• 文献检索
  • 文档翻译
  • 深度研究
  • 学术资讯
  • Suppr Zotero 插件Zotero 插件
  • 邀请有礼
  • 套餐&价格
  • 历史记录
应用&插件
Suppr Zotero 插件Zotero 插件浏览器插件Mac 客户端Windows 客户端微信小程序
定价
高级版会员购买积分包购买API积分包
服务
文献检索文档翻译深度研究API 文档MCP 服务
关于我们
关于 Suppr公司介绍联系我们用户协议隐私条款
关注我们

Suppr 超能文献

核心技术专利:CN118964589B侵权必究
粤ICP备2023148730 号-1Suppr @ 2026

文献检索

告别复杂PubMed语法,用中文像聊天一样搜索,搜遍4000万医学文献。AI智能推荐,让科研检索更轻松。

立即免费搜索

文件翻译

保留排版,准确专业,支持PDF/Word/PPT等文件格式,支持 12+语言互译。

免费翻译文档

深度研究

AI帮你快速写综述,25分钟生成高质量综述,智能提取关键信息,辅助科研写作。

立即免费体验

与下沉乳牙及额外前磨牙相关的前磨牙先天缺失:一例罕见病例报告。

Agenesis of premolar associated with submerged primary molar and a supernumerary premolar: An unusual case report.

作者信息

Nirmala S V S G, Sandeep C, Sivakumar N, Babu M S, Lalitha V

机构信息

Department of Pedodontics and Preventive Dentistry, Narayana Dental College, Nellore, Andhra Pradesh, India.

出版信息

Contemp Clin Dent. 2012 Apr;3(Suppl 1):S99-S102. doi: 10.4103/0976-237X.95116.

DOI:10.4103/0976-237X.95116
PMID:22629079
原文链接:https://pmc.ncbi.nlm.nih.gov/articles/PMC3354794/
Abstract

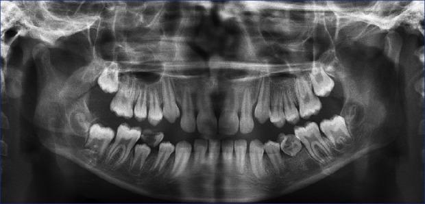
The combination of submerged primary molar, agenesis of permanent successor with a supernumerary in the same place is very rare. The purpose of this article is to report a case of submerged mandibular left second primary molar with supernumerary tooth in the same region along with agenesis of second premolar in an 11-year-old girl, its possible etiological factors, and a brief discussion on treatment options.

摘要

下颌乳磨牙下沉、恒牙胚缺失且在同一位置有额外牙的情况非常罕见。本文旨在报告一例11岁女孩下颌左侧第二乳磨牙下沉,同一区域有额外牙且第二前磨牙胚缺失的病例、其可能的病因,并对治疗方案进行简要讨论。

https://cdn.ncbi.nlm.nih.gov/pmc/blobs/5cc3/3354794/2683d690619e/CCD-3-99-g003.jpg
https://cdn.ncbi.nlm.nih.gov/pmc/blobs/5cc3/3354794/b5f74671b890/CCD-3-99-g001.jpg
https://cdn.ncbi.nlm.nih.gov/pmc/blobs/5cc3/3354794/957caf80a5d6/CCD-3-99-g002.jpg
https://cdn.ncbi.nlm.nih.gov/pmc/blobs/5cc3/3354794/2683d690619e/CCD-3-99-g003.jpg
https://cdn.ncbi.nlm.nih.gov/pmc/blobs/5cc3/3354794/b5f74671b890/CCD-3-99-g001.jpg
https://cdn.ncbi.nlm.nih.gov/pmc/blobs/5cc3/3354794/957caf80a5d6/CCD-3-99-g002.jpg
https://cdn.ncbi.nlm.nih.gov/pmc/blobs/5cc3/3354794/2683d690619e/CCD-3-99-g003.jpg

相似文献

1
Agenesis of premolar associated with submerged primary molar and a supernumerary premolar: An unusual case report.与下沉乳牙及额外前磨牙相关的前磨牙先天缺失:一例罕见病例报告。
Contemp Clin Dent. 2012 Apr;3(Suppl 1):S99-S102. doi: 10.4103/0976-237X.95116.
2
Dental anomaly patterns associated with tooth agenesis.与牙齿发育不全相关的牙齿异常模式。
Acta Odontol Scand. 2017 Apr;75(3):161-165. doi: 10.1080/00016357.2016.1273385. Epub 2017 Jan 25.
3
Unerupted second primary mandibular molar positioned inferior to the second premolar: case report.未萌出的下颌第二乳磨牙位于第二前磨牙下方:病例报告。
Pediatr Dent. 1999 May-Jun;21(3):205-8.
4
Endodontic Management of an Infected Primary Molar in a Child with Agenesis of the Permanent Premolar.恒牙前磨牙先天缺失患儿感染乳牙的牙髓治疗
Iran Endod J. 2017 Winter;12(1):119-122. doi: 10.22037/iej.2017.25.
5
Sexual dimorphism, pattern of third molar and mandibular second premolar agenesis in Indian paediatric orthodontic patients.印度儿童正畸患者的性二态性、第三磨牙模式及下颌第二前磨牙先天性缺失
Saudi Dent J. 2017 Apr;29(2):78-82. doi: 10.1016/j.sdentj.2017.01.004. Epub 2017 Mar 27.
6
Submerged mandibular carious deciduous second molar along with an impacted second premolar associated with an atypical inflammatory follicular cyst: a rare case report.下颌乳牙第二磨牙龋坏并伴有一颗埋伏阻生的第二前磨牙,同时伴有非典型炎性滤泡囊肿:一例罕见病例报告。
Indian J Dent Res. 2013 Nov-Dec;24(6):775-9. doi: 10.4103/0970-9290.127634.
7
Supernumerary tooth in the primary molar region: a case report.乳磨牙区多生牙:一例报告
J Dent Child (Chic). 2007 May-Aug;74(2):151-3.
8
Mandibular second premolar erupting between the second primary molar and the first permanent molar: report of case.
ASDC J Dent Child. 1987 Mar-Apr;54(2):123-5.
9
Deciduous Mandibular Second Molar with Supernumerary Roots and Root Canals Associated with Missing Mandibular Permanent Premolar.下颌乳第二磨牙伴额外根和根管与下颌第一前磨牙缺失相关
Int J Clin Pediatr Dent. 2011 May-Aug;4(2):167-9. doi: 10.5005/jp-journals-10005-1104. Epub 2010 Apr 15.
10
Hypohyperdontia: Agenesis of three third molars and mandibular centrals associated with midline supernumerary tooth in mandible.牙齿过少与过多并存:下颌三颗第三磨牙及下颌中切牙先天缺失,同时下颌存在中线多生牙。
Contemp Clin Dent. 2010 Jul;1(3):136-41. doi: 10.4103/0976-237X.72775.

引用本文的文献

1
Etiology, Diagnosis, Consequences and Treatment of Infraoccluded Primary Molars.乳牙低位阻生的病因、诊断、后果及治疗
Open Dent J. 2016 Dec 30;10:714-719. doi: 10.2174/1874210601610010714. eCollection 2016.

本文引用的文献

1
Supernumerary premolars: a literature review.多生磨牙:文献综述
Pediatr Dent. 2004 Sep-Oct;26(5):450-8.
2
Space-regaining treatment for a submerged primary molar: a case report.一颗低位乳牙的间隙保持治疗:病例报告
Int J Paediatr Dent. 2002 Jul;12(4):286-9. doi: 10.1046/j.1365-263x.2002.00374.x.
3
Supernumerary teeth: review of the literature and a survey of 152 cases.多生牙:文献综述及152例病例调查
Int J Paediatr Dent. 2002 Jul;12(4):244-54. doi: 10.1046/j.1365-263x.2002.00366.x.
4
Hypodontia, ankylosis and infraocclusion: report of a case restored with a fibre-reinforced ceromeric bridge.恒牙先天缺失、牙齿固连与低位咬合:一例采用纤维增强陶瓷桥修复的病例报告
Br Dent J. 2001 Dec 8;191(11):613-6. doi: 10.1038/sj.bdj.4801247.
5
Characteristics of incisor-premolar hypodontia in families.家族性切牙-前磨牙先天性缺牙的特征
J Dent Res. 2001 May;80(5):1445-50. doi: 10.1177/00220345010800051201.
6
The long-term survival of lower second primary molars in subjects with agenesis of the premolars.前磨牙先天缺失患者下第二乳磨牙的长期存留情况
Eur J Orthod. 2000 Jun;22(3):245-55. doi: 10.1093/ejo/22.3.245.
7
Persistence of deciduous molars in subjects with agenesis of the second premolars.第二前磨牙缺失患者乳牙磨牙的存留情况
Eur J Orthod. 2000 Jun;22(3):239-43. doi: 10.1093/ejo/22.3.239.
8
Production of matrix-degrading enzymes and inhibition of osteoclast-like cell differentiation by fibroblast-like cells from the periodontal ligament of human primary teeth.人乳牙牙周膜成纤维样细胞产生基质降解酶及抑制破骨样细胞分化
J Dent Res. 1999 Feb;78(2):681-9. doi: 10.1177/00220345990780020801.
9
Severe Infra-occlusion and failed eruption of deciduous molars associated with eruptive and developmental disturbances in the permanent dentition: a report of 28 selected cases.
Br J Orthod. 1997 May;24(2):149-57. doi: 10.1093/ortho/24.2.149.
10
Inherited primary failure of eruption in the primary dentition: report of five cases.乳牙列遗传性原发性萌出失败:5例报告
ASDC J Dent Child. 1997 Jan-Feb;64(1):43-7.