• 文献检索
  • 文档翻译
  • 深度研究
  • 学术资讯
  • Suppr Zotero 插件Zotero 插件
  • 邀请有礼
  • 套餐&价格
  • 历史记录
应用&插件
Suppr Zotero 插件Zotero 插件浏览器插件Mac 客户端Windows 客户端微信小程序
定价
高级版会员购买积分包购买API积分包
服务
文献检索文档翻译深度研究API 文档MCP 服务
关于我们
关于 Suppr公司介绍联系我们用户协议隐私条款
关注我们

Suppr 超能文献

核心技术专利:CN118964589B侵权必究
粤ICP备2023148730 号-1Suppr @ 2026

文献检索

告别复杂PubMed语法,用中文像聊天一样搜索,搜遍4000万医学文献。AI智能推荐,让科研检索更轻松。

立即免费搜索

文件翻译

保留排版,准确专业,支持PDF/Word/PPT等文件格式,支持 12+语言互译。

免费翻译文档

深度研究

AI帮你快速写综述,25分钟生成高质量综述,智能提取关键信息,辅助科研写作。

立即免费体验

一名42岁非裔美国女性先后发生血栓性血小板减少性紫癜、原发性血小板增多症和特发性血小板减少性紫癜:病例报告及文献复习

Sequential occurrence of thrombotic thrombocytopenic purpura, essential thrombocythemia, and idiopathic thrombocytopenic purpura in a 42-year-old African-American woman: a case report and review of the literature.

作者信息

Farhat Mirna H, Kuriakose Philip, Jawad Michael, Hanbali Amr

机构信息

Hematology/Oncology, Henry Ford Hospital, 2799 West Grand Boulevard, Detroit, MI 48202, USA.

出版信息

J Med Case Rep. 2012 Apr 3;6:93. doi: 10.1186/1752-1947-6-93.

DOI:10.1186/1752-1947-6-93
PMID:22472269
原文链接:https://pmc.ncbi.nlm.nih.gov/articles/PMC3341186/
Abstract

INTRODUCTION

Thrombotic thrombocytopenic purpura and idiopathic thrombocytopenic purpura are two well recognized syndromes that are characterized by low platelet counts. In contrast, essential thrombocythemia is a myeloproliferative disease characterized by abnormally high platelet numbers.The coexistence of thrombotic thrombocytopenic purpura and idiopathic thrombocytopenic purpura in a single patient has been reported in the literature on a few occasions. However, having essential thrombocythemia complicating the picture has never been reported before.

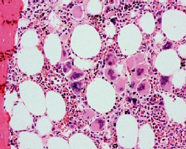
CASE PRESENTATION

We present a case where thrombotic thrombocytopenic purpura, essential thrombocythemia, and idiopathic thrombocytopenic purpura were diagnosed in a 42-year-old African-American woman in the space of a few years; we are reporting this case with the aim of drawing attention to this undocumented occurrence, which remains under investigation.

CONCLUSIONS

As the three conditions have different natural histories and require different treatment modalities, it is important to recognize that these diseases may be seen sequentially. This case emphasizes the importance of reviewing peripheral blood smears for evaluation of thrombocytopenia and bone marrow aspirations for diagnosis of thrombocythemia in order to reach an accurate diagnosis and tailor therapy accordingly. Moreover, this case demonstrates the variability and complexity of platelet disorders. This occurrence of three different types of platelet disorders in one patient remains a pure observation on our part; regardless, this does raise the possibility of a common underlying, as yet undiscovered, pathophysiology that could explain the phenomenon.

摘要

引言

血栓性血小板减少性紫癜和特发性血小板减少性紫癜是两种公认的以血小板计数低为特征的综合征。相比之下,原发性血小板增多症是一种骨髓增殖性疾病,其特征是血小板数量异常高。文献中曾有少数几次报道过一名患者同时存在血栓性血小板减少性紫癜和特发性血小板减少性紫癜。然而,原发性血小板增多症使病情复杂化的情况此前从未有过报道。

病例介绍

我们报告一例42岁非裔美国女性在几年内先后被诊断出患有血栓性血小板减少性紫癜、原发性血小板增多症和特发性血小板减少性紫癜的病例;我们报告此病例的目的是引起对这种未被记录的情况的关注,目前该情况仍在调查中。

结论

由于这三种病症有不同的自然病程且需要不同的治疗方式,认识到这些疾病可能会相继出现很重要。该病例强调了复查外周血涂片以评估血小板减少症以及进行骨髓穿刺以诊断血小板增多症对于做出准确诊断并据此制定治疗方案的重要性。此外,该病例展示了血小板疾病的多样性和复杂性。一名患者出现三种不同类型的血小板疾病,这在我们看来仍是单纯的观察结果;尽管如此,这确实增加了存在一种共同的、尚未被发现的病理生理学机制来解释这一现象的可能性。

https://cdn.ncbi.nlm.nih.gov/pmc/blobs/3f7e/3341186/f2be367fc297/1752-1947-6-93-1.jpg
https://cdn.ncbi.nlm.nih.gov/pmc/blobs/3f7e/3341186/f2be367fc297/1752-1947-6-93-1.jpg
https://cdn.ncbi.nlm.nih.gov/pmc/blobs/3f7e/3341186/f2be367fc297/1752-1947-6-93-1.jpg

相似文献

1
Sequential occurrence of thrombotic thrombocytopenic purpura, essential thrombocythemia, and idiopathic thrombocytopenic purpura in a 42-year-old African-American woman: a case report and review of the literature.一名42岁非裔美国女性先后发生血栓性血小板减少性紫癜、原发性血小板增多症和特发性血小板减少性紫癜:病例报告及文献复习
J Med Case Rep. 2012 Apr 3;6:93. doi: 10.1186/1752-1947-6-93.
2
Thrombotic thrombocytopenic purpura in a patient on long-term alpha-interferon therapy for essential thrombocythemia: a case report.长期接受α-干扰素治疗原发性血小板增多症的患者发生血栓性血小板减少性紫癜:病例报告。
BMC Nephrol. 2023 May 23;24(1):143. doi: 10.1186/s12882-023-03200-7.
3
Post-Partum Thrombotic Thrombocytopenic Purpura (TTP) in a Patient with known Idiopathic (Immune) Thrombocytopenic Purpura: a case report and review of the literature.一名已知患有特发性(免疫性)血小板减少性紫癜的患者发生产后血栓性血小板减少性紫癜:病例报告及文献综述
J Med Case Rep. 2018 Jun 1;12(1):147. doi: 10.1186/s13256-018-1692-1.
4
Management of Essential Thrombocythemia in a Patient With a History of Thrombotic Thrombocytopenic Purpura.有血栓性血小板减少性紫癜病史患者的原发性血小板增多症管理
Cureus. 2024 Apr 6;16(4):e57716. doi: 10.7759/cureus.57716. eCollection 2024 Apr.
5
Thrombotic thrombocytopenic purpura in a previously splenectomized patient.
Am J Med. 1976 Jun;60(7):1061-3. doi: 10.1016/0002-9343(76)90581-7.
6
Graves disease-induced thrombotic thrombocytopenic purpura: a case report.格雷夫斯病诱发的血栓性血小板减少性紫癜:一例报告
J Med Case Rep. 2019 Dec 13;13(1):377. doi: 10.1186/s13256-019-2307-1.
7
Inherited thrombotic thrombocytopenic purpura mimicking immune thrombocytopenic purpura during pregnancy: a case report.孕期表现为免疫性血小板减少性紫癜的遗传性血栓性血小板减少性紫癜:一例报告
J Med Case Rep. 2018 Jan 22;12(1):15. doi: 10.1186/s13256-017-1545-3.
8
Two patients with heparin-induced thrombocytopenia followed by idiopathic (immune) thrombocytopenic purpura: case report.
Am J Hematol. 2003 Aug;73(4):290-3. doi: 10.1002/ajh.10368.
9
Acquired Thrombotic Thrombocytopenic Purpura Without Anti-ADAMTS13 Antibody Caused by Influenza A (H1N1) Virus Successfully Treated by Plasma Exchange: A Case Report.获得性血栓性血小板减少性紫癜无抗 ADAMTS13 抗体由甲型流感病毒 (H1N1) 成功治疗血浆置换:一例报告。
Am J Case Rep. 2021 Aug 2;22:e932251. doi: 10.12659/AJCR.932251.
10
Thrombotic thrombocytopenic purpura in autoimmune hepatitis.自身免疫性肝炎中的血栓性血小板减少性紫癜
J Gastroenterol. 2001 Aug;36(8):569-73. doi: 10.1007/s005350170062.

引用本文的文献

1
Management of Essential Thrombocythemia in a Patient With a History of Thrombotic Thrombocytopenic Purpura.有血栓性血小板减少性紫癜病史患者的原发性血小板增多症管理
Cureus. 2024 Apr 6;16(4):e57716. doi: 10.7759/cureus.57716. eCollection 2024 Apr.
2
Thrombotic thrombocytopenic purpura in a patient on long-term alpha-interferon therapy for essential thrombocythemia: a case report.长期接受α-干扰素治疗原发性血小板增多症的患者发生血栓性血小板减少性紫癜:病例报告。
BMC Nephrol. 2023 May 23;24(1):143. doi: 10.1186/s12882-023-03200-7.
3
Concurrence of immune thrombocytopenic purpura and thrombotic thrombocytopenic purpura: a case report and review of the literature.

本文引用的文献

1
Thrombocytopenic conditions-autoimmunity and hypercoagulability: commonalities and differences in ITP, TTP, HIT, and APS.血小板减少症——自身免疫与高凝状态:免疫性血小板减少症、血栓性血小板减少性紫癜、肝素诱导的血小板减少症及抗磷脂综合征的共性与差异
Am J Hematol. 2005 Nov;80(3):232-42. doi: 10.1002/ajh.20408.
2
Activating mutation in the tyrosine kinase JAK2 in polycythemia vera, essential thrombocythemia, and myeloid metaplasia with myelofibrosis.真性红细胞增多症、原发性血小板增多症和伴有骨髓纤维化的骨髓化生中酪氨酸激酶JAK2的激活突变。
Cancer Cell. 2005 Apr;7(4):387-97. doi: 10.1016/j.ccr.2005.03.023.
3
von Willebrand factor, ADAMTS-13, and thrombotic thrombocytopenic purpura.
免疫性血小板减少性紫癜与血栓性血小板减少性紫癜并存:病例报告及文献复习。
J Med Case Rep. 2023 Feb 8;17(1):38. doi: 10.1186/s13256-023-03762-y.
4
Sequential Immune Thrombocytopenia (ITP) and Thrombotic Thrombocytopenic Purpura (TTP) in an Elderly Male Patient with Primary Sjogren's Syndrome: When in Doubt, Use the PLASMIC Score.一名患有原发性干燥综合征的老年男性患者先后出现免疫性血小板减少症(ITP)和血栓性血小板减少性紫癜(TTP):存疑时,使用PLASMIC评分。
Case Rep Med. 2021 Nov 30;2021:6869342. doi: 10.1155/2021/6869342. eCollection 2021.
5
Primary Immune Thrombocytopenia and Essential Thrombocythemia: So Different and yet Somehow Similar-Cases Series and a Review of the Literature.原发性免疫性血小板减少症和特发性血小板增多症:如此不同,却又如此相似——病例系列和文献复习。
Int J Mol Sci. 2021 Oct 9;22(20):10918. doi: 10.3390/ijms222010918.
6
Occurrence of immune thrombocytopenic purpura in a patient with essential thrombocythemia: How the immune system can overcome a neoplastic clone.原发性血小板增多症患者发生免疫性血小板减少性紫癜:免疫系统如何战胜肿瘤克隆。
Clin Case Rep. 2020 Jul 17;8(11):2132-2134. doi: 10.1002/ccr3.3121. eCollection 2020 Nov.
7
Essential thrombocytemia following immune thrombocytopenia with JAK2V617F mutation.伴有JAK2V617F突变的免疫性血小板减少症后出现的原发性血小板增多症。
Leuk Res Rep. 2017 Dec 27;9:14-15. doi: 10.1016/j.lrr.2017.12.002. eCollection 2018.
8
Immune Thrombocytopenia and JAK2V617F Positive Essential Thrombocythemia: Literature Review and Case Report.免疫性血小板减少症与JAK2V617F阳性原发性血小板增多症:文献综述与病例报告
Case Rep Hematol. 2017;2017:3725089. doi: 10.1155/2017/3725089. Epub 2017 Jul 20.
血管性血友病因子、含血小板解聚蛋白基序的金属蛋白酶13与血栓性血小板减少性紫癜
Semin Hematol. 2004 Jan;41(1):4-14. doi: 10.1053/j.seminhematol.2003.10.003.
4
Thrombotic thrombocytopenic purpura and human immunodeficiency virus complicating pregnancy.血栓性血小板减少性紫癜与人类免疫缺陷病毒合并妊娠
Obstet Gynecol. 2002 Nov;100(5 Pt 2):1133-6. doi: 10.1016/s0029-7844(02)02232-9.
5
Immune thrombocytopenic purpura.免疫性血小板减少性紫癜
N Engl J Med. 2002 Mar 28;346(13):995-1008. doi: 10.1056/NEJMra010501.
6
Four patients with both thrombotic thrombocytopenic purpura and autoimmune thrombocytopenic purpura: the concept of a mixed immune thrombocytopenia syndrome and indications for plasma exchange.4例同时患有血栓性血小板减少性紫癜和自身免疫性血小板减少性紫癜的患者:混合性免疫性血小板减少综合征的概念及血浆置换的指征
J Clin Apher. 2001;16(4):179-85. doi: 10.1002/jca.1031.
7
Acquired deficiency of von Willebrand factor-cleaving protease in a patient with thrombotic thrombocytopenic purpura.一名血栓性血小板减少性紫癜患者获得性血管性血友病因子裂解蛋白酶缺乏症
Blood. 1998 Apr 15;91(8):2839-46.
8
Deficient activity of von Willebrand factor-cleaving protease in chronic relapsing thrombotic thrombocytopenic purpura.慢性复发性血栓性血小板减少性紫癜中血管性血友病因子裂解蛋白酶活性缺乏
Blood. 1997 May 1;89(9):3097-103.
9
Concurrent thrombotic thrombocytopenic purpura and immune thrombocytopenic purpura in an HIV-positive patient: case report and review of the literature.一名HIV阳性患者并发血栓性血小板减少性紫癜和免疫性血小板减少性紫癜:病例报告及文献复习
Am J Hematol. 1996 Jan;51(1):73-8. doi: 10.1002/(SICI)1096-8652(199601)51:1<73::AID-AJH12>3.0.CO;2-C.
10
Postpartum thrombotic thrombocytopenic purpura (TTP) complicating pregnancy-associated immune thrombocytopenic purpura (ITP).产后血栓性血小板减少性紫癜(TTP)并发妊娠相关性免疫性血小板减少性紫癜(ITP)。
Ann Intern Med. 1994 May 15;120(10):845-7. doi: 10.7326/0003-4819-120-10-199405150-00005.