Suppr超能文献

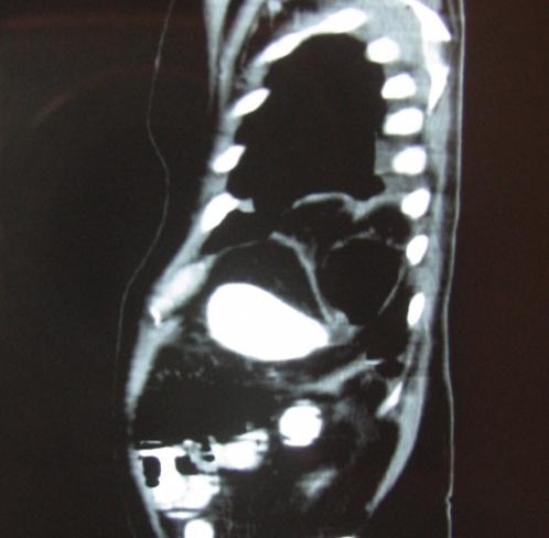
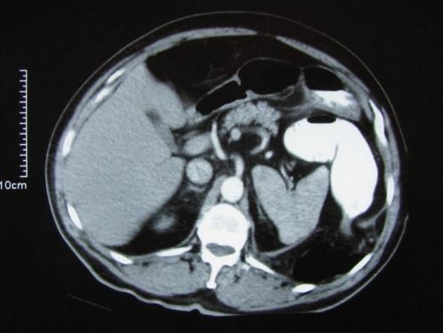
Laparoscopic repair of an incarcerated bochdalek hernia in an elderly man.

作者信息

Toydemir Toygar, Akinci Hakan, Tekinel Mehmet, Süleyman Erdoğan, Acunaş Bülent, Yerdel Mehmet Ali

机构信息

General Surgery Department, Istanbul Surgery Hospital, Istanbul, Turkey.

出版信息

Clinics (Sao Paulo). 2012;67(2):199-201. doi: 10.6061/clinics/2012(02)20.

Abstract
摘要
https://cdn.ncbi.nlm.nih.gov/pmc/blobs/0cb2/3275124/1450f67bc8a8/cln-67-02-199-g001.jpg

文献检索

告别复杂PubMed语法,用中文像聊天一样搜索,搜遍4000万医学文献。AI智能推荐,让科研检索更轻松。

立即免费搜索

文件翻译

保留排版,准确专业,支持PDF/Word/PPT等文件格式,支持 12+语言互译。

免费翻译文档

深度研究

AI帮你快速写综述,25分钟生成高质量综述,智能提取关键信息,辅助科研写作。

立即免费体验