Suppr超能文献

胸骨后巨大甲状腺肿伴严重胸腔内气管狭窄的麻醉:挑战-病例报告-。

Anesthesia for massive retrosternal goiter with severe intrathoracic tracheal narrowing: the challenges imposed -A case report-.

机构信息

Department of Anesthesiology and Intensive Care, Sarawak General Hospital, Kuching, Sarawak, Malaysia.

出版信息

Korean J Anesthesiol. 2012 May;62(5):474-8. doi: 10.4097/kjae.2012.62.5.474. Epub 2012 May 24.

Abstract

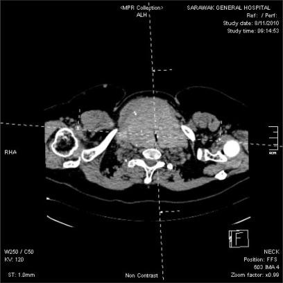
Anesthetic management of patients with mediastinal masses remains challenging as acute cardiorespiratory decompensation may follow induction of anesthesia. We describe a 57 year old lady with massive retrosternal goiter and severe intrathoracic tracheal compression who had a total thyroidectomy. Comprehensive contingency plans were an essential prerequisite for successful management of difficult airway, including multidisciplinary involvement of otorhinolaryngologic and cardiothoracic surgeons preparing for rigid bronchoscopy and cardiopulmonary bypass. Awake oral fiberoptic intubation was performed under dexmedetomidine sedation. Severe tracheal narrowing necessitated usage of a 5.0 mm uncuffed flexometallic endotracheal tube. Anesthesia was maintained with sevoflurane and dexmedetomidine infusion with target controlled infusion of remifentanil as analgesia. No muscle relaxant was given. Surgical manipulation led to intermittent total tracheal compression and inadequate ventilation. The tumor was successfully removed via the cervical approach. A close working relationship between anesthesiologists and surgeons was the key to the safe use of anesthesia and uneventful recovery of this patient.

摘要

纵隔肿块患者的麻醉管理仍然具有挑战性,因为麻醉诱导后可能会出现急性心肺代偿失调。我们描述了一位 57 岁的女性,患有巨大胸骨后甲状腺肿和严重的胸腔内气管压迫,需要进行全甲状腺切除术。为了成功管理困难气道,包括耳鼻喉科和心胸外科医生多学科参与准备硬质支气管镜检查和体外循环,综合应急计划是必不可少的前提条件。在右美托咪定镇静下进行清醒经口纤维光导插管。严重的气管狭窄需要使用 5.0 毫米无套囊 Flexometallic 气管内导管。麻醉维持使用七氟醚和右美托咪定输注,并使用瑞芬太尼靶控输注作为镇痛。未给予肌松剂。手术操作导致间歇性完全气管压迫和通气不足。肿瘤通过颈部入路成功切除。麻醉师和外科医生之间的密切合作关系是安全使用麻醉和使该患者顺利恢复的关键。

https://cdn.ncbi.nlm.nih.gov/pmc/blobs/edc0/3366316/5e5d845a8269/kjae-62-474-g001.jpg

文献检索

告别复杂PubMed语法,用中文像聊天一样搜索,搜遍4000万医学文献。AI智能推荐,让科研检索更轻松。

立即免费搜索

文件翻译

保留排版,准确专业,支持PDF/Word/PPT等文件格式,支持 12+语言互译。

免费翻译文档

深度研究

AI帮你快速写综述,25分钟生成高质量综述,智能提取关键信息,辅助科研写作。

立即免费体验