• 文献检索
  • 文档翻译
  • 深度研究
  • 学术资讯
  • Suppr Zotero 插件Zotero 插件
  • 邀请有礼
  • 套餐&价格
  • 历史记录
应用&插件
Suppr Zotero 插件Zotero 插件浏览器插件Mac 客户端Windows 客户端微信小程序
定价
高级版会员购买积分包购买API积分包
服务
文献检索文档翻译深度研究API 文档MCP 服务
关于我们
关于 Suppr公司介绍联系我们用户协议隐私条款
关注我们

Suppr 超能文献

核心技术专利:CN118964589B侵权必究
粤ICP备2023148730 号-1Suppr @ 2026

文献检索

告别复杂PubMed语法,用中文像聊天一样搜索,搜遍4000万医学文献。AI智能推荐,让科研检索更轻松。

立即免费搜索

文件翻译

保留排版,准确专业,支持PDF/Word/PPT等文件格式,支持 12+语言互译。

免费翻译文档

深度研究

AI帮你快速写综述,25分钟生成高质量综述,智能提取关键信息,辅助科研写作。

立即免费体验

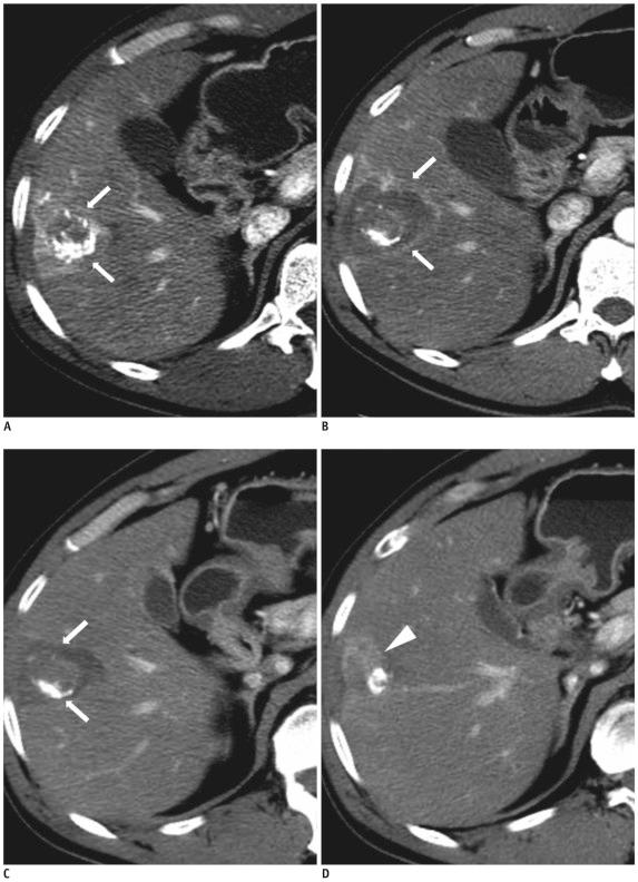
超声引导下射频消融治疗经导管动脉化疗栓塞后未完全治疗的肝细胞癌的疗效。

Effect of ultrasound-guided radiofrequency ablation in incompletely treated hepatocellular carcinoma after transcatheter arterial chemoembolization.

机构信息

Department of Radiology, Chonnam National University Medical School and Chonnam National University Hwasun Hospital, Hwasun 519-809, Korea.

出版信息

Korean J Radiol. 2012 Jan-Feb;13 Suppl 1(Suppl 1):S104-11. doi: 10.3348/kjr.2012.13.S1.S104. Epub 2012 Apr 23.

DOI:10.3348/kjr.2012.13.S1.S104
PMID:22563280
原文链接:https://pmc.ncbi.nlm.nih.gov/articles/PMC3341453/
Abstract

OBJECTIVE

To evaluate the effectiveness of ultrasound-guided radiofrequency (RF) ablation in patients with incompletely treated hepatocellular carcinoma (HCC) after transcatheter arterial chemoembolization (TACE) and to evaluate possible prognostic factors for this therapy.

SUBJECTS AND METHODS

Thirty nine patients with incompletely treated single HCC (≤ 5 cm) after TACE were treated with RF ablation. All patients were evaluated for complete tumor ablation rate, local recurrence-free rate, overall survival rate, and complications. Local recurrence-free rate and overall survival rate were calculated using the Kaplan-Meier method. The possible prognostic factors of local recurrence-free rate and survival rate were analyzed using Cox proportional-hazards regression model.

RESULTS

The complete tumor ablation rate was 92.3%. Local recurrence-free rates for 1-, 2-, 3-, and 5-years were 81.7%, 63.1%, 53.6%, and 35.7%, respectively. One-, 2-, 3-, and 5-year overall survival rates were 96.9%, 82.9%, 67.8%, and 48.4%, respectively. Among prognostic factors included in the analysis, only tumor diameter (≤ 2 cm versus > 2 cm) was statistically significant in terms of predicting local recurrence. Complications were observed in two patients, one with liver abscess and the other with portal venous thrombosis.

CONCLUSION

Ultrasound-guided RF ablation could be effective and safe in treating incompletely treated HCC after TACE. The diameter of HCC was a significant prognostic factor for local recurrence.

摘要

目的

评估超声引导下射频(RF)消融治疗经导管动脉化疗栓塞(TACE)后未完全治疗的肝细胞癌(HCC)的疗效,并评估该治疗的可能预后因素。

对象和方法

39 例 TACE 后未完全治疗的单发 HCC(≤5cm)患者接受 RF 消融治疗。所有患者均评估完全肿瘤消融率、局部无复发生存率、总生存率和并发症。采用 Kaplan-Meier 法计算局部无复发生存率和总生存率。采用Cox 比例风险回归模型分析局部无复发生存率和生存率的可能预后因素。

结果

完全肿瘤消融率为 92.3%。1、2、3、5 年的局部无复发生存率分别为 81.7%、63.1%、53.6%和 35.7%。1、2、3、5 年总生存率分别为 96.9%、82.9%、67.8%和 48.4%。在纳入分析的预后因素中,只有肿瘤直径(≤2cm 与>2cm)在预测局部复发方面具有统计学意义。两名患者出现并发症,其中 1 例为肝脓肿,另 1 例为门静脉血栓形成。

结论

超声引导下 RF 消融治疗 TACE 后未完全治疗的 HCC 是有效且安全的。HCC 的直径是局部复发的一个重要预后因素。

https://cdn.ncbi.nlm.nih.gov/pmc/blobs/1918/3341453/60ec5d66754c/kjr-13-S104-g004.jpg
https://cdn.ncbi.nlm.nih.gov/pmc/blobs/1918/3341453/88a9952892e0/kjr-13-S104-g001.jpg
https://cdn.ncbi.nlm.nih.gov/pmc/blobs/1918/3341453/f0d59fd216ca/kjr-13-S104-g002.jpg
https://cdn.ncbi.nlm.nih.gov/pmc/blobs/1918/3341453/2c124ba9a418/kjr-13-S104-g003.jpg
https://cdn.ncbi.nlm.nih.gov/pmc/blobs/1918/3341453/60ec5d66754c/kjr-13-S104-g004.jpg
https://cdn.ncbi.nlm.nih.gov/pmc/blobs/1918/3341453/88a9952892e0/kjr-13-S104-g001.jpg
https://cdn.ncbi.nlm.nih.gov/pmc/blobs/1918/3341453/f0d59fd216ca/kjr-13-S104-g002.jpg
https://cdn.ncbi.nlm.nih.gov/pmc/blobs/1918/3341453/2c124ba9a418/kjr-13-S104-g003.jpg
https://cdn.ncbi.nlm.nih.gov/pmc/blobs/1918/3341453/60ec5d66754c/kjr-13-S104-g004.jpg

相似文献

1
Effect of ultrasound-guided radiofrequency ablation in incompletely treated hepatocellular carcinoma after transcatheter arterial chemoembolization.超声引导下射频消融治疗经导管动脉化疗栓塞后未完全治疗的肝细胞癌的疗效。
Korean J Radiol. 2012 Jan-Feb;13 Suppl 1(Suppl 1):S104-11. doi: 10.3348/kjr.2012.13.S1.S104. Epub 2012 Apr 23.
2
Combined transarterial chemoembolization and radiofrequency ablation for small treatment-naïve hepatocellular carcinoma infeasible for ultrasound-guided radiofrequency ablation: long-term outcomes.对于无法进行超声引导下射频消融的初治小肝细胞癌,经动脉化疗栓塞联合射频消融治疗:长期疗效
Acta Radiol. 2018 Jul;59(7):773-781. doi: 10.1177/0284185117735349. Epub 2017 Oct 16.
3
Small hepatocellular carcinoma: is radiofrequency ablation combined with transcatheter arterial chemoembolization more effective than radiofrequency ablation alone for treatment?小肝细胞癌:射频消融联合经动脉化疗栓塞术治疗是否比单纯射频消融更有效?
Radiology. 2009 Sep;252(3):905-13. doi: 10.1148/radiol.2523081676. Epub 2009 Jun 30.
4
Recurrent hepatocellular carcinoma treated with sequential transcatheter arterial chemoembolization and RF ablation versus RF ablation alone: a prospective randomized trial.序贯经导管动脉化疗栓塞和射频消融与单纯射频消融治疗复发性肝细胞癌的前瞻性随机试验。
Radiology. 2012 Feb;262(2):689-700. doi: 10.1148/radiol.11110637. Epub 2011 Dec 12.
5
Transarterial chemoembolization using drug eluting beads and subsequent percutaneous MR-guided radiofrequency ablation in the therapy of intermediate sized hepatocellular carcinoma.使用载药微球的经动脉化疗栓塞术及随后在中大型肝细胞癌治疗中经皮磁共振引导下的射频消融术
Eur J Radiol. 2014 Oct;83(10):1793-8. doi: 10.1016/j.ejrad.2014.06.031. Epub 2014 Jul 6.
6
[Transcatheter arterial chemoembolization plus percutaneous thermal ablation in large hepatocellular carcinoma: clinical observation of efficacy and predictors of prognostic factors].经导管动脉化疗栓塞联合经皮热消融治疗大肝癌:疗效的临床观察及预后因素的预测指标
Zhonghua Yi Xue Za Zhi. 2011 Aug 23;91(31):2190-4.
7
Combined transcatheter arterial chemoembolization and radiofrequency ablation in single-session for solitary hepatocellular carcinoma larger than 7 cm.单次联合经动脉化疗栓塞术和射频消融术治疗直径大于7厘米的孤立性肝细胞癌。
Asia Pac J Clin Oncol. 2018 Aug;14(4):300-309. doi: 10.1111/ajco.12817. Epub 2017 Nov 10.
8
Transcatheter arterial chemoembolization combined with radiofrequency ablation can improve survival of patients with hepatocellular carcinoma with portal vein tumour thrombosis: extending the indication for ablation?经导管动脉化疗栓塞联合射频消融能否改善伴门静脉癌栓的肝细胞癌患者的生存:扩大消融适应证?
Clin Radiol. 2014 Jun;69(6):e253-63. doi: 10.1016/j.crad.2014.01.015. Epub 2014 Feb 26.
9
Combined transcatheter arterial chemoembolization and radiofrequency ablation versus hepatectomy for recurrent hepatocellular carcinoma after initial surgery: a propensity score matching study.经导管动脉化疗栓塞联合射频消融与肝切除术治疗初始手术后复发性肝细胞癌的比较:倾向评分匹配研究。
Eur Radiol. 2018 Aug;28(8):3522-3531. doi: 10.1007/s00330-017-5166-4. Epub 2018 Mar 13.
10
Transcatheter arterial chemoembolization combined with radiofrequency ablation delays tumor progression and prolongs overall survival in patients with intermediate (BCLC B) hepatocellular carcinoma.经动脉化疗栓塞联合射频消融可延缓中期(巴塞罗那临床肝癌分期B期)肝细胞癌患者的肿瘤进展并延长总生存期。
BMC Cancer. 2014 Nov 19;14:849. doi: 10.1186/1471-2407-14-849.

引用本文的文献

1
Thrombus formation in the suprahepatic inferior vena cava after microwave ablation in patients with hepatic metastasis: a case report.肝转移患者微波消融术后肝上下腔静脉血栓形成:一例报告
Thromb J. 2023 Apr 4;21(1):36. doi: 10.1186/s12959-023-00481-8.
2
Predisposing factors for hepatocellular carcinoma recurrence following initial remission after transcatheter arterial chemoembolization.经导管动脉化疗栓塞术后首次缓解后肝细胞癌复发的 predisposing 因素。 (注:“predisposing”常见释义为“使易患;使倾向于” ,这里结合语境暂保留英文未翻译,因为可能是医学专业术语有特定含义)
Oncol Lett. 2017 Sep;14(3):3028-3034. doi: 10.3892/ol.2017.6489. Epub 2017 Jun 28.
3

本文引用的文献

1
The current role of radiofrequency ablation in the management of hepatocellular carcinoma: a systematic review.射频消融在肝细胞癌治疗中的当前作用:一项系统综述。
Ann Surg. 2009 Jan;249(1):20-5. doi: 10.1097/SLA.0b013e31818eec29.
2
Transcatheter therapy for hepatic malignancy: standardization of terminology and reporting criteria.经导管肝恶性肿瘤治疗:术语和报告标准的标准化
J Vasc Interv Radiol. 2007 Dec;18(12):1469-78. doi: 10.1016/j.jvir.2007.08.027.
3
Percutaneous radiofrequency ablation for early-stage hepatocellular carcinoma as a first-line treatment: long-term results and prognostic factors in a large single-institution series.
Efficacy and Safety of Radiofrequency Ablation Combined with Transcatheter Arterial Chemoembolization for Hepatocellular Carcinomas Compared with Radiofrequency Ablation Alone: A Time-to-Event Meta-Analysis.
与单纯射频消融相比,射频消融联合经动脉化疗栓塞治疗肝细胞癌的疗效和安全性:一项事件时间的Meta分析
Korean J Radiol. 2016 Jan-Feb;17(1):93-102. doi: 10.3348/kjr.2016.17.1.93. Epub 2016 Jan 6.
4
Irreversible electroporation of a hepatocellular carcinoma lesion adjacent to a transjugular intrahepatic portosystemic shunt stent graft.经颈静脉肝内门体分流术支架内肝肿瘤病灶不可逆电穿孔。
Korean J Radiol. 2013 Sep-Oct;14(5):797-800. doi: 10.3348/kjr.2013.14.5.797. Epub 2013 Aug 30.
5
Computed tomographic-guided radiofrequency ablation of recurrent or residual hepatocellular carcinomas around retained iodized oil after transarterial chemoembolization.经动脉化疗栓塞后碘化油潴留时复发性或残留肝细胞癌的 CT 引导射频消融治疗。
Korean J Radiol. 2013 Sep-Oct;14(5):733-42. doi: 10.3348/kjr.2013.14.5.733. Epub 2013 Aug 30.
6
Chemoembolisation combined with percutaneous radiofrequency ablation in the treatment of primary angiosarcoma of the liver.化疗栓塞联合经皮射频消融治疗原发性肝脏血管肉瘤
BMJ Case Rep. 2013 May 22;2013:bcr2013009511. doi: 10.1136/bcr-2013-009511.
经皮射频消融作为早期肝细胞癌一线治疗的长期结果及预后因素:一项大型单中心队列研究
Eur Radiol. 2007 Mar;17(3):684-92. doi: 10.1007/s00330-006-0461-5. Epub 2006 Nov 9.
4
Radiofrequency ablation of hepatocellular carcinoma: long-term experience with expandable needle electrodes.肝细胞癌的射频消融:可扩张针电极的长期经验
AJR Am J Roentgenol. 2006 May;186(5 Suppl):S316-21. doi: 10.2214/AJR.05.0243.
5
A prospective randomized trial comparing percutaneous local ablative therapy and partial hepatectomy for small hepatocellular carcinoma.一项比较经皮局部消融治疗与部分肝切除术治疗小肝细胞癌的前瞻性随机试验。
Ann Surg. 2006 Mar;243(3):321-8. doi: 10.1097/01.sla.0000201480.65519.b8.
6
Transarterial chemoembolization for hepatocellular carcinoma.经动脉化疗栓塞治疗肝细胞癌。
J Am Coll Surg. 2006 Jan;202(1):155-68. doi: 10.1016/j.jamcollsurg.2005.06.263. Epub 2005 Oct 19.
7
Long-term follow-up outcome of patients undergoing radiofrequency ablation for unresectable hepatocellular carcinoma.不可切除肝细胞癌患者接受射频消融治疗的长期随访结果
World J Surg. 2005 Nov;29(11):1364-73. doi: 10.1007/s00268-005-7829-6.
8
Radiofrequency thermal ablation (RFA) after transarterial chemoembolization (TACE) as a combined therapy for unresectable non-early hepatocellular carcinoma (HCC).经动脉化疗栓塞术(TACE)后行射频热消融(RFA)作为不可切除的非早期肝细胞癌(HCC)的联合治疗方法。
Eur Radiol. 2006 Mar;16(3):661-9. doi: 10.1007/s00330-005-0029-9. Epub 2005 Oct 14.
9
Randomised controlled trial comparing percutaneous radiofrequency thermal ablation, percutaneous ethanol injection, and percutaneous acetic acid injection to treat hepatocellular carcinoma of 3 cm or less.比较经皮射频热消融、经皮乙醇注射和经皮乙酸注射治疗3厘米及以下肝细胞癌的随机对照试验。
Gut. 2005 Aug;54(8):1151-6. doi: 10.1136/gut.2004.045203.
10
Significant long-term survival after radiofrequency ablation of unresectable hepatocellular carcinoma in patients with cirrhosis.肝硬化患者不可切除肝细胞癌射频消融术后的显著长期生存
Ann Surg Oncol. 2005 Aug;12(8):616-28. doi: 10.1245/ASO.2005.06.011. Epub 2005 Jun 20.