Suppr超能文献

cherubism:最佳临床实践。

Cherubism: best clinical practice.

机构信息

Department of Oral and Maxillofacial Surgery, Massachusetts General Hospital, Harvard School of Dental Medicine, Boston, MA, USA.

出版信息

Orphanet J Rare Dis. 2012 May 24;7 Suppl 1(Suppl 1):S6. doi: 10.1186/1750-1172-7-S1-S6.

Abstract

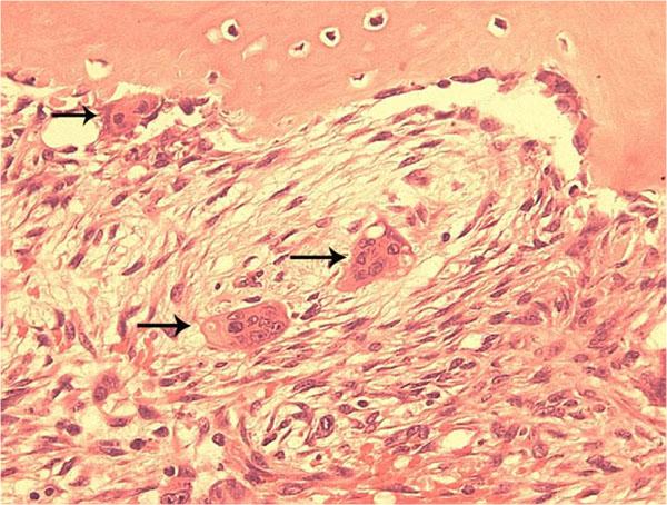
Cherubism is a skeletal dysplasia characterized by bilateral and symmetric fibro-osseous lesions limited to the mandible and maxilla. In most patients, cherubism is due to dominant mutations in the SH3BP2 gene on chromosome 4p16.3. Affected children appear normal at birth. Swelling of the jaws usually appears between 2 and 7 years of age, after which, lesions proliferate and increase in size until puberty. The lesions subsequently begin to regress, fill with bone and remodel until age 30, when they are frequently not detectable.Fibro-osseous lesions, including those in cherubism have been classified as quiescent, non-aggressive and aggressive on the basis of clinical behavior and radiographic findings. Quiescent cherubic lesions are usually seen in older patients and do not demonstrate progressive growth. Non-aggressive lesions are most frequently present in teenagers. Lesions in the aggressive form of cherubism occur in young children and are large, rapidly growing and may cause tooth displacement, root resorption, thinning and perforation of cortical bone.Because cherubism is usually self-limiting, operative treatment may not be necessary. Longitudinal observation and follow-up is the initial management in most cases. Surgical intervention with curettage, contouring or resection may be indicated for functional or aesthetic reasons. Surgical procedures are usually performed when the disease becomes quiescent. Aggressive lesions that cause severe functional problems such as airway obstruction justify early surgical intervention.

摘要

cherubism 是一种骨骼发育异常,其特征为双侧和对称的纤维骨性病变,仅限于下颌骨和上颌骨。在大多数患者中, cherubism 是由于 4p16.3 染色体上的 SH3BP2 基因突变引起的。受影响的儿童出生时外观正常。下颌骨肿胀通常在 2 至 7 岁之间出现,此后病变增殖并增大,直到青春期。病变随后开始消退,被骨填充并重塑,直到 30 岁时,通常无法检测到。纤维骨性病变,包括 cherubism 中的病变,根据临床表现和影像学表现分为静止性、非侵袭性和侵袭性。静止性 cherubism 病变通常见于老年患者,不表现为进行性生长。非侵袭性病变最常见于青少年。侵袭性 cherubism 中的病变发生在幼儿,病变大、生长迅速,可能导致牙齿移位、牙根吸收、皮质骨变薄和穿孔。由于 cherubism 通常是自限性的,因此可能不需要手术治疗。大多数情况下,初始治疗为长期观察和随访。出于功能或美观原因,可能需要进行刮除、整形或切除等手术干预。手术通常在疾病静止时进行。对于引起严重功能问题(如气道阻塞)的侵袭性病变,需要早期手术干预。

https://cdn.ncbi.nlm.nih.gov/pmc/blobs/af42/3359956/b595a2a55b04/1750-1172-7-S1-S6-1.jpg

文献检索

告别复杂PubMed语法,用中文像聊天一样搜索,搜遍4000万医学文献。AI智能推荐,让科研检索更轻松。

立即免费搜索

文件翻译

保留排版,准确专业,支持PDF/Word/PPT等文件格式,支持 12+语言互译。

免费翻译文档

深度研究

AI帮你快速写综述,25分钟生成高质量综述,智能提取关键信息,辅助科研写作。

立即免费体验