Suppr超能文献

有丝分裂进入和膜生长之间的联系表明了一种新的细胞大小控制模型。

A link between mitotic entry and membrane growth suggests a novel model for cell size control.

机构信息

Department of Molecular, Cell, and Developmental Biology, University of California, Santa Cruz, Santa Cruz, CA 95064, USA.

出版信息

J Cell Biol. 2012 Apr 2;197(1):89-104. doi: 10.1083/jcb.201108108. Epub 2012 Mar 26.

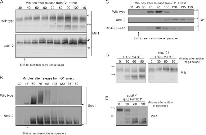
Abstract

Addition of new membrane to the cell surface by membrane trafficking is necessary for cell growth. In this paper, we report that blocking membrane traffic causes a mitotic checkpoint arrest via Wee1-dependent inhibitory phosphorylation of Cdk1. Checkpoint signals are relayed by the Rho1 GTPase, protein kinase C (Pkc1), and a specific form of protein phosphatase 2A (PP2A(Cdc55)). Signaling via this pathway is dependent on membrane traffic and appears to increase gradually during polar bud growth. We hypothesize that delivery of vesicles to the site of bud growth generates a signal that is proportional to the extent of polarized membrane growth and that the strength of the signal is read by downstream components to determine when sufficient growth has occurred for initiation of mitosis. Growth-dependent signaling could explain how membrane growth is integrated with cell cycle progression. It could also control both cell size and morphogenesis, thereby reconciling divergent models for mitotic checkpoint function.

摘要

通过膜运输向细胞表面添加新的膜对于细胞生长是必要的。在本文中,我们报告阻断膜运输通过 Wee1 依赖性抑制 Cdk1 的磷酸化导致有丝分裂检验点阻滞。检验点信号通过 Rho1 GTP 酶、蛋白激酶 C(Pkc1)和特定形式的蛋白磷酸酶 2A(PP2A(Cdc55))传递。该途径的信号转导依赖于膜运输,并且似乎在极性芽生长过程中逐渐增加。我们假设向芽生长部位输送囊泡会产生一个与极化膜生长程度成比例的信号,并且信号的强度由下游成分读取以确定何时发生足够的生长以开始有丝分裂。生长依赖性信号可以解释膜生长如何与细胞周期进程整合。它还可以控制细胞大小和形态发生,从而协调有丝分裂检验点功能的不同模型。

https://cdn.ncbi.nlm.nih.gov/pmc/blobs/7955/3317797/2d6de7e83223/JCB_201108108_Fig1.jpg

文献检索

告别复杂PubMed语法,用中文像聊天一样搜索,搜遍4000万医学文献。AI智能推荐,让科研检索更轻松。

立即免费搜索

文件翻译

保留排版,准确专业,支持PDF/Word/PPT等文件格式,支持 12+语言互译。

免费翻译文档

深度研究

AI帮你快速写综述,25分钟生成高质量综述,智能提取关键信息,辅助科研写作。

立即免费体验