• 文献检索
  • 文档翻译
  • 深度研究
  • 学术资讯
  • Suppr Zotero 插件Zotero 插件
  • 邀请有礼
  • 套餐&价格
  • 历史记录
应用&插件
Suppr Zotero 插件Zotero 插件浏览器插件Mac 客户端Windows 客户端微信小程序
定价
高级版会员购买积分包购买API积分包
服务
文献检索文档翻译深度研究API 文档MCP 服务
关于我们
关于 Suppr公司介绍联系我们用户协议隐私条款
关注我们

Suppr 超能文献

核心技术专利:CN118964589B侵权必究
粤ICP备2023148730 号-1Suppr @ 2026

文献检索

告别复杂PubMed语法,用中文像聊天一样搜索,搜遍4000万医学文献。AI智能推荐,让科研检索更轻松。

立即免费搜索

文件翻译

保留排版,准确专业,支持PDF/Word/PPT等文件格式,支持 12+语言互译。

免费翻译文档

深度研究

AI帮你快速写综述,25分钟生成高质量综述,智能提取关键信息,辅助科研写作。

立即免费体验

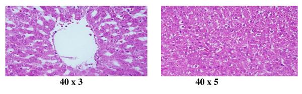
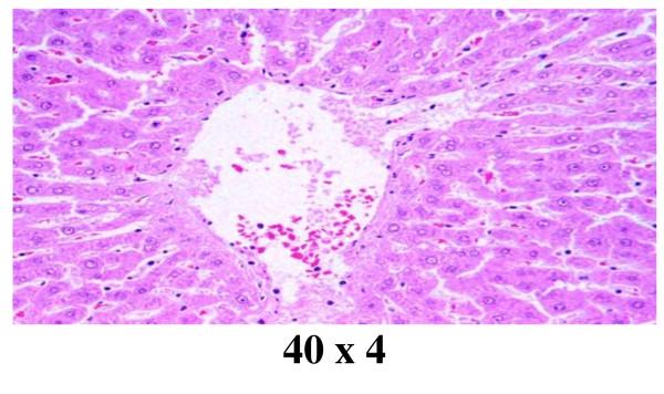
不同粒径、剂量和暴露时间的金纳米颗粒诱导大鼠肝脏组织学改变。

Histological alterations in the liver of rats induced by different gold nanoparticle sizes, doses and exposure duration.

机构信息

Department of Physics and Astronomy, College of Science, King Saud University, Saudi Arabia.

出版信息

J Nanobiotechnology. 2012 Jan 25;10:5. doi: 10.1186/1477-3155-10-5.

DOI:10.1186/1477-3155-10-5
PMID:22276919
原文链接:https://pmc.ncbi.nlm.nih.gov/articles/PMC3281779/
Abstract

BACKGROUND

Nanoparticles (NPs) can potentially cause adverse effects on organ, tissue, cellular, subcellular and protein levels due to their unusual physicochemical properties. Advances in nanotechnology have identified promising candidates for many biological and biomedical applications. Since the properties of NPs differ from that of their bulk materials, they are being increasingly exploited for medical uses and other industrial applications. The aim of the present study was to investigate the particle-size effect of gold nanoparticles (GNPs) on the hepatic tissue in an attempt to cover and understand the toxicity and the potential threat of their therapeutic and diagnostic use.

METHODS

To investigate particle-size effect of GNPs on the hepatic tissue, a total of 70 healthy male Wistar-Kyoto rats were exposed to GNPs received 50 or 100 ul of GNPs infusion of size (10, 20 and 50 nm for 3 or 7 days).

RESULTS

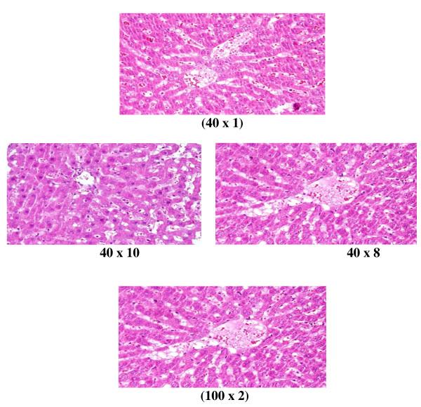
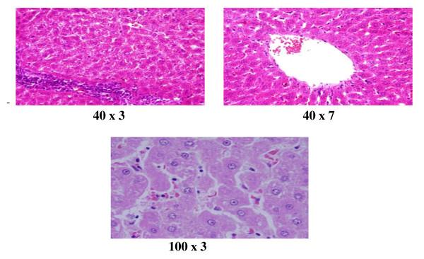
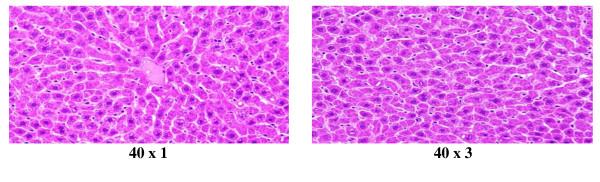
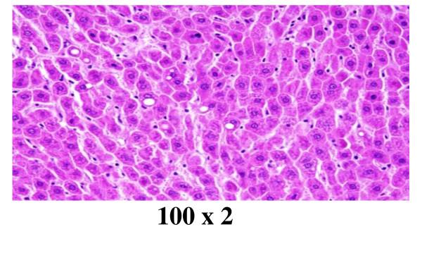
In comparison with respective control rats, exposure to GNPs doses has produced alterations in the hepatocytes, portal triads and the sinusoids. The alterations in the hepatocytes were mainly summarized as hydropic degeneration, cloudy swelling, fatty degeneration, portal and lobular infiltrate by chronic inflammatory cells and congestive dilated central veins.

CONCLUSIONS

The induced histological alterations might be an indication of injured hepatocytes due to GNPs toxicity that became unable to deal with the accumulated residues resulting from metabolic and structural disturbances caused by these NPs. These alterations were size-dependent with smaller ones induced the most effects and related with time exposure of GNPs. The appearance of hepatocytes cytoplasmic degeneration and nuclear destruction may suggest that GNPs interact with proteins and enzymes of the hepatic tissue interfering with the antioxidant defense mechanism and leading to reactive oxygen species (ROS) generation which in turn may induce stress in the hepatocytes to undergo atrophy and necrosis. More histomorphologcal, histochemical and ultrastrucural investigations are needed in relation of the application of GNPs with their potential threat as a therapeutic and diagnostic tool.

摘要

背景

由于其异常的物理化学性质,纳米粒子(NPs)可能会对器官、组织、细胞、亚细胞和蛋白质水平造成不良影响。纳米技术的进步已经确定了许多生物和生物医学应用的有前途的候选者。由于 NPs 的性质与它们的块状材料不同,因此它们越来越多地被用于医疗用途和其他工业应用。本研究的目的是研究金纳米粒子(GNPs)的粒径效应对肝组织的影响,试图涵盖并了解其治疗和诊断用途的毒性和潜在威胁。

方法

为了研究 GNPs 的粒径效应对肝组织的影响,总共将 70 只健康雄性 Wistar-Kyoto 大鼠暴露于 GNPs 中,分别接受 50 或 100ul 的 GNPs 输注,大小为(10、20 和 50nm)持续 3 或 7 天。

结果

与各自的对照大鼠相比,暴露于 GNPs 剂量会导致肝细胞、门三联体和窦状隙发生改变。肝细胞的改变主要总结为水样变性、混浊肿胀、脂肪变性、门管区和小叶浸润慢性炎症细胞和充血扩张的中央静脉。

结论

这些诱导的组织学改变可能是由于 GNPs 毒性导致肝细胞受损的迹象,这些细胞无法处理由于这些 NPs 引起的代谢和结构紊乱而产生的积累残留物。这些改变与粒径有关,较小的粒径会产生最大的影响,并与 GNPs 的暴露时间有关。肝细胞细胞质变性和核破坏的出现可能表明 GNPs 与肝组织的蛋白质和酶相互作用,干扰抗氧化防御机制,并导致活性氧(ROS)的产生,从而可能导致肝细胞应激,发生萎缩和坏死。需要进行更多的组织形态学、组织化学和超微结构研究,以了解 GNPs 的应用及其作为治疗和诊断工具的潜在威胁。

https://cdn.ncbi.nlm.nih.gov/pmc/blobs/0e1d/3281779/5eea714d0dd8/1477-3155-10-5-12.jpg
https://cdn.ncbi.nlm.nih.gov/pmc/blobs/0e1d/3281779/6a7a9cddc24d/1477-3155-10-5-1.jpg
https://cdn.ncbi.nlm.nih.gov/pmc/blobs/0e1d/3281779/49e4486eea68/1477-3155-10-5-2.jpg
https://cdn.ncbi.nlm.nih.gov/pmc/blobs/0e1d/3281779/e0410a2fbf94/1477-3155-10-5-3.jpg
https://cdn.ncbi.nlm.nih.gov/pmc/blobs/0e1d/3281779/aff871e279b0/1477-3155-10-5-4.jpg
https://cdn.ncbi.nlm.nih.gov/pmc/blobs/0e1d/3281779/603e27e70700/1477-3155-10-5-5.jpg
https://cdn.ncbi.nlm.nih.gov/pmc/blobs/0e1d/3281779/0f78ff2315a6/1477-3155-10-5-6.jpg
https://cdn.ncbi.nlm.nih.gov/pmc/blobs/0e1d/3281779/766ff1b42248/1477-3155-10-5-7.jpg
https://cdn.ncbi.nlm.nih.gov/pmc/blobs/0e1d/3281779/f449f3f22b98/1477-3155-10-5-8.jpg
https://cdn.ncbi.nlm.nih.gov/pmc/blobs/0e1d/3281779/3329a7f4d8c8/1477-3155-10-5-9.jpg
https://cdn.ncbi.nlm.nih.gov/pmc/blobs/0e1d/3281779/9e72142fa734/1477-3155-10-5-10.jpg
https://cdn.ncbi.nlm.nih.gov/pmc/blobs/0e1d/3281779/9a33b7455389/1477-3155-10-5-11.jpg
https://cdn.ncbi.nlm.nih.gov/pmc/blobs/0e1d/3281779/5eea714d0dd8/1477-3155-10-5-12.jpg
https://cdn.ncbi.nlm.nih.gov/pmc/blobs/0e1d/3281779/6a7a9cddc24d/1477-3155-10-5-1.jpg
https://cdn.ncbi.nlm.nih.gov/pmc/blobs/0e1d/3281779/49e4486eea68/1477-3155-10-5-2.jpg
https://cdn.ncbi.nlm.nih.gov/pmc/blobs/0e1d/3281779/e0410a2fbf94/1477-3155-10-5-3.jpg
https://cdn.ncbi.nlm.nih.gov/pmc/blobs/0e1d/3281779/aff871e279b0/1477-3155-10-5-4.jpg
https://cdn.ncbi.nlm.nih.gov/pmc/blobs/0e1d/3281779/603e27e70700/1477-3155-10-5-5.jpg
https://cdn.ncbi.nlm.nih.gov/pmc/blobs/0e1d/3281779/0f78ff2315a6/1477-3155-10-5-6.jpg
https://cdn.ncbi.nlm.nih.gov/pmc/blobs/0e1d/3281779/766ff1b42248/1477-3155-10-5-7.jpg
https://cdn.ncbi.nlm.nih.gov/pmc/blobs/0e1d/3281779/f449f3f22b98/1477-3155-10-5-8.jpg
https://cdn.ncbi.nlm.nih.gov/pmc/blobs/0e1d/3281779/3329a7f4d8c8/1477-3155-10-5-9.jpg
https://cdn.ncbi.nlm.nih.gov/pmc/blobs/0e1d/3281779/9e72142fa734/1477-3155-10-5-10.jpg
https://cdn.ncbi.nlm.nih.gov/pmc/blobs/0e1d/3281779/9a33b7455389/1477-3155-10-5-11.jpg
https://cdn.ncbi.nlm.nih.gov/pmc/blobs/0e1d/3281779/5eea714d0dd8/1477-3155-10-5-12.jpg

相似文献

1
Histological alterations in the liver of rats induced by different gold nanoparticle sizes, doses and exposure duration.不同粒径、剂量和暴露时间的金纳米颗粒诱导大鼠肝脏组织学改变。
J Nanobiotechnology. 2012 Jan 25;10:5. doi: 10.1186/1477-3155-10-5.
2
Gold nanoparticles induced cloudy swelling to hydropic degeneration, cytoplasmic hyaline vacuolation, polymorphism, binucleation, karyopyknosis, karyolysis, karyorrhexis and necrosis in the liver.金纳米颗粒诱导肝脏发生云雾状肿胀至水样变性、细胞质嗜酸性空泡形成、多形性、双核、核固缩、核溶解、核碎裂和坏死。
Lipids Health Dis. 2011 Sep 22;10:166. doi: 10.1186/1476-511X-10-166.
3
Gold nanoparticles administration induced prominent inflammatory, central vein intima disruption, fatty change and Kupffer cells hyperplasia.金纳米颗粒给药导致明显的炎症、中央静脉内膜破裂、脂肪变性和枯否细胞增生。
Lipids Health Dis. 2011 Aug 5;10:133. doi: 10.1186/1476-511X-10-133.
4
The appearance of renal cells cytoplasmic degeneration and nuclear destruction might be an indication of GNPs toxicity.肾脏细胞细胞质变性和细胞核破坏的出现可能表明 GNPs 具有毒性。
Lipids Health Dis. 2011 Aug 22;10:147. doi: 10.1186/1476-511X-10-147.
5
Renal tissue alterations were size-dependent with smaller ones induced more effects and related with time exposure of gold nanoparticles.肾组织改变与纳米金的粒径大小有关,粒径越小,作用效果越明显,且与纳米金的作用时间有关。
Lipids Health Dis. 2011 Sep 21;10:163. doi: 10.1186/1476-511X-10-163.
6
Gold nanoparticles administration induces disarray of heart muscle, hemorrhagic, chronic inflammatory cells infiltrated by small lymphocytes, cytoplasmic vacuolization and congested and dilated blood vessels.金纳米颗粒的给药会导致心肌排列紊乱、出血、慢性炎性细胞浸润伴小淋巴细胞、细胞质空泡化以及充血和扩张的血管。
Lipids Health Dis. 2011 Dec 9;10:233. doi: 10.1186/1476-511X-10-233.
7
Exposure to gold nanoparticles produces cardiac tissue damage that depends on the size and duration of exposure.暴露于金纳米颗粒会导致心肌组织损伤,其损伤程度取决于暴露的大小和时间长短。
Lipids Health Dis. 2011 Nov 10;10:205. doi: 10.1186/1476-511X-10-205.
8
Histologic and apoptotic changes induced by titanium dioxide nanoparticles in the livers of rats.二氧化钛纳米颗粒诱导大鼠肝脏的组织学和细胞凋亡变化。
Int J Nanomedicine. 2013;8:3937-43. doi: 10.2147/IJN.S47174. Epub 2013 Oct 11.
9
The effects of size and period of administration of gold nanoparticles on rheological parameters of blood plasma of rats over a wide range of shear rates: in vivo.金纳米粒子的大小和给药期对大鼠血浆流变学参数在较宽剪切率范围内的影响:体内。
Lipids Health Dis. 2011 Oct 27;10:191. doi: 10.1186/1476-511X-10-191.
10
The effects of intraperitoneal administration of gold nanoparticles size and exposure duration on oxidative and antioxidants levels in various rat organs.腹腔注射不同尺寸的金纳米颗粒及其暴露持续时间对大鼠各器官氧化及抗氧化水平的影响。
Pak J Pharm Sci. 2015 Mar;28(2 Suppl):705-12.

引用本文的文献

1
Cardioprotective Efficacy of Quercetin against Cardiotoxicity Induced by Different Diameters of Sphere Gold Nanoparticles (GNPs).槲皮素对不同直径球形金纳米颗粒(GNPs)诱导的心脏毒性的心脏保护作用
Curr Pharm Biotechnol. 2025;26(7):1088-1097. doi: 10.2174/0113892010359481241122073753.
2
Molecular imaging nanoprobes and their applications in atherosclerosis diagnosis.分子影像纳米探针及其在动脉粥样硬化诊断中的应用。
Theranostics. 2024 Aug 12;14(12):4747-4772. doi: 10.7150/thno.96037. eCollection 2024.
3
Assessing the toxicity of one-step-synthesized PEG-coated gold nanoparticles: in vitro and in vivo studies.

本文引用的文献

1
Can silver nanoparticles be useful as potential biological labels?银纳米颗粒能否作为潜在的生物标记物?
Nanotechnology. 2008 Jun 11;19(23):235104. doi: 10.1088/0957-4484/19/23/235104. Epub 2008 May 6.
2
Metal-based nanoparticles and their toxicity assessment.基于金属的纳米粒子及其毒性评估。
Wiley Interdiscip Rev Nanomed Nanobiotechnol. 2010 Sep-Oct;2(5):544-68. doi: 10.1002/wnan.103.
3
Anti-oxidant effect of gold nanoparticles restrains hyperglycemic conditions in diabetic mice.金纳米粒子的抗氧化作用抑制了糖尿病小鼠的高血糖状态。
评估一步合成的 PEG 修饰金纳米粒子的毒性:体外和体内研究。
Einstein (Sao Paulo). 2024 May 20;22:eAO0764. doi: 10.31744/einstein_journal/2024AO0764. eCollection 2024.
4
Molecular mechanism of nanomaterials induced liver injury: A review.纳米材料诱导肝损伤的分子机制:综述
World J Hepatol. 2024 Apr 27;16(4):566-600. doi: 10.4254/wjh.v16.i4.566.
5
The Apoptotic, Oxidative and Histological Changes Induced by Different Diameters of Sphere Gold Nanoparticles (GNPs) with Special Emphasis on the Hepatoprotective Role of Quercetin.不同直径球形金纳米颗粒(GNPs)诱导的细胞凋亡、氧化及组织学变化,特别强调槲皮素的肝脏保护作用。
Adv Pharm Bull. 2024 Mar;14(1):208-223. doi: 10.34172/apb.2024.014. Epub 2023 Oct 14.
6
Intraperitoneal hepato-renal toxicity of zinc oxide and nickel oxide nanoparticles in male rats: biochemical, hematological and histopathological studies.氧化锌和氧化镍纳米颗粒对雄性大鼠的腹膜肝肾毒性:生化、血液学和组织病理学研究
EXCLI J. 2023 Jul 9;22:619-644. doi: 10.17179/excli2023-6237. eCollection 2023.
7
Nephrotoxicity induced by different diameters of sphere gold nanoparticles with special emphasis on the nephroprotective role of quercetin.不同直径的球形金纳米粒子诱导的肾毒性,特别强调槲皮素的肾保护作用。
Open Vet J. 2023 Jun;13(6):723-731. doi: 10.5455/OVJ.2023.v13.i6.7. Epub 2023 Jun 9.
8
Nanodrugs with intrinsic radioprotective exertion: Turning the double-edged sword into a single-edged knife.具有内在辐射防护作用的纳米药物:将双刃剑变为单刃刀。
Exploration (Beijing). 2023 Mar 31;3(2):20220119. doi: 10.1002/EXP.20220119. eCollection 2023 Apr.
9
-based delivery of selenium nanoparticles in combination with radiotherapy induces potent antiviral and anticancer activities against Ehrlich ascites tumor.基于硒纳米颗粒与放疗相结合的给药方式对艾氏腹水瘤具有强大的抗病毒和抗癌活性。
Front Mol Biosci. 2023 Apr 12;10:1120422. doi: 10.3389/fmolb.2023.1120422. eCollection 2023.
10
Evaluation of the Toxic Effects of Aluminum Hydroxide Nanoparticles as Adjuvants in Vaccinated Neonatal Mice.评价纳米氢氧化铝作为佐剂在接种新生小鼠中的毒副作用。
Arch Razi Inst. 2022 Feb 28;77(1):221-228. doi: 10.22092/ARI.2021.356418.1839. eCollection 2022 Feb.
J Nanobiotechnology. 2010 Jul 14;8:16. doi: 10.1186/1477-3155-8-16.
4
Potential oxidative stress of gold nanoparticles by induced-NO releasing in serum.血清中诱导释放一氧化氮导致金纳米颗粒潜在的氧化应激。
J Am Chem Soc. 2009 Jan 14;131(1):40-1. doi: 10.1021/ja808033w.
5
Perturbational profiling of nanomaterial biologic activity.纳米材料生物活性的扰动分析
Proc Natl Acad Sci U S A. 2008 May 27;105(21):7387-92. doi: 10.1073/pnas.0802878105. Epub 2008 May 20.
6
Size-dependent cytotoxicity of gold nanoparticles.金纳米颗粒的尺寸依赖性细胞毒性。
Small. 2007 Nov;3(11):1941-9. doi: 10.1002/smll.200700378.
7
Paclitaxel-functionalized gold nanoparticles.紫杉醇功能化金纳米粒子
J Am Chem Soc. 2007 Sep 19;129(37):11653-61. doi: 10.1021/ja075181k. Epub 2007 Aug 24.
8
Elucidating the mechanism of cellular uptake and removal of protein-coated gold nanoparticles of different sizes and shapes.阐明不同尺寸和形状的蛋白质包被金纳米颗粒的细胞摄取和清除机制。
Nano Lett. 2007 Jun;7(6):1542-50. doi: 10.1021/nl070363y. Epub 2007 Apr 28.
9
Gold nanoparticles are taken up by human cells but do not cause acute cytotoxicity.金纳米颗粒可被人体细胞摄取,但不会引起急性细胞毒性。
Small. 2005 Mar;1(3):325-7. doi: 10.1002/smll.200400093.
10
Biomedical applications and potential health risks of nanomaterials: molecular mechanisms.纳米材料的生物医学应用及潜在健康风险:分子机制
Curr Mol Med. 2006 Sep;6(6):651-63. doi: 10.2174/156652406778195026.