Suppr超能文献

正常压力脑积水作为幕上脑室外占位性病变的一种罕见表现:两例报告。

Normal pressure hydrocephalus as an unusual presentation of supratentorial extraventricular space-occupying processes: report on two cases.

作者信息

Naydenov E, Bussarsky V, Minkin K, Bussarsky A, Nachev S, Traykov L

机构信息

Department of Neurosurgery, University Hospital 'St. Ivan Rilski', Sofia, Bulgaria.

出版信息

Case Rep Oncol. 2012 Jan;5(1):143-7. doi: 10.1159/000336162. Epub 2012 Mar 23.

Abstract

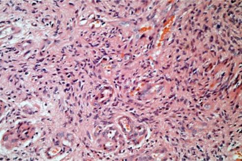
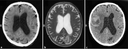
Normal pressure hydrocephalus (NPH) is a clinical and radiographic syndrome characterized by ventriculomegaly, abnormal gait, urinary incontinence, and dementia. The condition may occur due to a variety of secondary causes but may be idiopathic in approximately 50% of patients. Secondary causes may include head injury, subarachnoid hemorrhage, meningitis, and central nervous system tumor. Here, we describe two extremely rare cases of supratentorial extraventricular space-occupying processes: meningioma and glioblastoma multiforme, which initially presented with NPH.

摘要

正常压力脑积水(NPH)是一种临床和影像学综合征,其特征为脑室扩大、步态异常、尿失禁和痴呆。该病症可能由多种继发原因引起,但约50%的患者可能为特发性。继发原因可能包括头部损伤、蛛网膜下腔出血、脑膜炎和中枢神经系统肿瘤。在此,我们描述两例极其罕见的幕上脑室外占位性病变:脑膜瘤和多形性胶质母细胞瘤,它们最初表现为正常压力脑积水。

https://cdn.ncbi.nlm.nih.gov/pmc/blobs/25b7/3364074/c69ebecfcc18/cro-0005-0143-g01.jpg

文献检索

告别复杂PubMed语法,用中文像聊天一样搜索,搜遍4000万医学文献。AI智能推荐,让科研检索更轻松。

立即免费搜索

文件翻译

保留排版,准确专业,支持PDF/Word/PPT等文件格式,支持 12+语言互译。

免费翻译文档

深度研究

AI帮你快速写综述,25分钟生成高质量综述,智能提取关键信息,辅助科研写作。

立即免费体验