Suppr超能文献

伪装成口腔恶性肿瘤的结核病

Tuberculosis masquerading as oral malignancy.

作者信息

Kannan S, Thakkar Purvi, Dcruz Anil K

机构信息

Department of Head & Neck Oncology, Tata Memorial Hospital, Mumbai, Maharashtra, India.

出版信息

Indian J Med Paediatr Oncol. 2011 Jul;32(3):180-2. doi: 10.4103/0971-5851.92830.

Abstract

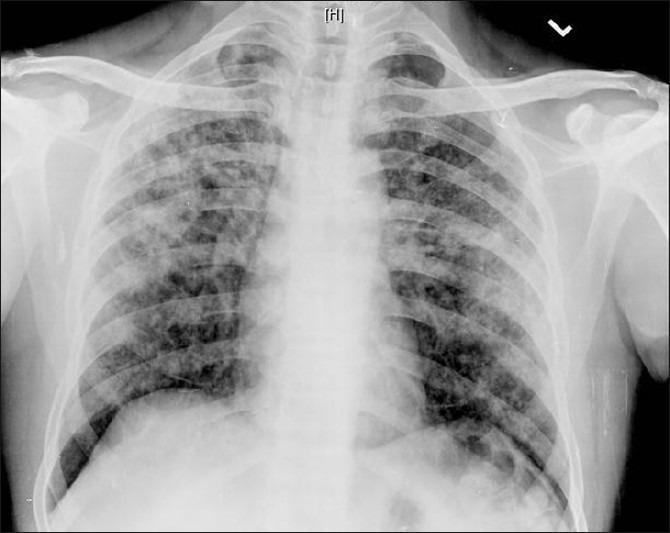
Tuberculosis of the oral cavity is a rare condition. A 55-year-old labourer was referred as a case of oral cancer for further management. The patient had no systemic symptoms. Biopsy of the lesion revealed caseating granulomatous inflammation. Chest X-ray and sputum revealed evidence of asymptomatic pulmonary tuberculosis. The purpose of this paper is to sensitize clinicians to consider oral tuberculosis as a differential diagnosis in patients with an Non-healing oral cavity ulcer.

摘要

口腔结核是一种罕见病症。一名55岁的劳工被转诊为口腔癌病例以进行进一步治疗。该患者无全身症状。病变组织活检显示干酪样肉芽肿性炎症。胸部X光检查和痰液检查发现无症状性肺结核的证据。本文旨在提高临床医生对口腔结核的认识,使其在患有不愈合口腔溃疡的患者中将其作为鉴别诊断考虑。

https://cdn.ncbi.nlm.nih.gov/pmc/blobs/ffc8/3342731/a17e805acea0/IJMPO-32-180-g001.jpg

文献检索

告别复杂PubMed语法,用中文像聊天一样搜索,搜遍4000万医学文献。AI智能推荐,让科研检索更轻松。

立即免费搜索

文件翻译

保留排版,准确专业,支持PDF/Word/PPT等文件格式,支持 12+语言互译。

免费翻译文档

深度研究

AI帮你快速写综述,25分钟生成高质量综述,智能提取关键信息,辅助科研写作。

立即免费体验