• 文献检索
  • 文档翻译
  • 深度研究
  • 学术资讯
  • Suppr Zotero 插件Zotero 插件
  • 邀请有礼
  • 套餐&价格
  • 历史记录
应用&插件
Suppr Zotero 插件Zotero 插件浏览器插件Mac 客户端Windows 客户端微信小程序
定价
高级版会员购买积分包购买API积分包
服务
文献检索文档翻译深度研究API 文档MCP 服务
关于我们
关于 Suppr公司介绍联系我们用户协议隐私条款
关注我们

Suppr 超能文献

核心技术专利:CN118964589B侵权必究
粤ICP备2023148730 号-1Suppr @ 2026

文献检索

告别复杂PubMed语法,用中文像聊天一样搜索,搜遍4000万医学文献。AI智能推荐,让科研检索更轻松。

立即免费搜索

文件翻译

保留排版,准确专业,支持PDF/Word/PPT等文件格式,支持 12+语言互译。

免费翻译文档

深度研究

AI帮你快速写综述,25分钟生成高质量综述,智能提取关键信息,辅助科研写作。

立即免费体验

一例罕见的胃肠道出血病例。

An unusual case of gastrointestinal bleeding.

作者信息

Fiorino Kristin N, Lestini Brian, Nichols Kim E, Anupindi Sudha A, Maqbool Asim

机构信息

Division of Gastroenterology, Hepatology and Nutrition, The Children's Hospital of Philadelphia, Perelman, School of Medicine, University of Pennsylvania, Philadelphia, PA 19104, USA.

出版信息

Case Rep Pediatr. 2011;2011:748543. doi: 10.1155/2011/748543. Epub 2012 Jan 22.

DOI:10.1155/2011/748543
PMID:22606522
原文链接:https://pmc.ncbi.nlm.nih.gov/articles/PMC3350036/
Abstract

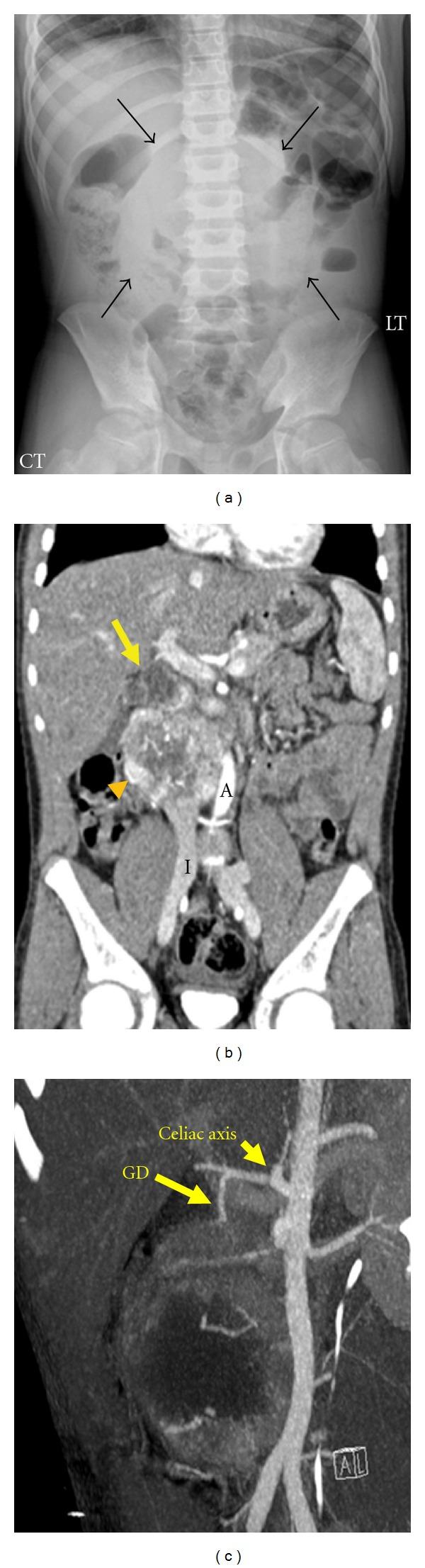
A 10-year-old boy presented with a 3-day history of worsening abdominal pain, fever, emesis and melena. Abdominal ultrasound revealed a right upper quadrant mass that was confirmed by computed tomography angiogram (CTA), which showed an 8 cm well-defined retroperitoneal vascular mass. (123)Iodine metaiodobenzylguanidine ((123)MIBG) scan indicated uptake only in the abdominal mass. Subsequent biopsy revealed a paraganglioma that was treated with chemotherapy. This case represents an unusual presentation of a paraganglioma associated with gastrointestinal (GI) bleeding and highlights the utility of CTA and (123)MIBG in evaluation and treatment.

摘要

一名10岁男孩出现腹痛加剧、发热、呕吐和黑便3天的症状。腹部超声显示右上腹有一肿块,计算机断层血管造影(CTA)证实了这一情况,CTA显示一个8厘米边界清晰的腹膜后血管性肿块。碘-间位碘代苄胍(¹²³I-MIBG)扫描显示仅腹部肿块有摄取。随后的活检显示为副神经节瘤,采用化疗进行治疗。该病例代表了副神经节瘤伴有胃肠道出血的一种不寻常表现,并突出了CTA和¹²³I-MIBG在评估和治疗中的作用。

https://cdn.ncbi.nlm.nih.gov/pmc/blobs/7f31/3350036/3898aeb5259a/CRIM.PEDIATRICS2011-748543.001.jpg
https://cdn.ncbi.nlm.nih.gov/pmc/blobs/7f31/3350036/3898aeb5259a/CRIM.PEDIATRICS2011-748543.001.jpg
https://cdn.ncbi.nlm.nih.gov/pmc/blobs/7f31/3350036/3898aeb5259a/CRIM.PEDIATRICS2011-748543.001.jpg

相似文献

1
An unusual case of gastrointestinal bleeding.一例罕见的胃肠道出血病例。
Case Rep Pediatr. 2011;2011:748543. doi: 10.1155/2011/748543. Epub 2012 Jan 22.
2
Management dilemmas of retroperitoneal paraganglioma: report of a case.腹膜后副神经节瘤的管理困境:一例报告
Rev Med Chir Soc Med Nat Iasi. 2014 Jul-Sep;118(3):679-82.
3
[131I]metaiodobenzylguanidine therapy in paraganglioma.[131I]间碘苄胍治疗副神经节瘤
J Nucl Biol Med (1991). 1991 Oct-Dec;35(4):315-7.
4
Transformation of a Nonfunctional Paraganglioma With I-123 MIBG Scintigraphy Correlation: A Case Report.123I-MIBG 闪烁显像相关的无功能副神经节瘤转变:一例报告
Medicine (Baltimore). 2016 Jan;95(2):e2501. doi: 10.1097/MD.0000000000002501.
5
Unusual Presentation of Bladder Paraganglioma: Comparison of (131)I MIBG SPECT/CT and (68)Ga DOTANOC PET/CT.膀胱副神经节瘤的不寻常表现:(131)I MIBG SPECT/CT与(68)Ga DOTANOC PET/CT的比较
World J Nucl Med. 2016 Jan-Apr;15(1):65-7. doi: 10.4103/1450-1147.167591.
6
Uptake of I-metaiodobenzylguanidine by gastrointestinal stromal tumor.胃肠道间质瘤对碘代间位苄胍的摄取
Clin J Gastroenterol. 2017 Aug;10(4):364-370. doi: 10.1007/s12328-017-0743-2. Epub 2017 Apr 26.
7
An unusual localization of retroperitoneal paraganglioma: a case report.腹膜后副神经节瘤的罕见定位:一例报告
Pan Afr Med J. 2015 Sep 8;22:12. doi: 10.11604/pamj.2015.22.12.7437. eCollection 2015.
8
Composite paraganglioma-ganglioneuroma in the retroperitoneum.腹膜后复合副神经节瘤-节细胞神经瘤。
World J Surg Oncol. 2009 Nov 5;7:81. doi: 10.1186/1477-7819-7-81.
9
Case report: drug interference with MIBG uptake in a patient with metastatic paraganglioma.
Br J Radiol. 2004 Jun;77(918):525-7. doi: 10.1259/bjr/23668769.
10
Spontaneous Retroperitoneal Bleeding as a Complication of Unusual Renal Paraganglioma.自发性腹膜后出血作为罕见肾嗜铬细胞瘤的一种并发症
Case Rep Nephrol. 2022 Aug 30;2022:6882451. doi: 10.1155/2022/6882451. eCollection 2022.

本文引用的文献

1
Metastatic pheochromocytoma/paraganglioma related to primary tumor development in childhood or adolescence: significant link to SDHB mutations.儿童或青少年时期发生的与原发肿瘤相关的转移性嗜铬细胞瘤/副神经节瘤:与 SDHB 突变有显著关联。
J Clin Oncol. 2011 Nov 1;29(31):4137-42. doi: 10.1200/JCO.2011.34.6353. Epub 2011 Oct 3.
2
Molecular cytogenetic characterization in four pediatric pheochromocytomas and paragangliomas.四个小儿嗜铬细胞瘤和副神经节瘤的分子细胞遗传学特征。
Pathol Oncol Res. 2011 Dec;17(4):801-8. doi: 10.1007/s12253-011-9385-8. Epub 2011 Apr 5.
3
A current review of the etiology, diagnosis, and treatment of pediatric pheochromocytoma and paraganglioma.
儿童嗜铬细胞瘤和副神经节瘤的病因、诊断和治疗的最新综述。
J Clin Endocrinol Metab. 2010 May;95(5):2023-37. doi: 10.1210/jc.2009-2830. Epub 2010 Mar 9.
4
Phase II study of high-dose [131I]metaiodobenzylguanidine therapy for patients with metastatic pheochromocytoma and paraganglioma.高剂量[131I]间碘苄胍治疗转移性嗜铬细胞瘤和副神经节瘤患者的II期研究。
J Clin Oncol. 2009 Sep 1;27(25):4162-8. doi: 10.1200/JCO.2008.21.3496. Epub 2009 Jul 27.
5
Successful chemotherapy of hepatic metastases in a case of succinate dehydrogenase subunit B-related paraganglioma.琥珀酸脱氢酶亚基B相关副神经节瘤患者肝转移灶的成功化疗
Endocrine. 2009 Oct;36(2):189-93. doi: 10.1007/s12020-009-9219-6. Epub 2009 Jul 18.
6
Rationale and evidence for sunitinib in the treatment of malignant paraganglioma/pheochromocytoma.舒尼替尼治疗恶性副神经节瘤/嗜铬细胞瘤的理论依据和证据
J Clin Endocrinol Metab. 2009 Jan;94(1):5-9. doi: 10.1210/jc.2008-1836. Epub 2008 Nov 11.
7
Biochemically silent abdominal paragangliomas in patients with mutations in the succinate dehydrogenase subunit B gene.琥珀酸脱氢酶亚基B基因突变患者的生化无活性腹部副神经节瘤
J Clin Endocrinol Metab. 2008 Dec;93(12):4826-32. doi: 10.1210/jc.2008-1093. Epub 2008 Oct 7.
8
Clinical manifestations of familial paraganglioma and phaeochromocytomas in succinate dehydrogenase B (SDH-B) gene mutation carriers.琥珀酸脱氢酶B(SDH-B)基因突变携带者的家族性副神经节瘤和嗜铬细胞瘤的临床表现。
Clin Endocrinol (Oxf). 2008 Oct;69(4):587-96. doi: 10.1111/j.1365-2265.2008.03274.x. Epub 2008 Apr 14.
9
Abdominal paraganglioma in a pediatric patient.
Pediatr Radiol. 2008 May;38(5):592. doi: 10.1007/s00247-007-0717-5. Epub 2008 Jan 10.
10
Gangliocytic paraganglioma: case report and review of the literature.神经节细胞性副神经节瘤:病例报告及文献复习
J Gastrointest Surg. 2007 Oct;11(10):1351-4. doi: 10.1007/s11605-007-0217-9. Epub 2007 Jul 25.