胞凋亡的抗性。
Clin Exp Med. 2005 Mar;4(4):174-82. doi: 10.1007/s10238-004-0053-0.
8
Manumycin inhibits STAT3, telomerase activity, and growth of glioma cells by elevating intracellular reactive oxygen species generation.马努菌素通过提高细胞内活性氧的产生来抑制 STAT3、端粒酶活性和神经胶质瘤细胞的生长。
Free Radic Biol Med. 2009 Aug 15;47(4):364-74. doi: 10.1016/j.freeradbiomed.2009.04.031. Epub 2009 May 3.
9
Akt-dependent antiapoptotic action of insulin is sensitive to farnesyltransferase inhibitor.胰岛素依赖的Akt抗凋亡作用对法尼基转移酶抑制剂敏感。
Biochemistry. 2000 Oct 17;39(41):12513-21. doi: 10.1021/bi000995y.
10
[Correlation between inhibitory effect of Manumycin on human hepatoma cancer cell HepG2 and Ras signal transduction pathway].[夫西地酸对人肝癌细胞HepG2的抑制作用与Ras信号转导通路的相关性]
Ai Zheng. 2002 Apr;21(4):364-8.

引用本文的文献

1
Unravelling Phytochemical and Bioactive Potential of Three Hypericum Species from Romanian Spontaneous Flora: H. alpigenum, H. perforatum and H. rochelii.解析罗马尼亚野生植物区系中三种金丝桃属植物的植物化学成分和生物活性潜力:高山金丝桃、贯叶连翘和罗氏金丝桃。
Plants (Basel). 2022 Oct 19;11(20):2773. doi: 10.3390/plants11202773.
2
Inhibition of Cytosolic Phospholipase A2α Induces Apoptosis in Multiple Myeloma Cells.细胞质型磷脂酶 A2α 的抑制诱导多发性骨髓瘤细胞凋亡。
Molecules. 2021 Dec 9;26(24):7447. doi: 10.3390/molecules26247447.
3
Does St. John's Wort cause regression in gastrointestinal system adenocarcinomas?

本文引用的文献

1
Bax and calpain mediate excitotoxic oligodendrocyte death induced by activation of both AMPA and kainate receptors.Bax 和 calpain 介导了 AMPA 和 kainate 受体激活诱导的兴奋毒性少突胶质细胞死亡。
J Neurosci. 2011 Feb 23;31(8):2996-3006. doi: 10.1523/JNEUROSCI.5578-10.2011.
2
PARP-1 cleavage fragments: signatures of cell-death proteases in neurodegeneration.聚腺苷二磷酸核糖聚合酶-1 裂解片段:神经退行性变中细胞死亡蛋白酶的特征。
Cell Commun Signal. 2010 Dec 22;8:31. doi: 10.1186/1478-811X-8-31.
3
PUFAs enhance oxidative stress and apoptosis in tumour cells exposed to hypericin-mediated PDT.
圣约翰草会导致胃肠道腺癌病情恶化吗?
World J Gastrointest Oncol. 2015 Nov 15;7(11):369-74. doi: 10.4251/wjgo.v7.i11.369.
4
St John's Wort (Hypericum perforatum L.) photomedicine: hypericin-photodynamic therapy induces metastatic melanoma cell death.圣约翰草(贯叶连翘)光医学:金丝桃素光动力疗法诱导转移性黑色素瘤细胞死亡。
PLoS One. 2014 Jul 30;9(7):e103762. doi: 10.1371/journal.pone.0103762. eCollection 2014.
多不饱和脂肪酸增强了血卟啉单甲醚介导的光动力疗法下肿瘤细胞的氧化应激和细胞凋亡。
Photochem Photobiol Sci. 2010 Sep 24;9(9):1244-51. doi: 10.1039/c0pp00085j. Epub 2010 Aug 12.
4
Caspase-independent apoptosis, in human MCF-7c3 breast cancer cells, following photodynamic therapy, with a novel water-soluble phthalocyanine.光动力学疗法作用于人 MCF-7c3 乳腺癌细胞后的非 caspase 依赖性细胞凋亡,涉及一种新型水溶性酞菁。
Int J Biochem Cell Biol. 2010 Jul;42(7):1123-31. doi: 10.1016/j.biocel.2010.03.019. Epub 2010 Apr 9.
5
Evaluation of hypericin-mediated photodynamic therapy in combination with angiogenesis inhibitor bevacizumab using in vivo fluorescence confocal endomicroscopy.采用体内荧光共聚焦内镜评价金丝桃素介导的光动力疗法联合抗血管生成抑制剂贝伐单抗的效果。
J Biomed Opt. 2010 Jan-Feb;15(1):011114. doi: 10.1117/1.3281671.
6
Dependence on phosphoinositide 3-kinase and RAS-RAF pathways drive the activity of RAF265, a novel RAF/VEGFR2 inhibitor, and RAD001 (Everolimus) in combination.依赖于磷酸肌醇 3-激酶和 RAS-RAF 途径可促进 RAF265(一种新型 RAF/VEGFR2 抑制剂)与 RAD001(依维莫司)联合用药的活性。
Mol Cancer Ther. 2010 Feb;9(2):358-68. doi: 10.1158/1535-7163.MCT-09-1014. Epub 2010 Feb 2.
7
Drug efflux transporters, MRP1 and BCRP, affect the outcome of hypericin-mediated photodynamic therapy in HT-29 adenocarcinoma cells.药物外排转运体 MRP1 和 BCRP 影响 HT-29 结肠腺癌细胞中金丝桃素介导的光动力治疗的效果。
Photochem Photobiol Sci. 2009 Dec;8(12):1716-23. doi: 10.1039/b9pp00086k. Epub 2009 Oct 23.
8
Down-regulation of Bcl-2 and Akt induced by combination of photoactivated hypericin and genistein in human breast cancer cells.光激活金丝桃素与染料木黄酮联合诱导人乳腺癌细胞中 Bcl-2 和 Akt 的下调。
J Photochem Photobiol B. 2010 Jan 21;98(1):25-34. doi: 10.1016/j.jphotobiol.2009.10.004. Epub 2009 Oct 28.
9
Differential PARP cleavage: an indication for existence of multiple forms of cell death in human gliomas.PARP的差异性切割:人类胶质瘤中多种细胞死亡形式存在的一个指标
Neurol India. 2009 May-Jun;57(3):264-8. doi: 10.4103/0028-3886.53265.
10
Photosensitizing and radiosensitizing effects of hypericin on human renal carcinoma cells in vitro.金丝桃素对人肾癌细胞的体外光致敏和放射致敏作用
Photochem Photobiol. 2008 Jan-Feb;84(1):228-35. doi: 10.1111/j.1751-1097.2007.00225.x.