• 文献检索
  • 文档翻译
  • 深度研究
  • 学术资讯
  • Suppr Zotero 插件Zotero 插件
  • 邀请有礼
  • 套餐&价格
  • 历史记录
应用&插件
Suppr Zotero 插件Zotero 插件浏览器插件Mac 客户端Windows 客户端微信小程序
定价
高级版会员购买积分包购买API积分包
服务
文献检索文档翻译深度研究API 文档MCP 服务
关于我们
关于 Suppr公司介绍联系我们用户协议隐私条款
关注我们

Suppr 超能文献

核心技术专利:CN118964589B侵权必究
粤ICP备2023148730 号-1Suppr @ 2026

文献检索

告别复杂PubMed语法,用中文像聊天一样搜索,搜遍4000万医学文献。AI智能推荐,让科研检索更轻松。

立即免费搜索

文件翻译

保留排版,准确专业,支持PDF/Word/PPT等文件格式,支持 12+语言互译。

免费翻译文档

深度研究

AI帮你快速写综述,25分钟生成高质量综述,智能提取关键信息,辅助科研写作。

立即免费体验

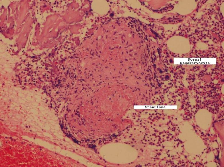
Disseminated tuberculosis with immune thrombocytopenic purpura.

作者信息

Dagaonkar Rucha S, Udwadia Zarir F

机构信息

Department of Pulmonary Medicine, P. D. Hinduja National Hospital and MRC Veer Sawarkar Marg, Mahim, Mumbai, India.

出版信息

Lung India. 2012 Jan;29(1):63-5. doi: 10.4103/0970-2113.92367.

DOI:10.4103/0970-2113.92367
PMID:22345918
原文链接:https://pmc.ncbi.nlm.nih.gov/articles/PMC3276039/
Abstract

Tuberculosis has a variety of hematological manifestations. Immune thrombocytopenic purpura is an uncommon manifestation of tuberculosis. We present a case of disseminated tuberculosis with isolated thrombocytopenia. While TB granulomas in the bone marrow can themselves cause hematological abnormalities, persistent thrombocytopenia refractory to anti-TB therapy may be ITP associated with TB.

摘要
https://cdn.ncbi.nlm.nih.gov/pmc/blobs/c26f/3276039/dae13bf8e097/LI-29-63-g001.jpg
https://cdn.ncbi.nlm.nih.gov/pmc/blobs/c26f/3276039/dae13bf8e097/LI-29-63-g001.jpg
https://cdn.ncbi.nlm.nih.gov/pmc/blobs/c26f/3276039/dae13bf8e097/LI-29-63-g001.jpg

相似文献

1
Disseminated tuberculosis with immune thrombocytopenic purpura.
Lung India. 2012 Jan;29(1):63-5. doi: 10.4103/0970-2113.92367.
2
Immune Thrombocytopenic Purpura and Ganglionic Tuberculosis: An Unlikely Link.免疫性血小板减少性紫癜与神经节结核:一种不太可能的关联。
Cureus. 2024 Jun 10;16(6):e62074. doi: 10.7759/cureus.62074. eCollection 2024 Jun.
3
Immune thrombocytopenic purpura in a patient with disseminated tuberculosis: An unusual presentation.一名播散性肺结核患者并发免疫性血小板减少性紫癜:一种不寻常的表现。
Int J Mycobacteriol. 2019 Jan-Mar;8(1):107-109. doi: 10.4103/ijmy.ijmy_169_18.
4
Disseminated tuberculosis with severe immune thrombocytopenia.播散性结核病伴严重免疫性血小板减少症。
Respir Med Case Rep. 2019 Feb 25;27:100812. doi: 10.1016/j.rmcr.2019.02.013. eCollection 2019.
5
Is It a Coincidence or Secondary Immune Thrombocytopenic Purpura? A Case of an 11-Year-Old Male Patient at Hawassa University Comprehensive Specialized Hospital, Hawassa, Sidama, Ethiopia.这是巧合还是继发性免疫性血小板减少性紫癜?埃塞俄比亚锡达马州哈瓦萨市哈瓦萨大学综合专科医院一名11岁男性患者的病例
Int Med Case Rep J. 2022 Mar 5;15:85-90. doi: 10.2147/IMCRJ.S355892. eCollection 2022.
6
Immune thrombocytopenia: a rare presenting manifestation of tuberculosis.免疫性血小板减少症:一种罕见的结核病表现形式。
Am J Hematol. 2001 Jun;67(2):139-43. doi: 10.1002/ajh.1093.
7
Tuberculosis presenting as immune thrombocytopenic purpura.以免疫性血小板减少性紫癜为表现的结核病
Acta Haematol. 1995;94(3):135-8. doi: 10.1159/000203995.
8
Thrombocytopenic purpura associated with miliary tuberculosis.血小板减少性紫癜合并粟粒性肺结核
J Med Assoc Thai. 2003 Oct;86(10):976-80.
9
[Idiopathic thrombocytopenic purpura in children].[儿童特发性血小板减少性紫癜]
Med Pregl. 1998 Mar-Apr;51(3-4):127-34.
10
Immune thrombocytopenic purpura associated with pulmonary tuberculosis.免疫性血小板减少性紫癜合并肺结核
J Glob Infect Dis. 2012 Jul;4(3):175-7. doi: 10.4103/0974-777X.100580.

引用本文的文献

1
Immune Thrombocytopenic Purpura and Ganglionic Tuberculosis: An Unlikely Link.免疫性血小板减少性紫癜与神经节结核:一种不太可能的关联。
Cureus. 2024 Jun 10;16(6):e62074. doi: 10.7759/cureus.62074. eCollection 2024 Jun.
2
Disseminated tuberculosis with severe immune thrombocytopenia.播散性结核病伴严重免疫性血小板减少症。
Respir Med Case Rep. 2019 Feb 25;27:100812. doi: 10.1016/j.rmcr.2019.02.013. eCollection 2019.
3
Immune thrombocytopenia in tuberculosis: causal or coincidental?结核病中的免疫性血小板减少症:是因果关系还是巧合?

本文引用的文献

1
Disseminated tuberculosis: interesting hematological observations.播散性肺结核:有趣的血液学观察结果。
J Assoc Physicians India. 2010 Apr;58:243-4.
2
Immune thrombocytopenia in a challenging case of disseminated tuberculosis: a case report and review of the literature.播散性肺结核疑难病例中的免疫性血小板减少症:一例病例报告及文献复习
Case Rep Med. 2010;2010. doi: 10.1155/2010/946278. Epub 2010 Sep 26.
3
Immune thrombocytopenia associated with pulmonary tuberculosis.与肺结核相关的免疫性血小板减少症。
J Glob Infect Dis. 2014 Jul;6(3):128-31. doi: 10.4103/0974-777X.138512.
4
State of the globe: immune thrombocytopenia, an uncommon complication in tuberculosis.全球状况:免疫性血小板减少症,结核病中的一种罕见并发症。
J Glob Infect Dis. 2014 Jul;6(3):93-4. doi: 10.4103/0974-777X.138495.
J Infect Chemother. 2010 Feb;16(1):42-4. doi: 10.1007/s10156-009-0003-6.
4
Immune thrombocytopenic purpura associated with pulmonary tuberculosis.
Turk J Pediatr. 2009 May-Jun;51(3):271-4.
5
Idiopathic thrombocytopenic purpura with isolated tuberculous splenic abscess.特发性血小板减少性紫癜合并孤立性结核性脾脓肿
Singapore Med J. 2009 Jan;50(1):e41-3.
6
Immune thrombocytopenic purpura.免疫性血小板减少性紫癜
Hematol Oncol Clin North Am. 2007 Aug;21(4):743-59, vii. doi: 10.1016/j.hoc.2007.06.007.
7
Tuberculous gumma associated with idiopathic thrombocytopenic purpura: report of a Japanese female patient.
J Dermatol. 2007 Jan;34(1):86-91. doi: 10.1111/j.1346-8138.2007.00223.x.
8
Thrombocytopenic purpura as a presenting manifestation of tubercular lymphadenitis.血小板减少性紫癜作为结核性淋巴结炎的首发表现。
Indian J Pediatr. 2003 Dec;70(12):993-4. doi: 10.1007/BF02723827.
9
Immune thrombocytopenia: a rare presenting manifestation of tuberculosis.免疫性血小板减少症:一种罕见的结核病表现形式。
Am J Hematol. 2001 Jun;67(2):139-43. doi: 10.1002/ajh.1093.
10
Pancytopenia in disseminated tuberculosis.播散性结核病中的全血细胞减少
Indian Pediatr. 1996 Jul;33(7):597-9.