Suppr超能文献

一例经手术治疗的伴有胸膜侵犯的慢性坏死性曲霉病病例。

A surgically treated case of chronic necrotizing aspergillosis with pleural invasion.

作者信息

Lee Kyung-Hak, Ryu Se Min, Park Sung-Min, Park Hyun Seok, Lee Kang Hoon, Cho Seong-Joon

机构信息

Department of Thoracic and Cardiovascular Surgery, Kangwon National University Hospital, Kangwon National University School of Medicine, Korea.

出版信息

Korean J Thorac Cardiovasc Surg. 2012 Feb;45(1):56-9. doi: 10.5090/kjtcs.2012.45.1.56. Epub 2012 Feb 7.

Abstract

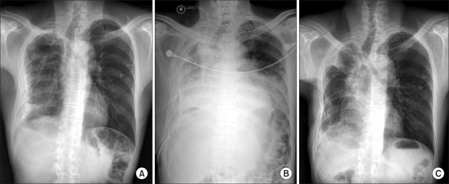
Aspergillus is a ubiquitous fungus and can cause many levels of disease severity. Chronic necrotizing aspergillosis is a rare disease and few cases have been reported in Korea. We experienced a case of pleural aspergillosis that was treated successfully with medical and surgical interventions. The 52-year-old man who was diagnosed with chronic necrotizing pulmonary aspergillosis underwent surgical treatment including a lobectomy, decortication, and myoplasty. The patient was also medically treated with amphotericin B followed by voriconazole. Pleural irrigation with amphotericin B was also performed. A multi-dimensional approach should be considered for treating chronic necrotizing pulmonary aspergillosis.

摘要

曲霉菌是一种广泛存在的真菌,可导致多种严重程度的疾病。慢性坏死性曲霉菌病是一种罕见疾病,韩国报道的病例较少。我们诊治了一例经内科和外科干预成功治愈的胸膜曲霉菌病病例。一名被诊断为慢性坏死性肺曲霉菌病的52岁男性接受了包括肺叶切除术、纤维板剥脱术和肌成形术在内的手术治疗。该患者还接受了两性霉素B治疗,随后使用伏立康唑。同时还进行了两性霉素B胸腔灌洗。治疗慢性坏死性肺曲霉菌病应考虑采用多维度方法。

https://cdn.ncbi.nlm.nih.gov/pmc/blobs/bb22/3283787/e32f1411a8a8/kjtcs-45-56-g001.jpg

文献AI研究员

20分钟写一篇综述,助力文献阅读效率提升50倍。

立即体验

用中文搜PubMed

大模型驱动的PubMed中文搜索引擎

马上搜索

文档翻译

学术文献翻译模型,支持多种主流文档格式。

立即体验