Suppr超能文献

A case of squamous cell carcinoma of conjunctiva as initial sign of systemic cancers.

作者信息

Mitamura Hayato, Oshitari Toshiyuki, Kimoto Ryuta, Yotsukura Jiro, Asanagi Kaoru, Baba Takayuki, Takahashi Yoko, Kishimoto Takashi, Yamamoto Shuichi

机构信息

Department of Ophthalmology and Visual Science, Chiba University Graduate School of Medicine, Chuo-ku, Chiba 260-8670, Japan.

出版信息

Case Rep Ophthalmol Med. 2011;2011:972318. doi: 10.1155/2011/972318. Epub 2011 Dec 29.

Abstract

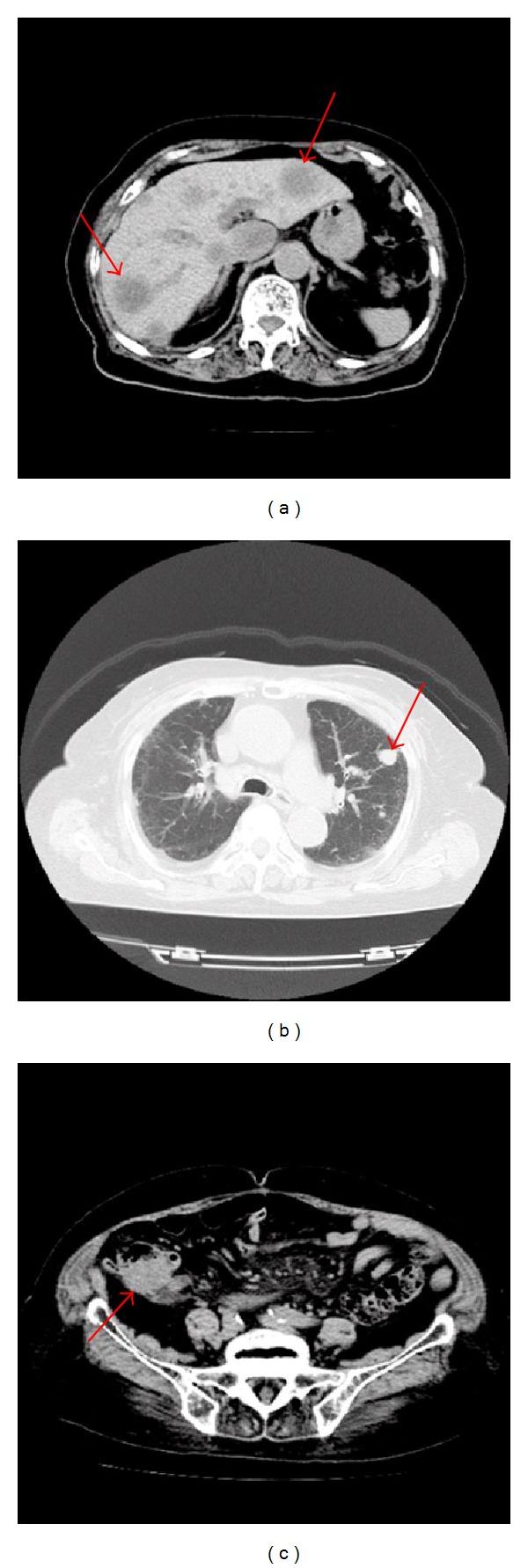
The purpose of this report is to present the findings in a case of squamous cell carcinoma (SCC) of the conjunctiva which was the initial sign of systemic cancers. A 94-year-old woman without known systemic diseases developed a mass in her right conjunctiva. She was referred to our hospital 5 months after the onset. She was diagnosed with conjunctival SCC by biopsy. Systemic CT before the surgery revealed multiple liver lesions, lung legions, and a large mass surrounding the appendix. The patient requested the surgery, and the main aim of the surgery was cosmesis. Histopathological examinations of the specimen led us to the final diagnosis as SCC. She did not receive any other therapy because of her age. As no other surgical procedures were undertaken, it is uncertain as to whether the conjunctival lesion was primary or secondary. Although, it is extremely rare that SCC of the conjunctiva is the initial sign of systemic cancers, careful systemic examinations to find other cancers should be made.

摘要
https://cdn.ncbi.nlm.nih.gov/pmc/blobs/397b/3350033/a3913221fea7/CRIM.OPHMED2011-972318.001.jpg

相似文献

1
A case of squamous cell carcinoma of conjunctiva as initial sign of systemic cancers.
Case Rep Ophthalmol Med. 2011;2011:972318. doi: 10.1155/2011/972318. Epub 2011 Dec 29.
3
Mucoepidermoid carcinoma of the conjunctiva with lung metastasis.
Indian J Ophthalmol. 2015 May;63(5):457-9. doi: 10.4103/0301-4738.159893.
4
Case of Rapidly Expanding Conjunctival Malignant Melanoma Initially from Primary Acquired Melanosis Diagnosed 14 Years Earlier.
Int Med Case Rep J. 2021 May 28;14:361-364. doi: 10.2147/IMCRJ.S310702. eCollection 2021.
5
Clinical Management of Squamous Cell Carcinoma of the Conjunctiva.
Am J Case Rep. 2020 Feb 1;21:e919751. doi: 10.12659/AJCR.919751.
6
Recurrence of primary squamous cell carcinoma of the ileum diagnosed by elevation of serum SCC: report of a case.
Clin J Gastroenterol. 2012 Jun;5(3):239-44. doi: 10.1007/s12328-012-0309-2. Epub 2012 May 29.
7
Systemic amyloidosis presenting as a mass of the conjunctival semilunar fold.
Am J Ophthalmol. 2000 Oct;130(4):523-5. doi: 10.1016/s0002-9394(00)00567-5.
8
Conjunctival squamous cell carcinoma following psoriasis treatment.
J Cutan Med Surg. 2012 Sep-Oct;16(5):365-7. doi: 10.1177/120347541201600517.
9
Case report of hepatic pseudocyst: A rare manifestation of liver metastasis from an anal squamous cell carcinoma.
Int J Surg Case Rep. 2019;62:77-84. doi: 10.1016/j.ijscr.2019.08.005. Epub 2019 Aug 17.
10
Mucosa-associated lymphoid tissue lymphoma with metachronous involvement of the palpebral conjunctiva and bronchus: A case report.
Respir Med Case Rep. 2018 Dec 8;26:101-104. doi: 10.1016/j.rmcr.2018.12.004. eCollection 2019.

本文引用的文献

1
Combined carcinoid tumor and squamous cell carcinoma of lung: expanding the spectrum of combined tumors of lung.
Int J Surg Pathol. 2011 Apr;19(2):273-5. doi: 10.1177/1066896910397883. Epub 2011 Mar 21.
2
Primary, combined, atypical carcinoid and squamous cell carcinoma of the larynx: a new variety of composite tumour.
J Laryngol Otol. 2010 Feb;124(2):226-9. doi: 10.1017/S0022215109991228. Epub 2009 Nov 25.
3
Squamous cell carcinoma of the conjunctiva: clinicopathological features in 287 cases.
Can J Ophthalmol. 2002 Feb;37(1):14-9; discussion 19-20. doi: 10.1016/s0008-4182(02)80093-x.
4
Conjunctival metastasis as the initial manifestation of lung cancer.
Am J Ophthalmol. 1997 Sep;124(3):399-400. doi: 10.1016/s0002-9394(14)70835-9.
5
Metastatic tumours to the conjunctiva: report of 10 cases.
Br J Ophthalmol. 1996 Jan;80(1):5-8. doi: 10.1136/bjo.80.1.5.
6
Uterine cervical carcinoma metastasis to subconjunctival tissue.
Arch Ophthalmol. 1995 Nov;113(11):1362-3. doi: 10.1001/archopht.1995.01100110022012.
7
Conjunctival lesions in adults. A clinical and histopathologic review.
Cornea. 1987;6(2):78-116. doi: 10.1097/00003226-198706020-00002.

文献AI研究员

20分钟写一篇综述,助力文献阅读效率提升50倍。

立即体验

用中文搜PubMed

大模型驱动的PubMed中文搜索引擎

马上搜索

文档翻译

学术文献翻译模型,支持多种主流文档格式。

立即体验