Suppr超能文献

人乳头瘤病毒样颗粒的拆卸和组装产生更多类似病毒的抗体反应性。

Disassembly and reassembly of human papillomavirus virus-like particles produces more virion-like antibody reactivity.

机构信息

Merck Research Laboratories, West Point, PA 19486, USA.

出版信息

Virol J. 2012 Feb 22;9:52. doi: 10.1186/1743-422X-9-52.

Abstract

BACKGROUND

Human papillomavirus (HPV) vaccines based on major capsid protein L1 are licensed in over 100 countries to prevent HPV infections. The yeast-derived recombinant quadrivalent HPV L1 vaccine, GARDASIL(R), has played an important role in reducing cancer and genital warts since its introduction in 2006. The L1 proteins self-assemble into virus-like particles (VLPs).

RESULTS

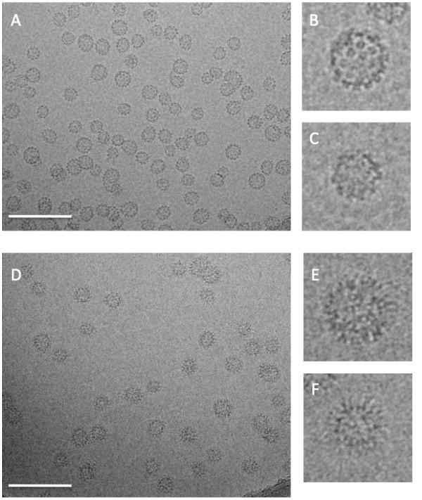
VLPs were subjected to post-purification disassembly and reassembly (D/R) treatment during bioprocessing to improve VLP immunoreactivity and stability. The post-D/R HPV16 VLPs and their complex with H16.V5 neutralizing antibody Fab fragments were visualized by cryo electron microscopy, showing VLPs densely decorated with antibody. Along with structural improvements, post-D/R VLPs showed markedly higher antigenicity to conformational and neutralizing monoclonal antibodies (mAbs) H16.V5, H16.E70 and H263.A2, whereas binding to mAbs recognizing linear epitopes (H16.J4, H16.O7, and H16.H5) was greatly reduced. Strikingly, post-D/R VLPs showed no detectable binding to H16.H5, indicating that the H16.H5 epitope is not accessible in fully assembled VLPs. An atomic homology model of the entire HPV16 VLP was generated based on previously determined high-resolution structures of bovine papillomavirus and HPV16 L1 pentameric capsomeres.

CONCLUSIONS

D/R treatment of HPV16 L1 VLPs produces more homogeneous VLPs with more virion-like antibody reactivity. These effects can be attributed to a combination of more complete and regular assembly of the VLPs, better folding of L1, reduced non-specific disulfide-mediated aggregation and increased stability of the VLPs. Markedly different antigenicity of HPV16 VLPs was observed upon D/R treatment with a panel of monoclonal antibodies targeting neutralization sensitive epitopes. Multiple epitope-specific assays with a panel of mAbs with different properties and epitopes are required to gain a better understanding of the immunochemical properties of VLPs and to correlate the observed changes at the molecular level. Mapping of known antibody epitopes to the homology model explains the changes in antibody reactivity upon D/R. In particular, the H16.H5 epitope is partially occluded by intercapsomeric interactions involving the L1 C-terminal arm. The homology model allows a more precise mapping of antibody epitopes. This work provides a better understanding of VLPs in current vaccines and could guide the design of improved vaccines or therapeutics.

摘要

背景

基于主要衣壳蛋白 L1 的人乳头瘤病毒 (HPV) 疫苗已在 100 多个国家获得许可,用于预防 HPV 感染。自 2006 年推出以来,酵母衍生的重组四价 HPV L1 疫苗 GARDASIL(R) 在降低癌症和生殖器疣方面发挥了重要作用。L1 蛋白自行组装成病毒样颗粒 (VLPs)。

结果

在生物加工过程中,VLPs 经过纯化后解体和重组 (D/R) 处理,以提高 VLP 的免疫原性和稳定性。经过 D/R 处理的 HPV16 VLP 及其与 H16.V5 中和抗体 Fab 片段的复合物通过冷冻电子显微镜观察到,VLPs 上密集地装饰着抗体。除了结构上的改进外,经过 D/R 处理的 VLPs 对构象和中和单克隆抗体 (mAb) H16.V5、H16.E70 和 H263.A2 的抗原性明显更高,而与识别线性表位的 mAb (H16.J4、H16.O7 和 H16.H5) 的结合大大降低。值得注意的是,经过 D/R 处理的 VLPs 与 H16.H5 没有检测到结合,表明完全组装的 VLPs 中不存在 H16.H5 表位。根据先前确定的牛乳头瘤病毒和 HPV16 L1 五聚体衣壳小体的高分辨率结构,生成了整个 HPV16 VLP 的原子同源模型。

结论

HPV16 L1 VLP 的 D/R 处理产生了更均匀的 VLP,具有更类似于病毒的抗体反应性。这些效果可归因于 VLPs 更完整和规则的组装、L1 更好的折叠、非特异性二硫键介导的聚集减少以及 VLPs 稳定性的提高。经过 D/R 处理后,用一组针对中和敏感表位的单克隆抗体对 HPV16 VLP 进行了检测,观察到明显不同的抗原性。需要使用一组具有不同性质和表位的单克隆抗体进行多种表位特异性检测,以更好地了解 VLP 的免疫化学特性,并在分子水平上对观察到的变化进行相关分析。将已知抗体表位映射到同源模型可以解释 D/R 后抗体反应性的变化。特别是,H16.H5 表位部分被涉及 L1 C 末端臂的衣壳间相互作用所掩盖。同源模型允许更精确地映射抗体表位。这项工作更好地理解了当前疫苗中的 VLP,并可以指导设计改进的疫苗或疗法。

https://cdn.ncbi.nlm.nih.gov/pmc/blobs/6aa1/3308208/441d27ed6fb4/1743-422X-9-52-1.jpg

文献AI研究员

20分钟写一篇综述,助力文献阅读效率提升50倍。

立即体验

用中文搜PubMed

大模型驱动的PubMed中文搜索引擎

马上搜索

文档翻译

学术文献翻译模型,支持多种主流文档格式。

立即体验