• 文献检索
  • 文档翻译
  • 深度研究
  • 学术资讯
  • Suppr Zotero 插件Zotero 插件
  • 邀请有礼
  • 套餐&价格
  • 历史记录
应用&插件
Suppr Zotero 插件Zotero 插件浏览器插件Mac 客户端Windows 客户端微信小程序
定价
高级版会员购买积分包购买API积分包
服务
文献检索文档翻译深度研究API 文档MCP 服务
关于我们
关于 Suppr公司介绍联系我们用户协议隐私条款
关注我们

Suppr 超能文献

核心技术专利:CN118964589B侵权必究
粤ICP备2023148730 号-1Suppr @ 2026

文献检索

告别复杂PubMed语法,用中文像聊天一样搜索,搜遍4000万医学文献。AI智能推荐,让科研检索更轻松。

立即免费搜索

文件翻译

保留排版,准确专业,支持PDF/Word/PPT等文件格式,支持 12+语言互译。

免费翻译文档

深度研究

AI帮你快速写综述,25分钟生成高质量综述,智能提取关键信息,辅助科研写作。

立即免费体验

骨钙素-1 的过表达抑制了小鼠的活性氧和肾缺血/再灌注损伤。

Overexpression of stanniocalcin-1 inhibits reactive oxygen species and renal ischemia/reperfusion injury in mice.

机构信息

Department of Medicine, Division of Nephrology, Baylor College of Medicine, The University of Western Ontario, London, Ontario, Canada.

出版信息

Kidney Int. 2012 Oct;82(8):867-77. doi: 10.1038/ki.2012.223. Epub 2012 Jun 13.

DOI:10.1038/ki.2012.223
PMID:22695329
原文链接:https://pmc.ncbi.nlm.nih.gov/articles/PMC3443530/
Abstract

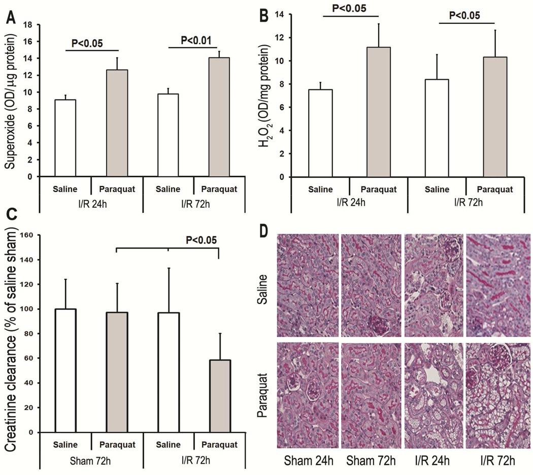
Reactive oxygen species, endothelial dysfunction, inflammation, and mitogen-activated protein kinases have important roles in the pathogenesis of ischemia/reperfusion kidney injury. Stanniocalcin-1 (STC1) suppresses superoxide generation in many systems through the induction of mitochondrial uncoupling proteins and blocks the cytokine-induced rise in endothelial permeability. Here we tested whether transgenic overexpression of STC1 protects from bilateral ischemia/reperfusion kidney injury. This injury in wild-type mice caused a halving of the creatinine clearance; severe tubular vacuolization and cast formation; increased infiltration of macrophages and T cells; higher vascular permeability; greater production of superoxide and hydrogen peroxide; and higher ratio of activated extracellular regulated kinase/activated Jun-N-terminal kinase and p38, all compared to sham-treated controls. Mice transgenic for human STC1 expression, however, had resistance to equivalent ischemia/reperfusion injury indicated as no significant change from controls in any of these parameters. Tubular epithelial cells in transgenic mice expressed higher mitochondrial uncoupling protein 2 and lower superoxide generation. Pre-treatment of transgenic mice with paraquat, a generator of reactive oxygen species, before injury restored the susceptibility to ischemia/reperfusion kidney injury, suggesting that STC1 protects by an anti-oxidant mechanism. Thus, STC1 may be a therapeutic target for ischemia/reperfusion kidney injury.

摘要

活性氧、内皮功能障碍、炎症和丝裂原活化蛋白激酶在缺血/再灌注肾损伤的发病机制中起重要作用。促甲状腺激素释放激素 1(STC1)通过诱导线粒体解偶联蛋白抑制许多系统中超氧化物的产生,并阻止细胞因子诱导的内皮通透性增加。在这里,我们测试了 STC1 的转基因过表达是否能保护免受双侧缺血/再灌注肾损伤。这种在野生型小鼠中的损伤导致肌酐清除率减半;严重的肾小管空泡化和铸型形成;巨噬细胞和 T 细胞浸润增加;血管通透性增加;超氧化物和过氧化氢产生增加;以及激活的细胞外调节激酶/激活的 Jun-N-末端激酶和 p38 的比值更高,与假手术对照组相比均如此。然而,表达人 STC1 的转基因小鼠对等效的缺血/再灌注损伤具有抗性,这些参数中没有任何一个与对照组有显著变化。转基因小鼠的肾小管上皮细胞表达更高的线粒体解偶联蛋白 2 和更低的超氧化物生成。在损伤前用百草枯预处理转基因小鼠,一种活性氧的生成剂,恢复了对缺血/再灌注肾损伤的易感性,表明 STC1 通过抗氧化机制起保护作用。因此,STC1 可能是缺血/再灌注肾损伤的治疗靶点。

https://cdn.ncbi.nlm.nih.gov/pmc/blobs/4d0a/3443530/592cca72cf7a/nihms376102f10.jpg
https://cdn.ncbi.nlm.nih.gov/pmc/blobs/4d0a/3443530/a4d1523bbae6/nihms376102f1.jpg
https://cdn.ncbi.nlm.nih.gov/pmc/blobs/4d0a/3443530/7613a246011a/nihms376102f2.jpg
https://cdn.ncbi.nlm.nih.gov/pmc/blobs/4d0a/3443530/d75f8e02056e/nihms376102f3.jpg
https://cdn.ncbi.nlm.nih.gov/pmc/blobs/4d0a/3443530/2217322c6feb/nihms376102f4.jpg
https://cdn.ncbi.nlm.nih.gov/pmc/blobs/4d0a/3443530/e821f32614ba/nihms376102f5.jpg
https://cdn.ncbi.nlm.nih.gov/pmc/blobs/4d0a/3443530/aeb4e0d08e98/nihms376102f6.jpg
https://cdn.ncbi.nlm.nih.gov/pmc/blobs/4d0a/3443530/2885a012ec12/nihms376102f7.jpg
https://cdn.ncbi.nlm.nih.gov/pmc/blobs/4d0a/3443530/a348529352a9/nihms376102f8.jpg
https://cdn.ncbi.nlm.nih.gov/pmc/blobs/4d0a/3443530/381e25d15975/nihms376102f9.jpg
https://cdn.ncbi.nlm.nih.gov/pmc/blobs/4d0a/3443530/592cca72cf7a/nihms376102f10.jpg
https://cdn.ncbi.nlm.nih.gov/pmc/blobs/4d0a/3443530/a4d1523bbae6/nihms376102f1.jpg
https://cdn.ncbi.nlm.nih.gov/pmc/blobs/4d0a/3443530/7613a246011a/nihms376102f2.jpg
https://cdn.ncbi.nlm.nih.gov/pmc/blobs/4d0a/3443530/d75f8e02056e/nihms376102f3.jpg
https://cdn.ncbi.nlm.nih.gov/pmc/blobs/4d0a/3443530/2217322c6feb/nihms376102f4.jpg
https://cdn.ncbi.nlm.nih.gov/pmc/blobs/4d0a/3443530/e821f32614ba/nihms376102f5.jpg
https://cdn.ncbi.nlm.nih.gov/pmc/blobs/4d0a/3443530/aeb4e0d08e98/nihms376102f6.jpg
https://cdn.ncbi.nlm.nih.gov/pmc/blobs/4d0a/3443530/2885a012ec12/nihms376102f7.jpg
https://cdn.ncbi.nlm.nih.gov/pmc/blobs/4d0a/3443530/a348529352a9/nihms376102f8.jpg
https://cdn.ncbi.nlm.nih.gov/pmc/blobs/4d0a/3443530/381e25d15975/nihms376102f9.jpg
https://cdn.ncbi.nlm.nih.gov/pmc/blobs/4d0a/3443530/592cca72cf7a/nihms376102f10.jpg

相似文献

1
Overexpression of stanniocalcin-1 inhibits reactive oxygen species and renal ischemia/reperfusion injury in mice.骨钙素-1 的过表达抑制了小鼠的活性氧和肾缺血/再灌注损伤。
Kidney Int. 2012 Oct;82(8):867-77. doi: 10.1038/ki.2012.223. Epub 2012 Jun 13.
2
Stanniocalcin-1 inhibits renal ischemia/reperfusion injury via an AMP-activated protein kinase-dependent pathway.鲽源钙调蛋白-1通过AMP活化蛋白激酶依赖性途径抑制肾缺血/再灌注损伤。
J Am Soc Nephrol. 2015 Feb;26(2):364-78. doi: 10.1681/ASN.2013070703. Epub 2014 Jul 10.
3
Stanniocalcin-1 Protects a Mouse Model from Renal Ischemia-Reperfusion Injury by Affecting ROS-Mediated Multiple Signaling Pathways.1,25-二羟基维生素D3通过影响ROS介导的多种信号通路保护小鼠模型免受肾缺血-再灌注损伤。
Int J Mol Sci. 2016 Jul 12;17(7):1051. doi: 10.3390/ijms17071051.
4
Stanniocalcin-1 inhibits thrombin-induced signaling and protects from bleomycin-induced lung injury.鲎钙蛋白-1抑制凝血酶诱导的信号传导,并保护免受博来霉素诱导的肺损伤。
Sci Rep. 2015 Dec 7;5:18117. doi: 10.1038/srep18117.
5
Stanniocalcin-1 ameliorates lipopolysaccharide-induced pulmonary oxidative stress, inflammation, and apoptosis in mice.鲽鱼钙蛋白-1可改善脂多糖诱导的小鼠肺部氧化应激、炎症和细胞凋亡。
Free Radic Biol Med. 2014 Jun;71:321-331. doi: 10.1016/j.freeradbiomed.2014.03.034. Epub 2014 Mar 28.
6
Peritubular capillary preservation with COMP-angiopoietin-1 decreases ischemia-reperfusion-induced acute kidney injury.使用COMP-血管生成素-1保存肾小管周围毛细血管可减少缺血再灌注诱导的急性肾损伤。
Am J Physiol Renal Physiol. 2009 Oct;297(4):F952-60. doi: 10.1152/ajprenal.00064.2009. Epub 2009 Aug 5.
7
AKI after conditional and kidney-specific knockdown of stanniocalcin-1.在条件性和肾脏特异性敲低鲽鱼降钙素-1后发生的急性肾损伤。
J Am Soc Nephrol. 2014 Oct;25(10):2303-15. doi: 10.1681/ASN.2013070690. Epub 2014 Apr 3.
8
Human stanniocalcin-1 suppresses angiotensin II-induced superoxide generation in cardiomyocytes through UCP3-mediated anti-oxidant pathway.人 STC-1 通过 UCP3 介导的抗氧化途径抑制心肌细胞中血管紧张素 II 诱导的超氧化物生成。
PLoS One. 2012;7(5):e36994. doi: 10.1371/journal.pone.0036994. Epub 2012 May 31.
9
ADAMTS13 protects mice against renal ischemia-reperfusion injury by reducing inflammation and improving endothelial function.ADAMTS13 通过减少炎症和改善内皮功能来保护小鼠免受肾缺血再灌注损伤。
Am J Physiol Renal Physiol. 2019 Jan 1;316(1):F134-F145. doi: 10.1152/ajprenal.00405.2018. Epub 2018 Nov 21.
10
Uncoupling protein 1 inhibits mitochondrial reactive oxygen species generation and alleviates acute kidney injury.解偶联蛋白 1 抑制线粒体活性氧的产生并减轻急性肾损伤。
EBioMedicine. 2019 Nov;49:331-340. doi: 10.1016/j.ebiom.2019.10.023. Epub 2019 Oct 31.

引用本文的文献

1
Protective Effects of Phoenixin-14 Administration Against Renal Ischemia/Reperfusion Injury in Rats.给予腓肽-14对大鼠肾脏缺血/再灌注损伤的保护作用
J Biochem Mol Toxicol. 2025 Mar;39(3):e70200. doi: 10.1002/jbt.70200.
2
Variants in tubule epithelial regulatory elements mediate most heritable differences in human kidney function.肾小管上皮细胞调节元件的变异介导了人类肾功能的大部分可遗传性差异。
Nat Genet. 2024 Oct;56(10):2078-2092. doi: 10.1038/s41588-024-01904-6. Epub 2024 Sep 10.
3
Stanniocalcin-1 Promotes PARP1-Dependent Cell Death via JNK Activation in Colitis.

本文引用的文献

1
Distinct macrophage phenotypes contribute to kidney injury and repair.不同的巨噬细胞表型有助于肾脏损伤和修复。
J Am Soc Nephrol. 2011 Feb;22(2):317-26. doi: 10.1681/ASN.2009060615.
2
The mitochondrial component of intracrine action.细胞内作用的线粒体组分。
Am J Physiol Heart Circ Physiol. 2010 Sep;299(3):H577-83. doi: 10.1152/ajpheart.00421.2010. Epub 2010 Jul 9.
3
Mammalian stanniocalcin-1 activates mitochondrial antioxidant pathways: new paradigms for regulation of macrophages and endothelium.哺乳动物的 stanniocalcin-1 激活线粒体抗氧化途径:调节巨噬细胞和内皮细胞的新范例。
在结肠炎中,1型鲟鱼钙调蛋白通过激活JNK促进PARP1依赖性细胞死亡。
Adv Sci (Weinh). 2024 Feb;11(5):e2304123. doi: 10.1002/advs.202304123. Epub 2023 Dec 13.
4
Chronic Interstitial Nephritis in Agricultural Communities: Observational and Mechanistic Evidence Supporting the Role of Nephrotoxic Agrochemicals.农业社区中的慢性间质性肾炎:支持肾毒性农用化学品作用的观察和机制证据。
Clin J Am Soc Nephrol. 2024 Apr 1;19(4):538-545. doi: 10.2215/CJN.0000000000000312. Epub 2023 Sep 6.
5
Importance of Mitochondria in Cardiac Pathologies: Focus on Uncoupling Proteins and Monoamine Oxidases.线粒体在心脏病理学中的重要性:聚焦解偶联蛋白和单胺氧化酶。
Int J Mol Sci. 2023 Mar 30;24(7):6459. doi: 10.3390/ijms24076459.
6
Tubular epithelial progenitors are excreted in urine during recovery from severe acute kidney injury and are able to expand and differentiate .在严重急性肾损伤恢复期间,管状上皮祖细胞从尿液中排出,并能够扩增和分化。
PeerJ. 2022 Oct 20;10:e14110. doi: 10.7717/peerj.14110. eCollection 2022.
7
Urinary Collectrin (TMEM27) as Novel Marker for Acute Kidney Injury.尿收集素(TMEM27)作为急性肾损伤的新型标志物。
Life (Basel). 2022 Sep 6;12(9):1391. doi: 10.3390/life12091391.
8
Effect of the Porcine STC-1 Gene on Autophagy and Mitochondrial Function as Induced by Serum Starvation.猪 STC-1 基因对饥饿诱导的自噬和线粒体功能的影响。
Biochem Genet. 2022 Dec;60(6):2533-2551. doi: 10.1007/s10528-022-10233-4. Epub 2022 May 19.
9
Megalin-Mediated Trafficking of Mitochondrial Intracrines: Relevance to Signaling and Metabolism.巨蛋白介导的线粒体内分泌物转运:与信号传导和代谢的相关性
J Cell Immunol. 2021 Nov 23;3(6):364-369.
10
Urinary C3 levels associated with sepsis and acute kidney injury-A pilot study.尿 C3 水平与脓毒症和急性肾损伤的相关性:一项初步研究。
PLoS One. 2021 Nov 12;16(11):e0259777. doi: 10.1371/journal.pone.0259777. eCollection 2021.
Am J Physiol Renal Physiol. 2010 Feb;298(2):F248-54. doi: 10.1152/ajprenal.00260.2009. Epub 2009 Aug 5.
4
Stanniocalcin-1 suppresses superoxide generation in macrophages through induction of mitochondrial UCP2.1,25-二羟基维生素D3通过诱导线粒体解偶联蛋白2抑制巨噬细胞中超氧化物的生成。
J Leukoc Biol. 2009 Oct;86(4):981-8. doi: 10.1189/jlb.0708454. Epub 2009 Jul 14.
5
The interaction between ischemia-reperfusion and immune responses in the kidney.肾脏中缺血再灌注与免疫反应之间的相互作用。
J Mol Med (Berl). 2009 Sep;87(9):859-64. doi: 10.1007/s00109-009-0491-y. Epub 2009 Jun 28.
6
Stanniocalcin-1 acts in a negative feedback loop in the prosurvival ERK1/2 signaling pathway during oxidative stress.在氧化应激期间,1型鲽源钙素在促生存的细胞外信号调节激酶1/2(ERK1/2)信号通路中以负反馈回路发挥作用。
Oncogene. 2009 May 7;28(18):1982-92. doi: 10.1038/onc.2009.65. Epub 2009 Apr 6.
7
Effect of T cells on vascular permeability in early ischemic acute kidney injury in mice.T细胞对小鼠早期缺血性急性肾损伤中血管通透性的影响。
Microvasc Res. 2009 May;77(3):340-7. doi: 10.1016/j.mvr.2009.01.011. Epub 2009 Feb 7.
8
Multipotent stromal cells are activated to reduce apoptosis in part by upregulation and secretion of stanniocalcin-1.多能基质细胞被激活,部分通过上调和分泌鲽鱼钙蛋白-1来减少细胞凋亡。
Stem Cells. 2009 Mar;27(3):670-681. doi: 10.1002/stem.20080742.
9
Anti-inflammatory and renal protective actions of stanniocalcin-1 in a model of anti-glomerular basement membrane glomerulonephritis.1,25-二羟基维生素D3对抗肾小球基底膜肾小球肾炎模型的抗炎及肾脏保护作用
Am J Pathol. 2009 Apr;174(4):1368-78. doi: 10.2353/ajpath.2009.080476. Epub 2009 Feb 26.
10
Regulation of endothelial barrier function by reactive oxygen and nitrogen species.活性氧和氮物种对内皮屏障功能的调节
Microvasc Res. 2009 Jan;77(1):26-34. doi: 10.1016/j.mvr.2008.10.005. Epub 2008 Nov 7.