Suppr超能文献

脐尿管残端放线菌病:假性肿瘤的罕见病因。

Actinomycosis in urachal remnants: A rare cause of pseudotumor.

作者信息

Chaitra V, Rajalakshmi T, Mohanty Suravi, Lahoti N K, George Arun, Idiculla Jyothi

机构信息

Department of Pathology, St. John's Medical College and Hospital, John Nagar, Bangalore, India.

出版信息

Indian J Urol. 2011 Oct;27(4):545-6. doi: 10.4103/0970-1591.91450.

Abstract

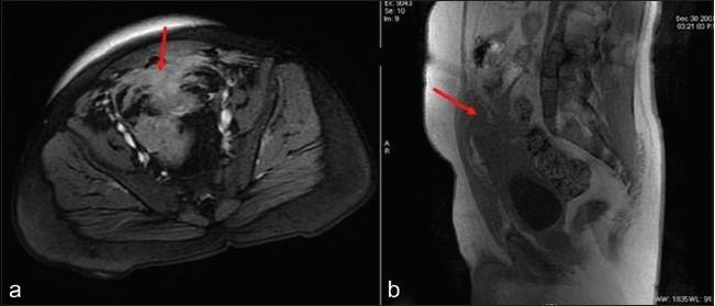
Actinomycosis is a chronic inflammatory condition caused by Actinomyces israeli, a gram positive anaerobic bacterium. It can have a variety of clinical manifestations and can mimic a malignancy. We present one such case of urachal actinomycosis that mimicked a tumor. A 28-year-old man presented with abdominal pain of 20 days duration. Per abdominal palpation revealed a firm mass with ill-defined borders in the suprapubic region. Computed tomography and magnetic resonance imaging scans of the pelvis showed an irregular lesion in the urinary bladder extending to the umbilicus, giving the impression of urachal remnants with inflammation. Peroperatively, an irregular, hard mass measuring 6 × 5 cm, involving the anterior and posterior bladder walls, the appendix, the terminal ileum and sigmoid colon, was seen, which was suspicious for a malignancy. Frozen sections from the mass showed extensive inflammation and a florid fibroblastic proliferation, giving the impression of an inflammatory pseudotumor. The tissue was extensively sampled for paraffin sections and only one of them revealed a colony of Gram, PAS and GMS- positive organisms, conclusive for Actinomycosis. It is important to be aware of this uncommon, yet significant, presentation of a common infectious disease in order to avoid misdiagnosis and over-treatment as a malignancy.

摘要

放线菌病是一种由以色列放线菌引起的慢性炎症性疾病,以色列放线菌是一种革兰氏阳性厌氧菌。它可有多种临床表现,且可类似恶性肿瘤。我们报告一例类似肿瘤的脐尿管放线菌病病例。一名28岁男性出现持续20天的腹痛。腹部触诊发现耻骨上区有一个边界不清的实性肿块。骨盆的计算机断层扫描和磁共振成像扫描显示膀胱内有一个不规则病变延伸至脐部,给人以脐尿管残余伴炎症的印象。手术中可见一个大小为6×5 cm的不规则硬块,累及膀胱前壁和后壁、阑尾、回肠末端和乙状结肠,怀疑为恶性肿瘤。肿块的冰冻切片显示广泛炎症和活跃的成纤维细胞增生,给人以炎性假瘤的印象。对组织进行广泛取材制作石蜡切片,其中只有一张切片显示有革兰氏、PAS和GMS阳性菌菌落,确诊为放线菌病。认识到这种常见传染病的这种不常见但重要的表现形式很重要,以便避免误诊和作为恶性肿瘤进行过度治疗。

https://cdn.ncbi.nlm.nih.gov/pmc/blobs/451e/3263229/9f0b819e0404/IJU-27-545-g001.jpg

文献AI研究员

20分钟写一篇综述,助力文献阅读效率提升50倍。

立即体验

用中文搜PubMed

大模型驱动的PubMed中文搜索引擎

马上搜索

文档翻译

学术文献翻译模型,支持多种主流文档格式。

立即体验