Inoue Yoshiyuki, Lefor Alan T, Yasuda Yoshikazu
Department of Surgery, Jichi Medical University, Shimotsuke, Japan.
Case Rep Gastroenterol. 2012 Jan;6(1):1-4. doi: 10.1159/000335883. Epub 2012 Jan 4.
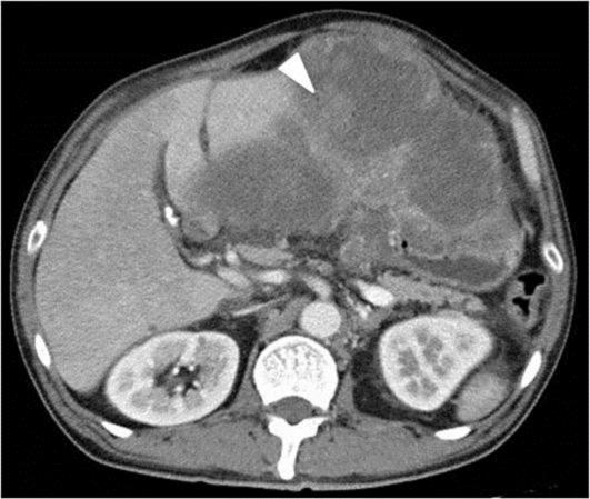
A 61-year-old Japanese male was seen at an outside hospital with abdominal pain and distention. An intraabdominal mass was found on abdominal computed tomography (CT), and he was referred for further evaluation. He was afebrile, with mild tenderness in the upper abdomen and massive distention. Routine blood work showed severe inflammation and anemia. Repeat CT showed a large solitary heterogeneous mass, 25 cm in diameter, in the left upper quadrant with evidence of intratumoral bleeding and irregular enhancement peripherally. There was no clear distinction between the mass and the peripheral organs. Surgery was performed with persistent anemia and exacerbation of abdominal pain. Lateral segmentectomy, total gastrectomy, cholecystectomy and partial resection of the diaphragm and parietal peritoneum were performed. The final diagnosis was cholangiocarcinoma with sarcomatous changes. On the 16th postoperative day a CT scan revealed recurrent tumor. The patient died on the 34th postoperative day from rapid tumor progression.
一名61岁的日本男性因腹痛和腹胀在外院就诊。腹部计算机断层扫描(CT)发现腹内肿块,遂转诊作进一步评估。他无发热,上腹部有轻度压痛及明显腹胀。常规血液检查显示有严重炎症和贫血。复查CT显示左上腹有一个直径25厘米的巨大孤立性不均匀肿块,有瘤内出血迹象,周边强化不规则。肿块与周围器官分界不清。在贫血持续且腹痛加剧的情况下进行了手术。实施了左外叶切除术、全胃切除术、胆囊切除术以及膈肌和壁腹膜部分切除术。最终诊断为伴有肉瘤样变的胆管癌。术后第16天CT扫描显示肿瘤复发。患者于术后第34天因肿瘤迅速进展死亡。