Suppr超能文献

腹水转移性肺泡横纹肌肉瘤的细胞学诊断:1例报告强调诊断难点

Cytological diagnosis of metastatic alveolar rhabdomyosarcoma in the ascitic fluid: Report of a case highlighting the diagnostic difficulties.

作者信息

Nelson Andrew C, Singh Charanjeet, Pambuccian Stefan E

机构信息

Department of Laboratory Medicine and Pathology, University of Minnesota Medical School, Fairview, C422 Mayo MMC 76, 420 Delaware Street SE, Minneapolis MN 55455, USA.

出版信息

Cytojournal. 2012;9:9. doi: 10.4103/1742-6413.94569. Epub 2012 Mar 31.

Abstract

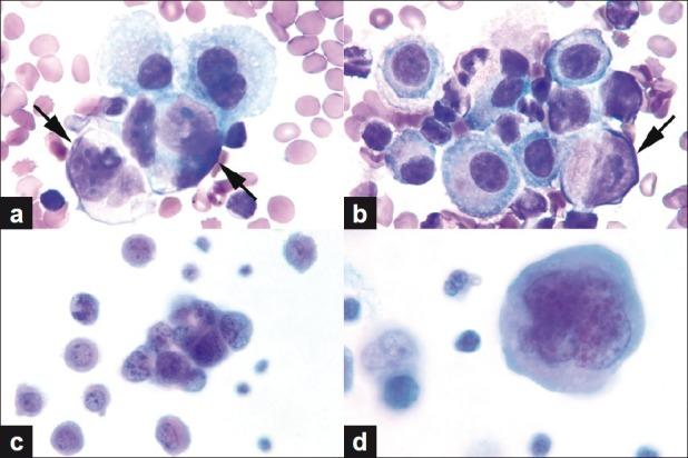
Alveolar rhabdomyosarcoma is an uncommon tumor affecting adolescents and young adults that is only rarely encountered in body fluid cytology. We report the cytological features of metastatic alveolar rhabdomyosarcoma in the ascitic fluid of a 17-year-old female patient, who had presented with abdominal distention, 21 months after being diagnosed with perirectal alveolar rhabdomyosarcoma. The rare single neoplastic cells that were admixed with abundant reactive mesothelial cells were initially misinterpreted as reactive mesothelial cells. However, their neoplastic nature was established after a careful review of their cytological features and the performance of immunoperoxidase stains. Compared to the reactive mesothelial cells that were present in the sample, the malignant cells were smaller, with less ample and more homogenous cytoplasm. They had slightly larger, more hyperchromatic, and more frequently eccentric nuclei, with larger nucleoli. This case highlights the potential pitfall of the misinterpretation of metastatic alveolar rhabdomyosarcoma cells for reactive mesothelial cells. Awareness of this potential diagnostic problem and recognition of the cytomorphological features of this neoplasm in the body fluids allows the identification of malignant cells, even when they are rare and intimately associated with mesothelial cells.

摘要

肺泡横纹肌肉瘤是一种罕见的肿瘤,主要影响青少年和年轻成年人,在体液细胞学中很少见。我们报告了一名17岁女性患者腹水转移性肺泡横纹肌肉瘤的细胞学特征,该患者在被诊断为直肠周围肺泡横纹肌肉瘤21个月后出现腹胀。最初,与大量反应性间皮细胞混合的罕见单个肿瘤细胞被误诊为反应性间皮细胞。然而,在仔细检查其细胞学特征并进行免疫过氧化物酶染色后,确定了它们的肿瘤性质。与样本中存在的反应性间皮细胞相比,恶性细胞较小,细胞质较少且更均匀。它们的细胞核稍大,染色更深,且更常偏位,核仁更大。该病例突出了将转移性肺泡横纹肌肉瘤细胞误诊为反应性间皮细胞的潜在陷阱。认识到这一潜在的诊断问题并识别体液中该肿瘤的细胞形态学特征,即使恶性细胞很少且与间皮细胞密切相关,也能识别出它们。

https://cdn.ncbi.nlm.nih.gov/pmc/blobs/4aa2/3347623/73c4f0cd43ca/CJ-9-9-g001.jpg

文献AI研究员

20分钟写一篇综述,助力文献阅读效率提升50倍。

立即体验

用中文搜PubMed

大模型驱动的PubMed中文搜索引擎

马上搜索

文档翻译

学术文献翻译模型,支持多种主流文档格式。

立即体验