• 文献检索
  • 文档翻译
  • 深度研究
  • 学术资讯
  • Suppr Zotero 插件Zotero 插件
  • 邀请有礼
  • 套餐&价格
  • 历史记录
应用&插件
Suppr Zotero 插件Zotero 插件浏览器插件Mac 客户端Windows 客户端微信小程序
定价
高级版会员购买积分包购买API积分包
服务
文献检索文档翻译深度研究API 文档MCP 服务
关于我们
关于 Suppr公司介绍联系我们用户协议隐私条款
关注我们

Suppr 超能文献

核心技术专利:CN118964589B侵权必究
粤ICP备2023148730 号-1Suppr @ 2026

文献检索

告别复杂PubMed语法,用中文像聊天一样搜索,搜遍4000万医学文献。AI智能推荐,让科研检索更轻松。

立即免费搜索

文件翻译

保留排版,准确专业,支持PDF/Word/PPT等文件格式,支持 12+语言互译。

免费翻译文档

深度研究

AI帮你快速写综述,25分钟生成高质量综述,智能提取关键信息,辅助科研写作。

立即免费体验

人胶质母细胞瘤中扩增重排基因异常表皮生长因子受体转录本的相同剪接

Identical splicing of aberrant epidermal growth factor receptor transcripts from amplified rearranged genes in human glioblastomas.

作者信息

Sugawa N, Ekstrand A J, James C D, Collins V P

机构信息

Ludwig Institute for Cancer Research, Clinical Group, Stockholm, Sweden.

出版信息

Proc Natl Acad Sci U S A. 1990 Nov;87(21):8602-6. doi: 10.1073/pnas.87.21.8602.

DOI:10.1073/pnas.87.21.8602
PMID:2236070
原文链接:https://pmc.ncbi.nlm.nih.gov/articles/PMC55005/
Abstract

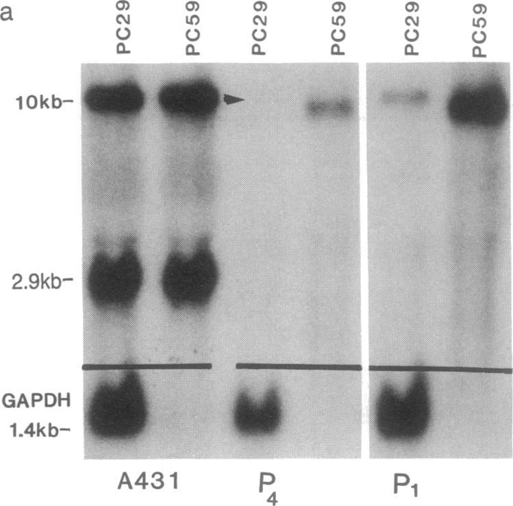
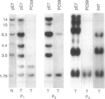
The epidermal growth factor receptor gene has been found to be amplified and rearranged in human glioblastomas in vivo. Here we present the sequence across a splice junction of aberrant epidermal growth factor receptor transcripts derived from corresponding and uniquely rearranged genes that are coamplified and coexpressed with non-rearranged epidermal growth factor receptor genes in six primary human glioblastomas. Each of these six tumors contains aberrant transcripts derived from identical splicing of exon 1 to exon 8 as a consequence of a deletion-rearrangement of the amplified gene, the extent of which is variable among these tumors. In spite of this intertumoral variability, each intragenic rearrangement results in loss of the same 801 coding bases (exons 2-7) and creation of a new codon at the novel splice site in their corresponding transcripts. These rearrangements do not, however, affect the mRNA sequence for the signal peptide, the first five codons, or the reading frame downstream of the rearrangement.

摘要

在人体胶质母细胞瘤中,已发现表皮生长因子受体基因在体内存在扩增和重排现象。在此,我们展示了来自六个原发性人类胶质母细胞瘤中相应且独特重排基因的异常表皮生长因子受体转录本剪接位点的序列,这些基因与未重排的表皮生长因子受体基因共同扩增且共同表达。这六个肿瘤中的每一个都包含由于扩增基因的缺失重排而导致的从外显子1到外显子8相同剪接产生的异常转录本,其缺失程度在这些肿瘤中各不相同。尽管存在肿瘤间的这种变异性,但每个基因内重排都会导致相同的801个编码碱基(外显子2至7)缺失,并在其相应转录本的新剪接位点产生一个新密码子。然而,这些重排并不影响信号肽的mRNA序列、前五个密码子或重排下游的阅读框。

https://cdn.ncbi.nlm.nih.gov/pmc/blobs/87ff/55005/076cbfa8d447/pnas01046-0428-a.jpg
https://cdn.ncbi.nlm.nih.gov/pmc/blobs/87ff/55005/75dc538ddc02/pnas01046-0427-a.jpg
https://cdn.ncbi.nlm.nih.gov/pmc/blobs/87ff/55005/11a0848f7698/pnas01046-0427-b.jpg
https://cdn.ncbi.nlm.nih.gov/pmc/blobs/87ff/55005/2ae666f0fe45/pnas01046-0427-c.jpg
https://cdn.ncbi.nlm.nih.gov/pmc/blobs/87ff/55005/076cbfa8d447/pnas01046-0428-a.jpg
https://cdn.ncbi.nlm.nih.gov/pmc/blobs/87ff/55005/75dc538ddc02/pnas01046-0427-a.jpg
https://cdn.ncbi.nlm.nih.gov/pmc/blobs/87ff/55005/11a0848f7698/pnas01046-0427-b.jpg
https://cdn.ncbi.nlm.nih.gov/pmc/blobs/87ff/55005/2ae666f0fe45/pnas01046-0427-c.jpg
https://cdn.ncbi.nlm.nih.gov/pmc/blobs/87ff/55005/076cbfa8d447/pnas01046-0428-a.jpg

相似文献

1
Identical splicing of aberrant epidermal growth factor receptor transcripts from amplified rearranged genes in human glioblastomas.人胶质母细胞瘤中扩增重排基因异常表皮生长因子受体转录本的相同剪接
Proc Natl Acad Sci U S A. 1990 Nov;87(21):8602-6. doi: 10.1073/pnas.87.21.8602.
2
Amplified and rearranged epidermal growth factor receptor genes in human glioblastomas reveal deletions of sequences encoding portions of the N- and/or C-terminal tails.
Proc Natl Acad Sci U S A. 1992 May 15;89(10):4309-13. doi: 10.1073/pnas.89.10.4309.
3
EGFR gene amplification--rearrangement in human glioblastomas.表皮生长因子受体(EGFR)基因扩增——人类胶质母细胞瘤中的重排
Int J Cancer. 1995 Jul 17;62(2):145-8. doi: 10.1002/ijc.2910620206.
4
Structural alterations of the epidermal growth factor receptor gene in human gliomas.人类胶质瘤中表皮生长因子受体基因的结构改变。
Proc Natl Acad Sci U S A. 1992 Apr 1;89(7):2965-9. doi: 10.1073/pnas.89.7.2965.
5
Acquired rearrangement of an amplified epidermal growth factor receptor (EGFR) gene in a human glioblastoma xenograft.人胶质母细胞瘤异种移植中扩增的表皮生长因子受体(EGFR)基因的获得性重排。
J Neuropathol Exp Neurol. 1999 Jul;58(7):697-701. doi: 10.1097/00005072-199907000-00003.
6
Mutation analysis of the THRA1 gene in breast cancer: deletion/fusion of the gene to a novel sequence on 17q in the BT474 cell line.乳腺癌中THRA1基因的突变分析:BT474细胞系中该基因与17号染色体上一个新序列的缺失/融合
Cancer Res. 1994 Apr 1;54(7):1791-4.
7
Epidermal growth factor receptor gene and its transcripts in glioblastomas.胶质母细胞瘤中的表皮生长因子受体基因及其转录本
Recent Results Cancer Res. 1994;135:17-24. doi: 10.1007/978-3-642-85039-4_3.
8
Amplified genes in human gliomas.人类胶质瘤中的扩增基因。
Semin Cancer Biol. 1993 Feb;4(1):27-32.
9
Amplification of alpha-platelet-derived growth factor receptor gene lacking an exon coding for a portion of the extracellular region in a primary brain tumor of glial origin.在起源于神经胶质的原发性脑肿瘤中,编码细胞外区域一部分的外显子缺失的α-血小板衍生生长因子受体基因的扩增。
Oncogene. 1992 Apr;7(4):627-33.
10
Contributory effects of de novo transcription and premature transcript termination in the regulation of human epidermal growth factor receptor proto-oncogene RNA synthesis.从头转录和过早转录终止在人类表皮生长因子受体原癌基因RNA合成调控中的协同作用。
J Biol Chem. 1991 Jan 25;266(3):1746-53.

引用本文的文献

1
Immunologic specificity in glioblastoma: Antigen discovery and translational implications.胶质母细胞瘤中的免疫特异性:抗原发现及转化意义
Neurooncol Adv. 2025 Sep 9;7(Suppl 4):iv41-iv70. doi: 10.1093/noajnl/vdaf028. eCollection 2025 Sep.
2
Vaccine therapies for glioma: clinical frontiers and potential breakthrough.胶质瘤的疫苗疗法:临床前沿与潜在突破
Front Oncol. 2025 Jun 25;15:1613332. doi: 10.3389/fonc.2025.1613332. eCollection 2025.
3
A Positive Feedback DNA-PK/MYT1L-CXCR1-ERK1/2 Proliferative Signaling Loop in Glioblastoma.

本文引用的文献

1
Human epidermal growth factor receptor cDNA sequence and aberrant expression of the amplified gene in A431 epidermoid carcinoma cells.人表皮生长因子受体cDNA序列及扩增基因在A431表皮样癌细胞中的异常表达。
Nature. 1984;309(5967):418-25. doi: 10.1038/309418a0.
2
Expression cloning of human EGF receptor complementary DNA: gene amplification and three related messenger RNA products in A431 cells.人表皮生长因子受体互补DNA的表达克隆:A431细胞中的基因扩增及三种相关信使RNA产物
Science. 1984 May 25;224(4651):843-8. doi: 10.1126/science.6326261.
3
Expression of epidermal growth factor receptors in human brain tumors.
胶质母细胞瘤中由DNA-PK/MYT1L-CXCR1-ERK1/2构成的正反馈增殖信号环
Int J Mol Sci. 2025 May 6;26(9):4398. doi: 10.3390/ijms26094398.
4
Presence of EGF ligand restricts the binding ability of EgB4 nanobody to EGFR extracellular domain.表皮生长因子(EGF)配体的存在会限制EgB4纳米抗体与表皮生长因子受体(EGFR)细胞外结构域的结合能力。
Sci Rep. 2025 Jan 18;15(1):2420. doi: 10.1038/s41598-025-86646-z.
5
Review of Novel Surgical, Radiation, and Systemic Therapies and Clinical Trials in Glioblastoma.胶质母细胞瘤的新型手术、放疗和系统治疗及临床试验述评。
Int J Mol Sci. 2024 Sep 30;25(19):10570. doi: 10.3390/ijms251910570.
6
Enhanced Anticancer Activity of 7MeERT over Ertredin: A Comparative Study on Cancer Cell Proliferation and NDUFA12 Binding.7MeERT 增强了 Ertredin 的抗癌活性:对癌细胞增殖和 NDUFA12 结合的比较研究。
Biomolecules. 2024 Sep 23;14(9):1197. doi: 10.3390/biom14091197.
7
Development of an antigen-based approach to noninvasively image CAR T cells in real time and as a predictive tool.开发一种基于抗原的方法,实时无创性地成像 CAR T 细胞,并将其作为一种预测工具。
Sci Adv. 2024 Sep 20;10(38):eadn3816. doi: 10.1126/sciadv.adn3816. Epub 2024 Sep 18.
8
Structural insights into the role and targeting of EGFRvIII.EGFRvIII 的作用和靶向的结构见解。
Structure. 2024 Sep 5;32(9):1367-1380.e6. doi: 10.1016/j.str.2024.05.018. Epub 2024 Jun 21.
9
Treatment advances in high-grade gliomas.高级别胶质瘤的治疗进展
Front Oncol. 2024 Apr 10;14:1287725. doi: 10.3389/fonc.2024.1287725. eCollection 2024.
10
Decrease in Heparan Sulphate Binding in Tropism-Retargeted Oncolytic Herpes Simplex Virus (ReHV) Delays Blood Clearance and Improves Systemic Anticancer Efficacy.嗜性重定向溶瘤单纯疱疹病毒(ReHV)中硫酸乙酰肝素结合的减少延迟了血液清除并提高了全身抗癌疗效。
Cancers (Basel). 2024 Mar 13;16(6):1143. doi: 10.3390/cancers16061143.
人脑肿瘤中表皮生长因子受体的表达
Cancer Res. 1984 Feb;44(2):753-60.
4
Characterization of epidermal growth factor receptor gene expression in malignant and normal human cell lines.恶性和正常人类细胞系中表皮生长因子受体基因表达的特征分析。
Proc Natl Acad Sci U S A. 1984 Dec;81(23):7308-12. doi: 10.1073/pnas.81.23.7308.
5
Autophosphorylation sites on the epidermal growth factor receptor.表皮生长因子受体上的自磷酸化位点。
Nature. 1984;311(5985):483-5. doi: 10.1038/311483a0.
6
Human squamous cell lung cancers express increased epidermal growth factor receptors.人类肺鳞状细胞癌表达增加的表皮生长因子受体。
J Clin Invest. 1984 Aug;74(2):647-51. doi: 10.1172/JCI111463.
7
Relationship between gene amplification and chromosomal deviations in malignant human gliomas.人类恶性胶质瘤中基因扩增与染色体畸变之间的关系。
Cancer Genet Cytogenet. 1987 Nov;29(1):165-70. doi: 10.1016/0165-4608(87)90045-8.
8
Increased expression of the epidermal growth factor receptor gene in malignant gliomas is invariably associated with gene amplification.恶性胶质瘤中表皮生长因子受体基因表达的增加总是与基因扩增相关。
Proc Natl Acad Sci U S A. 1987 Oct;84(19):6899-903. doi: 10.1073/pnas.84.19.6899.
9
Expression of an altered epidermal growth factor receptor by human glioblastoma cells.人胶质母细胞瘤细胞中改变的表皮生长因子受体的表达。
Cancer Res. 1988 Oct 1;48(19):5433-9.
10
Amplification of the structurally and functionally altered epidermal growth factor receptor gene (c-erbB) in human brain tumors.人脑肿瘤中结构和功能改变的表皮生长因子受体基因(c-erbB)的扩增。
Mol Cell Biol. 1988 Apr;8(4):1816-20. doi: 10.1128/mcb.8.4.1816-1820.1988.