• 文献检索
  • 文档翻译
  • 深度研究
  • 学术资讯
  • Suppr Zotero 插件Zotero 插件
  • 邀请有礼
  • 套餐&价格
  • 历史记录
应用&插件
Suppr Zotero 插件Zotero 插件浏览器插件Mac 客户端Windows 客户端微信小程序
定价
高级版会员购买积分包购买API积分包
服务
文献检索文档翻译深度研究API 文档MCP 服务
关于我们
关于 Suppr公司介绍联系我们用户协议隐私条款
关注我们

Suppr 超能文献

核心技术专利:CN118964589B侵权必究
粤ICP备2023148730 号-1Suppr @ 2026

文献检索

告别复杂PubMed语法,用中文像聊天一样搜索,搜遍4000万医学文献。AI智能推荐,让科研检索更轻松。

立即免费搜索

文件翻译

保留排版,准确专业,支持PDF/Word/PPT等文件格式,支持 12+语言互译。

免费翻译文档

深度研究

AI帮你快速写综述,25分钟生成高质量综述,智能提取关键信息,辅助科研写作。

立即免费体验

在喂食果糖的载脂蛋白E基因敲除(ApoE-KO)小鼠中,胰岛素抵抗通过增加促炎蛋白和氧化应激来促进早期动脉粥样硬化。

Insulin resistance promotes early atherosclerosis via increased proinflammatory proteins and oxidative stress in fructose-fed ApoE-KO mice.

作者信息

Cannizzo Beatriz, Luján Agustín, Estrella Natalia, Lembo Carina, Cruzado Montserrat, Castro Claudia

机构信息

Laboratory of Vascular Biology, Institute of Medicine and Experimental Biology of Cuyo (IMBECU)-CONICET, Faculty of Medical Sciences, National University of Cuyo, 5500 Mendoza, Argentina.

出版信息

Exp Diabetes Res. 2012;2012:941304. doi: 10.1155/2012/941304. Epub 2012 Mar 7.

DOI:10.1155/2012/941304
PMID:22474431
原文链接:https://pmc.ncbi.nlm.nih.gov/articles/PMC3310147/
Abstract

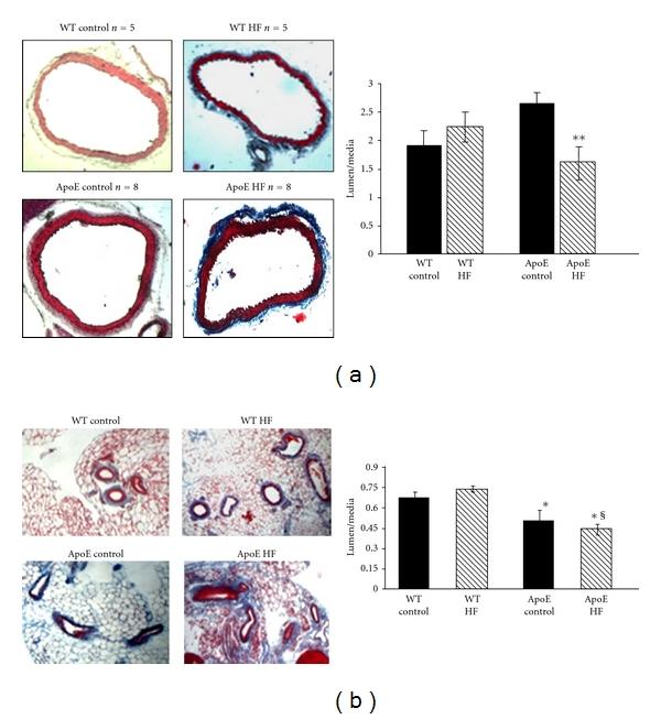
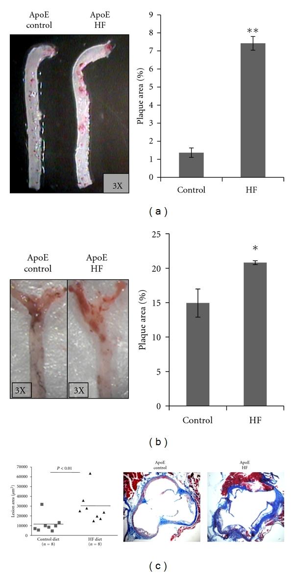
High fructose intake induces an insulin resistance state associated with metabolic syndrome (MS). The effect of vascular inflammation in this model is not completely addressed. The aim of this study was to evaluate vascular remodeling, inflammatory and oxidative stress markers, and atheroma development in high-fructose diet-induced insulin resistance of ApoE-deficient mice (ApoE-KO). Mice were fed with either a normal chow or a 10% w/v fructose (HF) in drinking water over a period of 8 weeks. Thereafter, plasma metabolic parameters, vascular remodeling, atheroma lesion size, inflammatory markers, and NAD(P)H oxidase activity in the arteries were determined. HF diet induced a marked increase in plasma glucose, insulin, and triglycerides in ApoE-KO mice, provoked vascular remodeling, enhanced expression of vascular cell-adhesion molecule-1 (VCAM-1) and matrix metalloprotease 9 (MMP-9) and enlarged atherosclerotic lesion in aortic and carotid arteries. NAD(P)H oxidase activity was enhanced by fructose intake, and this effect was attenuated by tempol, a superoxide dismutase mimetic, and losartan, an Angiotensin II receptor antagonist. Our study results show that high-fructose-induced insulin resistance promotes a proinflammatory and prooxidant state which accelerates atherosclerotic plaque formation in ApoE-KO mice.

摘要

高果糖摄入会引发与代谢综合征(MS)相关的胰岛素抵抗状态。在该模型中血管炎症的影响尚未得到充分研究。本研究的目的是评估高果糖饮食诱导的载脂蛋白E缺陷小鼠(ApoE-KO)胰岛素抵抗中的血管重塑、炎症和氧化应激标志物以及动脉粥样硬化的发展情况。将小鼠分为两组,一组喂食正常饲料,另一组在8周内饮用含10% w/v果糖(HF)的水。之后,测定血浆代谢参数、血管重塑、动脉粥样硬化病变大小、炎症标志物以及动脉中的NAD(P)H氧化酶活性。高果糖饮食导致ApoE-KO小鼠的血浆葡萄糖、胰岛素和甘油三酯显著升高,引发血管重塑,增强血管细胞黏附分子-1(VCAM-1)和基质金属蛋白酶9(MMP-9)的表达,并使主动脉和颈动脉中的动脉粥样硬化病变增大。果糖摄入增强了NAD(P)H氧化酶活性,而超氧化物歧化酶模拟物tempol和血管紧张素II受体拮抗剂氯沙坦可减弱这种作用。我们的研究结果表明,高果糖诱导的胰岛素抵抗促进了促炎和促氧化状态,加速了ApoE-KO小鼠动脉粥样硬化斑块的形成。

https://cdn.ncbi.nlm.nih.gov/pmc/blobs/181b/3310147/f252053a8d84/EDR2012-941304.005.jpg
https://cdn.ncbi.nlm.nih.gov/pmc/blobs/181b/3310147/25016e2bb74c/EDR2012-941304.001.jpg
https://cdn.ncbi.nlm.nih.gov/pmc/blobs/181b/3310147/d3eda816363b/EDR2012-941304.002.jpg
https://cdn.ncbi.nlm.nih.gov/pmc/blobs/181b/3310147/540def13745d/EDR2012-941304.003.jpg
https://cdn.ncbi.nlm.nih.gov/pmc/blobs/181b/3310147/f62948c28976/EDR2012-941304.004.jpg
https://cdn.ncbi.nlm.nih.gov/pmc/blobs/181b/3310147/f252053a8d84/EDR2012-941304.005.jpg
https://cdn.ncbi.nlm.nih.gov/pmc/blobs/181b/3310147/25016e2bb74c/EDR2012-941304.001.jpg
https://cdn.ncbi.nlm.nih.gov/pmc/blobs/181b/3310147/d3eda816363b/EDR2012-941304.002.jpg
https://cdn.ncbi.nlm.nih.gov/pmc/blobs/181b/3310147/540def13745d/EDR2012-941304.003.jpg
https://cdn.ncbi.nlm.nih.gov/pmc/blobs/181b/3310147/f62948c28976/EDR2012-941304.004.jpg
https://cdn.ncbi.nlm.nih.gov/pmc/blobs/181b/3310147/f252053a8d84/EDR2012-941304.005.jpg

相似文献

1
Insulin resistance promotes early atherosclerosis via increased proinflammatory proteins and oxidative stress in fructose-fed ApoE-KO mice.在喂食果糖的载脂蛋白E基因敲除(ApoE-KO)小鼠中,胰岛素抵抗通过增加促炎蛋白和氧化应激来促进早期动脉粥样硬化。
Exp Diabetes Res. 2012;2012:941304. doi: 10.1155/2012/941304. Epub 2012 Mar 7.
2
Vascular dysfunction elicited by a cross talk between periaortic adipose tissue and the vascular wall is reversed by pioglitazone.血管壁与主动脉周围脂肪组织之间的串扰引起的血管功能障碍可被吡格列酮逆转。
Cardiovasc Ther. 2018 Jun;36(3):e12322. doi: 10.1111/1755-5922.12322. Epub 2018 Mar 7.
3
The long-term effect of angiotensin II type 1a receptor deficiency on hypercholesterolemia-induced atherosclerosis.1a型血管紧张素II受体缺乏对高胆固醇血症诱导的动脉粥样硬化的长期影响。
Hypertens Res. 2008 Aug;31(8):1631-42. doi: 10.1291/hypres.31.1631.
4
Vascular Angiotensin type 1 receptor expression is associated with vascular dysfunction, oxidative stress and inflammation in fructose-fed rats.血管紧张素1型受体在喂食果糖的大鼠中的表达与血管功能障碍、氧化应激和炎症相关。
Hypertens Res. 2007 May;30(5):451-7. doi: 10.1291/hypres.30.451.
5
Tempol attenuates atherosclerosis associated with metabolic syndrome via decreased vascular inflammation and NADPH-2 oxidase expression.Tempol通过减轻血管炎症和降低NADPH-2氧化酶表达来减轻与代谢综合征相关的动脉粥样硬化。
Free Radic Res. 2014 May;48(5):526-33. doi: 10.3109/10715762.2014.889295. Epub 2014 Mar 3.
6
Protective effect of betulinic acid on early atherosclerosis in diabetic apolipoprotein-E gene knockout mice.桦木酸对糖尿病载脂蛋白E基因敲除小鼠早期动脉粥样硬化的保护作用。
Eur J Pharmacol. 2017 Feb 5;796:224-232. doi: 10.1016/j.ejphar.2016.11.044. Epub 2016 Nov 26.
7
Regression of atherosclerosis by amlodipine via anti-inflammatory and anti-oxidative stress actions.氨氯地平通过抗炎和抗氧化应激作用使动脉粥样硬化消退。
Hypertens Res. 2006 Jun;29(6):457-66. doi: 10.1291/hypres.29.457.
8
IGF-1 reduces inflammatory responses, suppresses oxidative stress, and decreases atherosclerosis progression in ApoE-deficient mice.胰岛素样生长因子-1可减轻载脂蛋白E缺陷小鼠的炎症反应,抑制氧化应激,并减缓动脉粥样硬化进程。
Arterioscler Thromb Vasc Biol. 2007 Dec;27(12):2684-90. doi: 10.1161/ATVBAHA.107.156257. Epub 2007 Oct 4.
9
Targeted overexpression of the human urotensin receptor transgene in smooth muscle cells: effect of UT antagonism in ApoE knockout mice fed with Western diet.人尿紧张素受体转基因在平滑肌细胞中的靶向过表达:UT拮抗对喂食西式饮食的载脂蛋白E基因敲除小鼠的影响。
Atherosclerosis. 2009 Jun;204(2):395-404. doi: 10.1016/j.atherosclerosis.2008.10.044. Epub 2008 Nov 21.
10
Deletion of tenascin-C gene exacerbates atherosclerosis and induces intraplaque hemorrhage in Apo-E-deficient mice.Tenascin-C 基因缺失可加重载脂蛋白 E 缺陷小鼠的动脉粥样硬化并诱导斑块内出血。
Cardiovasc Pathol. 2012 Sep-Oct;21(5):398-413. doi: 10.1016/j.carpath.2011.12.005. Epub 2012 Feb 1.

引用本文的文献

1
The Intersection of Genetic Factors, Aberrant Nutrient Metabolism and Oxidative Stress in the Progression of Cardiometabolic Disease.遗传因素、异常营养代谢与氧化应激在心脏代谢疾病进展中的交集
Antioxidants (Basel). 2024 Jan 10;13(1):87. doi: 10.3390/antiox13010087.
2
Association between iron status and incident coronary artery disease: a population based-cohort study.铁状态与冠心病事件的相关性:一项基于人群的队列研究。
Sci Rep. 2022 Oct 19;12(1):17490. doi: 10.1038/s41598-022-22275-0.
3
Treatments targeting autophagy ameliorate the age-related macular degeneration phenotype in mice lacking APOE (apolipoprotein E).

本文引用的文献

1
Metalloproteinases in metabolic syndrome.代谢综合征中的金属蛋白酶。
Clin Chim Acta. 2011 Sep 18;412(19-20):1731-9. doi: 10.1016/j.cca.2011.06.013. Epub 2011 Jun 17.
2
MMP-2 and MMP-9 are prominent matrix metalloproteinases during atherosclerosis development in the Ldlr(-/-)Apob(100/100) mouse.MMP-2 和 MMP-9 是 LDLR(-/-)Apob(100/100) 小鼠动脉粥样硬化发展过程中的主要基质金属蛋白酶。
Int J Mol Med. 2011 Aug;28(2):247-53. doi: 10.3892/ijmm.2011.693. Epub 2011 May 6.
3
Heterogeneity of atherosclerosis in mesenteric arteries and outgrowth remodeling.
针对自噬的治疗方法改善了缺乏 APOE(载脂蛋白 E)的小鼠的年龄相关性黄斑变性表型。
Autophagy. 2022 Oct;18(10):2368-2384. doi: 10.1080/15548627.2022.2034131. Epub 2022 Feb 23.
4
Effect of vinyl chloride exposure on cardiometabolic toxicity.氯乙烯暴露对心脏代谢毒性的影响。
Environ Toxicol. 2022 Feb;37(2):245-255. doi: 10.1002/tox.23394. Epub 2021 Oct 30.
5
Glycation and Glycosylation in Cardiovascular Remodeling: Focus on Advanced Glycation End Products and O-Linked Glycosylations as Glucose-Related Pathogenetic Factors and Disease Markers.心血管重塑中的糖基化与糖基化修饰:聚焦晚期糖基化终产物和O-连接糖基化作为与葡萄糖相关的致病因素和疾病标志物
J Clin Med. 2021 Oct 19;10(20):4792. doi: 10.3390/jcm10204792.
6
Effects of insulin on the proliferation and global gene expression profile of A7r5 cells.胰岛素对 A7r5 细胞增殖及全基因表达谱的影响。
Mol Biol Rep. 2021 Feb;48(2):1205-1215. doi: 10.1007/s11033-021-06200-8. Epub 2021 Feb 8.
7
Metabolic Syndrome Triggered by Fructose Diet Impairs Neuronal Function and Vascular Integrity in ApoE-KO Mouse Retinas: Implications of Autophagy Deficient Activation.果糖饮食引发的代谢综合征损害载脂蛋白E基因敲除小鼠视网膜的神经元功能和血管完整性:自噬激活不足的影响
Front Cell Dev Biol. 2020 Oct 8;8:573987. doi: 10.3389/fcell.2020.573987. eCollection 2020.
8
Association between Serum Gamma-Glutamyltransferase and Prevalence of Metabolic Syndrome Using Data from the Korean Genome and Epidemiology Study.基于韩国基因组与流行病学研究数据探讨血清γ-谷氨酰转移酶与代谢综合征患病率的关系
Endocrinol Metab (Seoul). 2019 Dec;34(4):390-397. doi: 10.3803/EnM.2019.34.4.390.
9
Metabolic Stress and Cardiovascular Disease in Diabetes Mellitus: The Role of Protein -GlcNAc Modification.代谢应激与糖尿病心血管疾病:蛋白质 -N- 乙酰葡萄糖胺修饰的作用。
Arterioscler Thromb Vasc Biol. 2019 Oct;39(10):1911-1924. doi: 10.1161/ATVBAHA.119.312192. Epub 2019 Aug 29.
10
Divergent outcomes of fructose consumption on exercise capacity of rats: friend or foe.果糖摄入对大鼠运动能力的不同影响:是友还是敌。
J Appl Physiol (1985). 2017 Feb 1;122(2):368-375. doi: 10.1152/japplphysiol.00767.2016. Epub 2016 Dec 1.
肠系膜动脉粥样硬化的异质性与出芽重塑。
Cardiovasc Pathol. 2010 Nov-Dec;19(6):e195-203. doi: 10.1016/j.carpath.2009.10.001. Epub 2009 Nov 18.
4
Oxidative stress and cardiovascular disease: novel tools give (free) radical insight.氧化应激与心血管疾病:新型工具带来(自由基)深入见解。
J Mol Cell Cardiol. 2009 Sep;47(3):372-81. doi: 10.1016/j.yjmcc.2009.05.013. Epub 2009 May 28.
5
Nitric oxide, NAD(P)H oxidase, and atherosclerosis.一氧化氮、NAD(P)H 氧化酶与动脉粥样硬化。
Antioxid Redox Signal. 2009 Jul;11(7):1711-31. doi: 10.1089/ars.2008.2403.
6
Does reversal of oxidative stress and inflammation provide vascular protection?氧化应激和炎症的逆转是否能提供血管保护作用?
Cardiovasc Res. 2009 Mar 1;81(4):649-59. doi: 10.1093/cvr/cvn354. Epub 2008 Dec 20.
7
Experimental models investigating the inflammatory basis of atherosclerosis.研究动脉粥样硬化炎症基础的实验模型。
Curr Atheroscler Rep. 2008 Jun;10(3):260-71. doi: 10.1007/s11883-008-0040-0.
8
Reactive oxygen species produced by NADPH oxidase, xanthine oxidase, and mitochondrial electron transport system mediate heat shock-induced MMP-1 and MMP-9 expression.由NADPH氧化酶、黄嘌呤氧化酶和线粒体电子传递系统产生的活性氧介导热休克诱导的MMP-1和MMP-9表达。
Free Radic Biol Med. 2008 Feb 15;44(4):635-45. doi: 10.1016/j.freeradbiomed.2007.10.053. Epub 2007 Nov 12.
9
Vascular adhesion molecules in atherosclerosis.动脉粥样硬化中的血管黏附分子
Arterioscler Thromb Vasc Biol. 2007 Nov;27(11):2292-301. doi: 10.1161/ATVBAHA.107.149179. Epub 2007 Aug 2.
10
The vascular renin-angiotensin system as a possible source of vascular inflammation in fructose-fed rats.血管肾素-血管紧张素系统可能是果糖喂养大鼠血管炎症的一个来源。
Hypertens Res. 2007 May;30(5):375-6. doi: 10.1291/hypres.30.375.