Suppr超能文献

亨廷顿病的一种致病机制涉及具有神经毒性活性的小 CAG 重复 RNA。

A pathogenic mechanism in Huntington's disease involves small CAG-repeated RNAs with neurotoxic activity.

机构信息

Genes and Disease Programme, Centre for Genomic Regulation and Universitat Pompeu Fabra, Barcelona, Catalonia, Spain.

出版信息

PLoS Genet. 2012;8(2):e1002481. doi: 10.1371/journal.pgen.1002481. Epub 2012 Feb 23.

Abstract

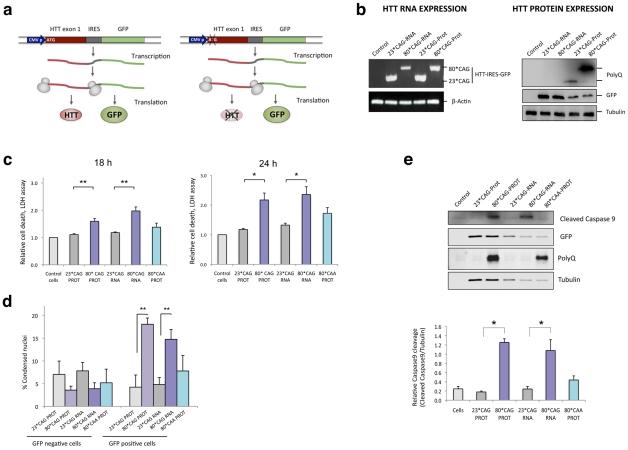
Huntington's disease (HD) is an autosomal dominantly inherited disorder caused by the expansion of CAG repeats in the Huntingtin (HTT) gene. The abnormally extended polyglutamine in the HTT protein encoded by the CAG repeats has toxic effects. Here, we provide evidence to support that the mutant HTT CAG repeats interfere with cell viability at the RNA level. In human neuronal cells, expanded HTT exon-1 mRNA with CAG repeat lengths above the threshold for complete penetrance (40 or greater) induced cell death and increased levels of small CAG-repeated RNAs (sCAGs), of ≈21 nucleotides in a Dicer-dependent manner. The severity of the toxic effect of HTT mRNA and sCAG generation correlated with CAG expansion length. Small RNAs obtained from cells expressing mutant HTT and from HD human brains significantly decreased neuronal viability, in an Ago2-dependent mechanism. In both cases, the use of anti-miRs specific for sCAGs efficiently blocked the toxic effect, supporting a key role of sCAGs in HTT-mediated toxicity. Luciferase-reporter assays showed that expanded HTT silences the expression of CTG-containing genes that are down-regulated in HD. These results suggest a possible link between HD and sCAG expression with an aberrant activation of the siRNA/miRNA gene silencing machinery, which may trigger a detrimental response. The identification of the specific cellular processes affected by sCAGs may provide insights into the pathogenic mechanisms underlying HD, offering opportunities to develop new therapeutic approaches.

摘要

亨廷顿病 (HD) 是一种常染色体显性遗传疾病,由亨廷顿 (HTT) 基因中 CAG 重复扩展引起。由 CAG 重复编码的 HTT 蛋白中异常延长的多聚谷氨酰胺具有毒性作用。在这里,我们提供证据支持突变 HTT CAG 重复通过 RNA 水平干扰细胞活力。在人类神经元细胞中,具有超过完全外显率(40 或更大)阈值的 CAG 重复长度的扩展 HTT 外显子 1 mRNA 诱导细胞死亡并增加小 CAG 重复 RNA(sCAG)的水平,以 Dicer 依赖性方式约为 21 个核苷酸。HTT mRNA 的毒性作用和 sCAG 生成的严重程度与 CAG 扩展长度相关。从表达突变 HTT 的细胞和 HD 人脑获得的小 RNA 显著降低神经元活力,这是一种 Ago2 依赖性机制。在这两种情况下,针对 sCAG 的抗-miR 有效阻断了毒性作用,支持 sCAG 在 HTT 介导的毒性中的关键作用。荧光素酶报告基因检测表明,扩展的 HTT 沉默了在 HD 中下调的含有 CTG 的基因的表达。这些结果表明 HD 与 sCAG 表达之间可能存在联系,以及 siRNA/miRNA 基因沉默机制的异常激活,这可能引发有害反应。确定受 sCAG 影响的特定细胞过程可能为 HD 的发病机制提供深入了解,并为开发新的治疗方法提供机会。

https://cdn.ncbi.nlm.nih.gov/pmc/blobs/6cc7/3285580/ff6c1fdc0866/pgen.1002481.g001.jpg

文献AI研究员

20分钟写一篇综述,助力文献阅读效率提升50倍。

立即体验

用中文搜PubMed

大模型驱动的PubMed中文搜索引擎

马上搜索

文档翻译

学术文献翻译模型,支持多种主流文档格式。

立即体验