• 文献检索
  • 文档翻译
  • 深度研究
  • 学术资讯
  • Suppr Zotero 插件Zotero 插件
  • 邀请有礼
  • 套餐&价格
  • 历史记录
应用&插件
Suppr Zotero 插件Zotero 插件浏览器插件Mac 客户端Windows 客户端微信小程序
定价
高级版会员购买积分包购买API积分包
服务
文献检索文档翻译深度研究API 文档MCP 服务
关于我们
关于 Suppr公司介绍联系我们用户协议隐私条款
关注我们

Suppr 超能文献

核心技术专利:CN118964589B侵权必究
粤ICP备2023148730 号-1Suppr @ 2026

文献检索

告别复杂PubMed语法,用中文像聊天一样搜索,搜遍4000万医学文献。AI智能推荐,让科研检索更轻松。

立即免费搜索

文件翻译

保留排版,准确专业,支持PDF/Word/PPT等文件格式,支持 12+语言互译。

免费翻译文档

深度研究

AI帮你快速写综述,25分钟生成高质量综述,智能提取关键信息,辅助科研写作。

立即免费体验

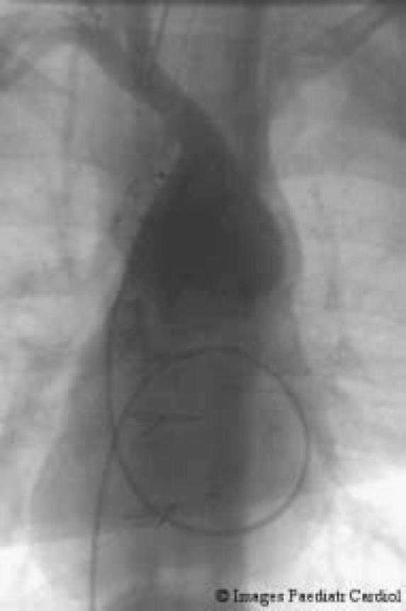
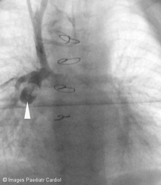
全腔静脉肺动脉连接术前先天性心脏病的心脏导管评估

Cardiac catheter assessment of congenital heart disease prior to total cavopulmonary connection.

作者信息

Degiovanni Jv, Grech V

机构信息

Consultant Paediatric Cardiologist, Birmingham Children's Hospital, UK.

出版信息

Images Paediatr Cardiol. 2005 Oct;7(4):10-27.

PMID:22368657
原文链接:https://pmc.ncbi.nlm.nih.gov/articles/PMC3232557/
Abstract

This paper summarises the rationale behind cardiac catheter assessment prior to surgical completion of the Fontan circulation in hearts with univentricular pathology.

摘要

本文总结了在单心室病变心脏完成Fontan循环手术前进行心导管评估的基本原理。

https://cdn.ncbi.nlm.nih.gov/pmc/blobs/1627/3232557/958c9a4ee38d/IPC-7-10-g026.jpg
https://cdn.ncbi.nlm.nih.gov/pmc/blobs/1627/3232557/70bea3242794/IPC-7-10-g001.jpg
https://cdn.ncbi.nlm.nih.gov/pmc/blobs/1627/3232557/9fc90cd3b7b2/IPC-7-10-g002.jpg
https://cdn.ncbi.nlm.nih.gov/pmc/blobs/1627/3232557/55c152ff523c/IPC-7-10-g004.jpg
https://cdn.ncbi.nlm.nih.gov/pmc/blobs/1627/3232557/6d80832adec0/IPC-7-10-g005.jpg
https://cdn.ncbi.nlm.nih.gov/pmc/blobs/1627/3232557/e9c5fda24350/IPC-7-10-g006.jpg
https://cdn.ncbi.nlm.nih.gov/pmc/blobs/1627/3232557/0b01a51d83e9/IPC-7-10-g007.jpg
https://cdn.ncbi.nlm.nih.gov/pmc/blobs/1627/3232557/2f3710ee563a/IPC-7-10-g016.jpg
https://cdn.ncbi.nlm.nih.gov/pmc/blobs/1627/3232557/dde06f0052e2/IPC-7-10-g017.jpg
https://cdn.ncbi.nlm.nih.gov/pmc/blobs/1627/3232557/82dfa7428d16/IPC-7-10-g018.jpg
https://cdn.ncbi.nlm.nih.gov/pmc/blobs/1627/3232557/01ed8e1f474f/IPC-7-10-g019.jpg
https://cdn.ncbi.nlm.nih.gov/pmc/blobs/1627/3232557/fae76b780d96/IPC-7-10-g023.jpg
https://cdn.ncbi.nlm.nih.gov/pmc/blobs/1627/3232557/4e158e53bfd1/IPC-7-10-g025.jpg
https://cdn.ncbi.nlm.nih.gov/pmc/blobs/1627/3232557/958c9a4ee38d/IPC-7-10-g026.jpg
https://cdn.ncbi.nlm.nih.gov/pmc/blobs/1627/3232557/70bea3242794/IPC-7-10-g001.jpg
https://cdn.ncbi.nlm.nih.gov/pmc/blobs/1627/3232557/9fc90cd3b7b2/IPC-7-10-g002.jpg
https://cdn.ncbi.nlm.nih.gov/pmc/blobs/1627/3232557/55c152ff523c/IPC-7-10-g004.jpg
https://cdn.ncbi.nlm.nih.gov/pmc/blobs/1627/3232557/6d80832adec0/IPC-7-10-g005.jpg
https://cdn.ncbi.nlm.nih.gov/pmc/blobs/1627/3232557/e9c5fda24350/IPC-7-10-g006.jpg
https://cdn.ncbi.nlm.nih.gov/pmc/blobs/1627/3232557/0b01a51d83e9/IPC-7-10-g007.jpg
https://cdn.ncbi.nlm.nih.gov/pmc/blobs/1627/3232557/2f3710ee563a/IPC-7-10-g016.jpg
https://cdn.ncbi.nlm.nih.gov/pmc/blobs/1627/3232557/dde06f0052e2/IPC-7-10-g017.jpg
https://cdn.ncbi.nlm.nih.gov/pmc/blobs/1627/3232557/82dfa7428d16/IPC-7-10-g018.jpg
https://cdn.ncbi.nlm.nih.gov/pmc/blobs/1627/3232557/01ed8e1f474f/IPC-7-10-g019.jpg
https://cdn.ncbi.nlm.nih.gov/pmc/blobs/1627/3232557/fae76b780d96/IPC-7-10-g023.jpg
https://cdn.ncbi.nlm.nih.gov/pmc/blobs/1627/3232557/4e158e53bfd1/IPC-7-10-g025.jpg
https://cdn.ncbi.nlm.nih.gov/pmc/blobs/1627/3232557/958c9a4ee38d/IPC-7-10-g026.jpg

相似文献

1
Cardiac catheter assessment of congenital heart disease prior to total cavopulmonary connection.全腔静脉肺动脉连接术前先天性心脏病的心脏导管评估
Images Paediatr Cardiol. 2005 Oct;7(4):10-27.
2
State of the art of the Fontan strategy for treatment of univentricular heart disease.单心室心脏病治疗中Fontan策略的现状。
F1000Res. 2018 Jun 27;7. doi: 10.12688/f1000research.13792.1. eCollection 2018.
3
Aortopulmonary collateral flow volume affects early postoperative outcome after Fontan completion: a multimodality study.主动脉肺侧支循环血流量影响 Fontan 完成术后早期结果:一项多模态研究。
J Thorac Cardiovasc Surg. 2012 Dec;144(6):1329-36. doi: 10.1016/j.jtcvs.2012.03.032. Epub 2012 Apr 13.
4
The Bilateral Bidirectional Glenn Operation as a Risk Factor Prior to Fontan Completion in Complex Congenital Heart Disease Patients.双侧双向格林手术作为复杂先天性心脏病患者在完成Fontan手术前的一个危险因素。
World J Pediatr Congenit Heart Surg. 2019 Mar;10(2):174-181. doi: 10.1177/2150135118819997.
5
Heart rate variability in patients undergoing univentricular heart repair.接受单心室心脏修复手术患者的心率变异性
Asian Cardiovasc Thorac Ann. 2014 May;22(4):402-8. doi: 10.1177/0218492313488372. Epub 2013 Oct 11.
6
Upper body central venous catheters in pediatric cardiac surgery.小儿心脏手术中的上肢中心静脉导管
Paediatr Anaesth. 2013 Nov;23(11):980-8. doi: 10.1111/pan.12261. Epub 2013 Sep 19.
7
Fontan modification for subsequent non-surgical Fontan completion.用于后续非手术性Fontan手术完成的Fontan改良术。
Eur J Cardiothorac Surg. 1998 May;13(5):509-12; discussion 512-3. doi: 10.1016/s1010-7940(98)00050-5.
8
Evolution of the Fontan-Kreutzer procedure.方坦-克罗伊策手术的演变
Semin Thorac Cardiovasc Surg Pediatr Card Surg Annu. 2010;13(1):91-5. doi: 10.1053/j.pcsu.2010.01.006.
9
Current outcomes of the bi-directional cavopulmonary anastomosis in single ventricle patients: analysis of risk factors for morbidity and mortality, and suitability for Fontan completion.单心室患者双向腔肺吻合术的当前疗效:发病率和死亡率的危险因素分析以及Fontan手术完成的适宜性
Cardiol Young. 2016 Feb;26(2):288-97. doi: 10.1017/S1047951115000153. Epub 2015 Feb 23.
10
Physiological rationale for a bidirectional cavopulmonary shunt. A versatile complement to the Fontan principle.双向腔肺分流的生理学原理。对Fontan原则的一种通用补充。
J Thorac Cardiovasc Surg. 1985 Sep;90(3):391-8.

本文引用的文献

1
Circulatory by-pass of the right heart. I. Preliminary observations on the direct delivery of vena caval blood into the pulmonary arterial circulation; azygos vein-pulmonary artery shunt.右心循环旁路。I. 关于腔静脉血直接注入肺动脉循环的初步观察;奇静脉-肺动脉分流术。
Yale J Biol Med. 1954 Dec;27(3):147-51.
2
The mechanism of formation of pulmonary arteriovenous malformations associated with the classic Glenn shunt (superior cavopulmonary anastomosis).与经典格林分流术(上腔静脉-肺动脉吻合术)相关的肺动静脉畸形的形成机制。
Heart. 2002 Dec;88(6):639. doi: 10.1136/heart.88.6.639.
3
Total cavopulmonary shunt operation in complex cardiac anomalies. A new operation.
复杂心脏畸形的全腔肺分流手术。一种新手术。
J Thorac Cardiovasc Surg. 1984 Jan;87(1):74-81.
4
Surgical repair of tricuspid atresia.三尖瓣闭锁的外科修复术。
Thorax. 1971 May;26(3):240-8. doi: 10.1136/thx.26.3.240.
5
Total cavopulmonary connection: a logical alternative to atriopulmonary connection for complex Fontan operations. Experimental studies and early clinical experience.全腔静脉-肺动脉连接术:复杂Fontan手术中肺动静脉连接术的合理替代方案。实验研究与早期临床经验。
J Thorac Cardiovasc Surg. 1988 Nov;96(5):682-95.