Suppr超能文献

腔内注射硬化剂对周围组织和周围神经的有害影响:一项实验研究。

Detrimental influences of intraluminally-administered sclerotic agents on surrounding tissues and peripheral nerves: an experimental study.

作者信息

Fujiki Masahide, Kurita Masakazu, Ozaki Mine, Kawakami Hayato, Kaji Nobuyuki, Takushima Akihiko, Harii Kiyonori

机构信息

Department of Plastic Surgery, Kyorin University School of Medicine, Mitaka, Tokyo, Japan.

出版信息

J Plast Surg Hand Surg. 2012 Sep;46(3-4):145-51. doi: 10.3109/2000656X.2012.675881. Epub 2012 Jun 11.

Abstract

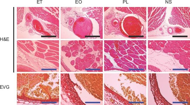
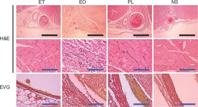
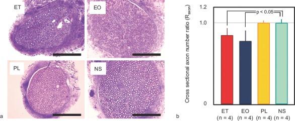
The minimally-invasive nature of sclerotherapy makes it one of the first treatment options for venous malformations, although treatment-related complications, such as peripheral nerve paralysis, have been reported in some clinical cases. However, no studies of the aetiology of the detrimental effects of intraluminally-administered sclerotic agents on the surrounding tissues, including the peripheral nerves, have yet been published. This study therefore investigated the influences of intraluminally-administered sclerotic agents on the tissues surrounding the injection site using a newly-developed rat femoral vein model. Using this model, the effects of absolute ethanol, 5% ethanolamine oleate, and 1% polidocanol were compared histologically with those of normal saline controls. Fluorescein isothiocyanate-conjugated agents were administered and the leakage of sclerotic agents through the venous wall was evaluated by fluorescence microscopy. Damage to the adjacent femoral nerve was quantitatively evaluated by counting the numbers of axons in cross-sections. All the sclerotic agents caused vascular wall injuries and leakage into the surrounding tissues. The number of axons in the femoral nerve was significantly reduced following administration of absolute ethanol or 5% ethanolamine oleate, compared with normal saline. The results of this study suggest that sclerotic agents commonly leak out the vascular lumen, and some agents can cause adjacent nerve injury. It is important to be aware of this type of complication of sclerotherapy for venous malformations when selecting appropriate therapeutic interventions.

摘要

硬化疗法的微创特性使其成为静脉畸形的首选治疗方案之一,尽管在一些临床病例中已报道了与治疗相关的并发症,如周围神经麻痹。然而,关于腔内注射硬化剂对包括周围神经在内的周围组织产生有害影响的病因学研究尚未发表。因此,本研究使用新开发的大鼠股静脉模型,研究了腔内注射硬化剂对注射部位周围组织的影响。利用该模型,将无水乙醇、5%油酸乙醇胺和1%聚多卡醇的作用与生理盐水对照组进行了组织学比较。给予异硫氰酸荧光素偶联剂,并通过荧光显微镜评估硬化剂通过静脉壁的渗漏情况。通过计数横截面中的轴突数量对相邻股神经的损伤进行定量评估。所有硬化剂均导致血管壁损伤并渗漏到周围组织中。与生理盐水相比,给予无水乙醇或5%油酸乙醇胺后,股神经中的轴突数量显著减少。本研究结果表明,硬化剂通常会从血管腔渗漏出来,并且一些药物会导致相邻神经损伤。在选择合适的治疗干预措施时,了解硬化疗法治疗静脉畸形的这类并发症很重要。

https://cdn.ncbi.nlm.nih.gov/pmc/blobs/d51e/3469215/13d6d240e39b/spla46-145-f1.jpg

文献AI研究员

20分钟写一篇综述,助力文献阅读效率提升50倍。

立即体验

用中文搜PubMed

大模型驱动的PubMed中文搜索引擎

马上搜索

文档翻译

学术文献翻译模型,支持多种主流文档格式。

立即体验