Suppr超能文献

犬肝胆疾病的诊断成像:综述

Diagnostic imaging of canine hepatobiliary affections: a review.

作者信息

Kumar Vijay, Kumar Adarsh, Varshney A C, Tyagi S P, Kanwar M S, Sharma S K

机构信息

Department of Veterinary Surgery and Radiology, DGCN College of Veterinary and Animal Sciences, CSK HP Agricultural University, Himachal, Palampur Pradesh 176062, India.

出版信息

Vet Med Int. 2012;2012:672107. doi: 10.1155/2012/672107. Epub 2012 Mar 18.

Abstract

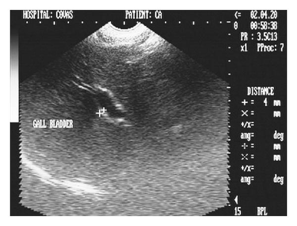
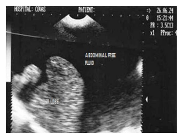
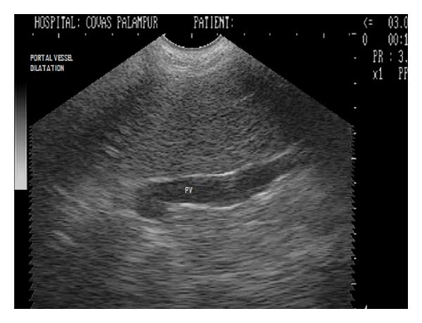
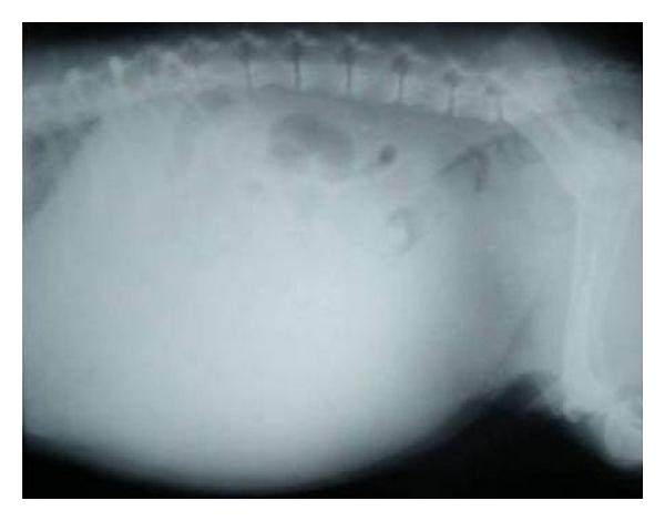
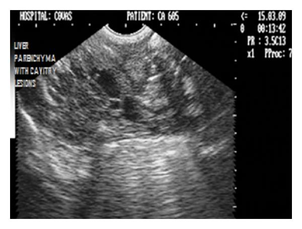
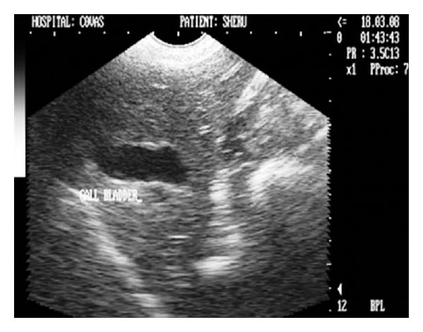
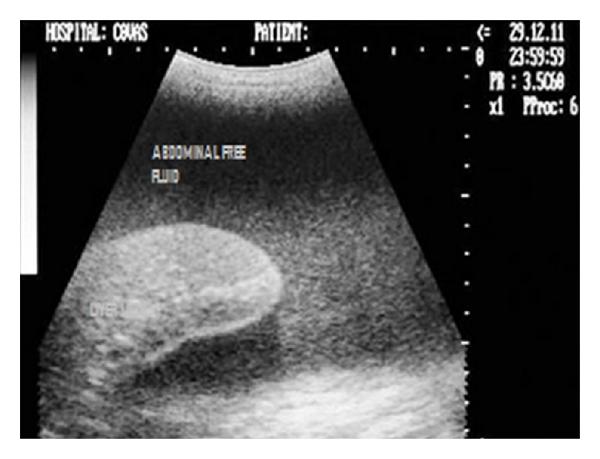
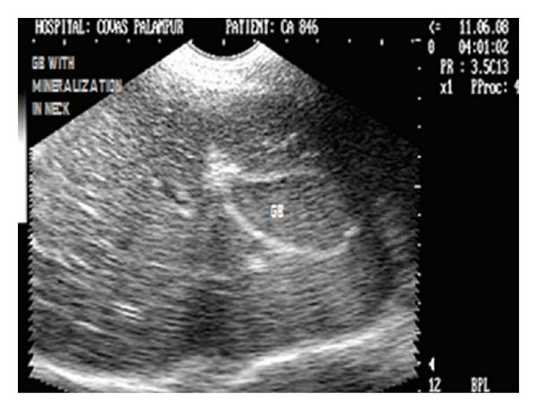
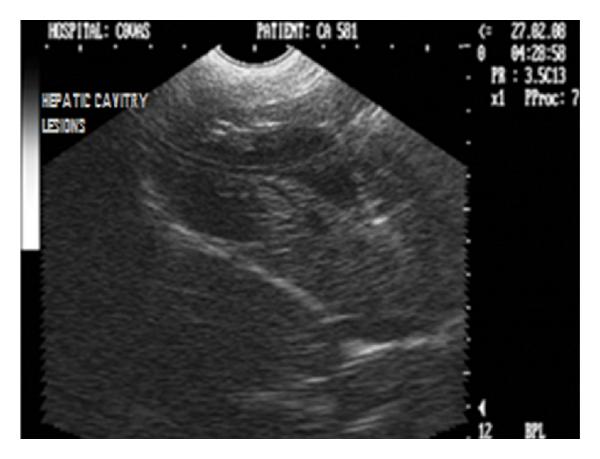
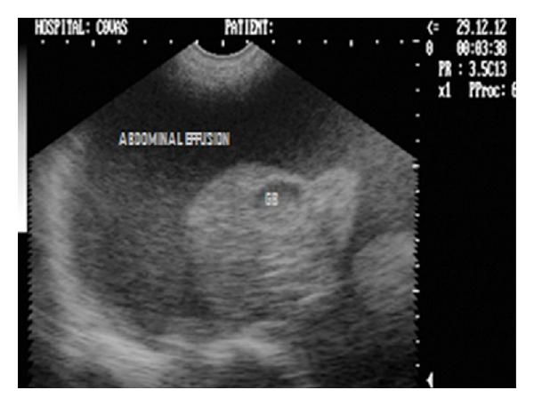
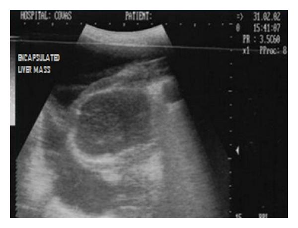
Hepatic disease is often treatable and has a predictable prognosis when a definitive diagnosis is made. The aim of clinicopathological evaluation of hepatobiliary affections is to identify and characterize hepatic damage and dysfunction, identify possible primary causes of secondary liver disease, differentiate causes of icterus, evaluate potential anaesthetic risks, assess prognosis and response to xenobiotics, and monitor response to therapy. This paper describes the different diagnostic methods and imaging techniques employed in diagnosis of hepatobiliary affections in dogs. Besides reviewing the significant clinical manifestations and imaging structural abnormalities in diagnostic approach to different hepatic affections, it also depicts radiographic, ultrasonographic, and wherever applicable, the laparoscopic characterization of different hepatic affections and target lesions encountered in clinical cases presented in the Teaching Veterinary Clinical Complex, COVAS, Palampur in the year 2007-2008.

摘要

肝病通常是可治疗的,一旦做出明确诊断,其预后是可预测的。肝胆疾病临床病理评估的目的是识别和描述肝损伤及功能障碍,确定继发性肝病可能的主要病因,鉴别黄疸的病因,评估潜在的麻醉风险,评估预后及对外源化学物质的反应,并监测治疗反应。本文描述了用于诊断犬肝胆疾病的不同诊断方法和成像技术。除了回顾不同肝病诊断方法中的重要临床表现和成像结构异常外,还描述了2007 - 2008年在帕兰普尔兽医临床综合教学中心(COVAS)出现的临床病例中不同肝病及目标病变的放射学、超声学特征,以及在适用情况下的腹腔镜特征。

https://cdn.ncbi.nlm.nih.gov/pmc/blobs/0a5e/3329710/bf15fdabbb0b/VMI2012-672107.001.jpg

文献AI研究员

20分钟写一篇综述,助力文献阅读效率提升50倍。

立即体验

用中文搜PubMed

大模型驱动的PubMed中文搜索引擎

马上搜索

文档翻译

学术文献翻译模型,支持多种主流文档格式。

立即体验