Suppr超能文献

多官能纤毛黏附素 Mhp684(P146)的切割事件特征分析揭示了肺炎支原体调控表面形貌的机制。

Characterization of cleavage events in the multifunctional cilium adhesin Mhp684 (P146) reveals a mechanism by which Mycoplasma hyopneumoniae regulates surface topography.

机构信息

NSW Department of Primary Industries, Elizabeth Macarthur Agricultural Institute, Camden, NSW, Australia.

出版信息

mBio. 2012 Apr 3;3(2). doi: 10.1128/mBio.00282-11. Print 2012.

Abstract

UNLABELLED

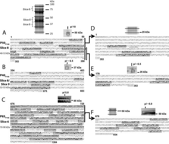
Mycoplasma hyopneumoniae causes enormous economic losses to swine production worldwide by colonizing the ciliated epithelium in the porcine respiratory tract, resulting in widespread damage to the mucociliary escalator, prolonged inflammation, reduced weight gain, and secondary infections. Protein Mhp684 (P146) comprises 1,317 amino acids, and while the N-terminal 400 residues display significant sequence identity to the archetype cilium adhesin P97, the remainder of the molecule is novel and displays unusual motifs. Proteome analysis shows that P146 preprotein is endogenously cleaved into three major fragments identified here as P50(P146), P40(P146), and P85(P146) that reside on the cell surface. Liquid chromatography with tandem mass spectrometry (LC-MS/MS) identified a semitryptic peptide that delineated a major cleavage site in Mhp684. Cleavage occurred at the phenylalanine residue within sequence (672)ATEF↓QQ(677), consistent with a cleavage motif resembling S/T-X-F↓X-D/E recently identified in Mhp683 and other P97/P102 family members. Biotinylated surface proteins recovered by avidin chromatography and separated by two-dimensional gel electrophoresis (2-D GE) showed that more-extensive endoproteolytic cleavage of P146 occurs. Recombinant fragments F1(P146)-F3(P146) that mimic P50(P146), P40(P146), and P85(P146) were constructed and shown to bind porcine epithelial cilia and biotinylated heparin with physiologically relevant affinity. Recombinant versions of F3(P146) generated from M. hyopneumoniae strain J and 232 sequences strongly bind porcine plasminogen, and the removal of their respective C-terminal lysine and arginine residues significantly reduces this interaction. These data reveal that P146 is an extensively processed, multifunctional adhesin of M. hyopneumoniae. Extensive cleavage coupled with variable cleavage efficiency provides a mechanism by which M. hyopneumoniae regulates protein topography.

IMPORTANCE

Vaccines used to control Mycoplasma hyopneumoniae infection provide only partial protection. Proteins of the P97/P102 families are highly expressed, functionally redundant molecules that are substrates of endoproteases that generate multifunctional adhesin fragments on the cell surface. We show that P146 displays a chimeric structure consisting of an N terminus, which shares sequence identity with P97, and novel central and C-terminal regions. P146 is endoproteolytically processed at multiple sites, generating at least nine fragments on the surface of M. hyopneumoniae. Dominant cleavage events occurred at S/T-X-F↓X-D/E-like sites generating P50(P146), P40(P146), and P85(P146). Recombinant proteins designed to mimic the major cleavage fragments bind porcine cilia, heparin, and plasminogen. P146 undergoes endoproteolytic processing events at multiple sites and with differential processing efficiency, generating combinatorial diversity on the surface of M. hyopneumoniae.

摘要

未加标签

支原体肺炎通过定植在猪呼吸道的纤毛上皮,导致广泛的纤毛黏液转运系统损伤、炎症持续时间延长、体重增加减少和继发感染,从而给全球养猪业造成巨大的经济损失。蛋白 Mhp684(P146)由 1317 个氨基酸组成,虽然其 N 端 400 个残基与典型纤毛黏附素 P97 有显著的序列同一性,但该分子的其余部分是新的,并且具有不寻常的基序。蛋白质组分析表明,P146 前体蛋白在内源上被切割成三个主要片段,这里鉴定为 P50(P146)、P40(P146)和 P85(P146),它们位于细胞表面。液相色谱-串联质谱(LC-MS/MS)鉴定出一个半色氨酸肽,该肽划定了 Mhp684 中的一个主要切割位点。切割发生在序列(672)ATEF↓QQ(677)内的苯丙氨酸残基处,与最近在 Mhp683 和其他 P97/P102 家族成员中鉴定出的切割基序相似。通过亲和层析回收的生物素化表面蛋白,并通过二维凝胶电泳(2-D GE)分离,表明 P146 发生了更广泛的内切蛋白酶切割。构建并显示模仿 P50(P146)、P40(P146)和 P85(P146)的重组片段 F1(P146)-F3(P146)与猪上皮纤毛和生物素化肝素具有生理相关的亲和力结合。从支原体肺炎菌株 J 和 232 序列中生成的重组版本 F3(P146)强烈结合猪纤溶酶原,并且去除其各自的 C 末端赖氨酸和精氨酸残基会显著降低这种相互作用。这些数据表明 P146 是支原体肺炎的一种广泛加工的多功能黏附素。广泛的切割加上可变的切割效率为支原体肺炎提供了一种调节蛋白拓扑结构的机制。

重要性

用于控制支原体肺炎感染的疫苗仅提供部分保护。P97/P102 家族的蛋白高度表达,是功能冗余的分子,是在细胞表面生成多功能黏附素片段的内肽酶的底物。我们表明 P146 显示出嵌合结构,由与 P97 具有序列同一性的 N 端和新型中央和 C 端区域组成。P146 在多个位点被内切蛋白酶处理,在支原体肺炎表面产生至少 9 个片段。主要的切割事件发生在 S/T-X-F↓X-D/E 样位点,生成 P50(P146)、P40(P146)和 P85(P146)。设计成模拟主要切割片段的重组蛋白与猪纤毛、肝素和纤溶酶原结合。P146 在多个位点发生内肽酶处理事件,并且处理效率不同,在支原体肺炎表面产生组合多样性。

https://cdn.ncbi.nlm.nih.gov/pmc/blobs/e4bf/3322551/935f2570df5d/mbo0021212530001.jpg

文献检索

告别复杂PubMed语法,用中文像聊天一样搜索,搜遍4000万医学文献。AI智能推荐,让科研检索更轻松。

立即免费搜索

文件翻译

保留排版,准确专业,支持PDF/Word/PPT等文件格式,支持 12+语言互译。

免费翻译文档

深度研究

AI帮你快速写综述,25分钟生成高质量综述,智能提取关键信息,辅助科研写作。

立即免费体验