Suppr超能文献

神经促红细胞生成素鼻腔给药治疗蒙古沙鼠局灶性缺血模型的剂量效应评估及治疗窗

Dose effect evaluation and therapeutic window of the neuro-EPO nasal application for the treatment of the focal ischemia model in the Mongolian gerbil.

作者信息

Teste Iliana Sosa, Tamos Yuneidys Mengana, Cruz Yamila Rodríguez, Cernada Adriana Muñoz, Rodríguez Janette Cruz, Martínez Nelvis Subirós, Antich Rosa Maria Coro, González-Quevedo Alina, Rodríguez Julio Cesar García

机构信息

National Center for Laboratory Animal Breeding, Havana, Cuba.

出版信息

ScientificWorldJournal. 2012;2012:607498. doi: 10.1100/2012/607498. Epub 2012 May 22.

Abstract

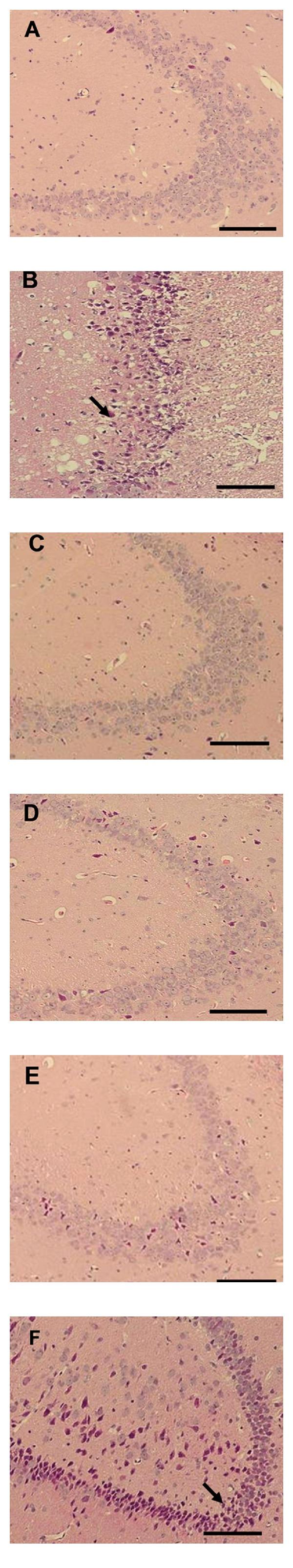
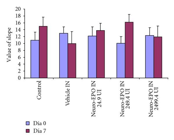
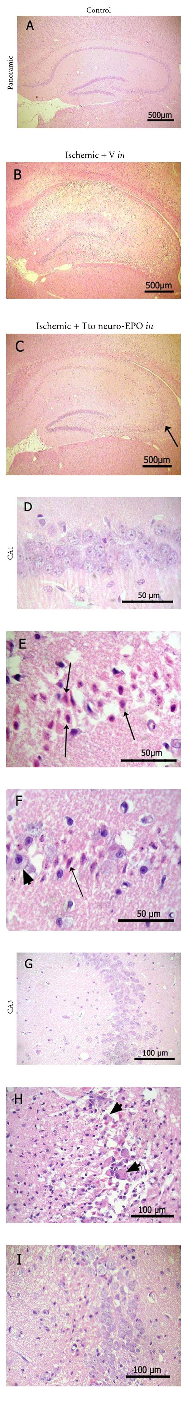
Cerebrovascular disease is the third leading cause of death and the leading cause of disability in Cuba and in several developed countries. A possible neuroprotective agent is the rHu-EPO, whose effects have been demonstrated in models of brain ischemia. The Neuro-EPO is a derivative of the rHu-EPO that avoids the stimulation of erythropoiesis. The aim of this study was to determine the Neuro-EPO delivery into the central nervous system (CNS) to exert a neuroprotective effect in cerebral ischemia model of the Mongolian gerbil. The Neuro-EPO in a rate of 249.4 UI every 8 hours for 4 days showed 25% higher viability efficacy (P > 0.01), improving neurological score and behavior of the spontaneous exploratory activity, the preservation of CA3 areas of the hippocampus, the cortex, and thalamic nuclei in the focal ischemia model of the Mongolian gerbil. In summary, this study, the average dose-used Neuro-EPO (249.4 UI/10 μL/every 8 hours for 4 days), proved to be valid indicators of viability, neurological status, and spontaneous exploratory activity, being significantly lower than that reported for the systemically use of the rHu-EPO as a neuroprotectant. Indeed, up to 12 h after brain ischemia is very positive Neuro-EPO administration by the nasal route as a candidate for neuroprotection.

摘要

脑血管疾病是古巴以及几个发达国家的第三大死因和致残的首要原因。一种可能的神经保护剂是重组人促红细胞生成素(rHu-EPO),其在脑缺血模型中的作用已得到证实。神经促红细胞生成素(Neuro-EPO)是rHu-EPO的衍生物,可避免刺激红细胞生成。本研究的目的是确定Neuro-EPO进入中枢神经系统(CNS),以在蒙古沙鼠脑缺血模型中发挥神经保护作用。每8小时以249.4国际单位(UI)的剂量给予Neuro-EPO,持续4天,其生存效力提高了25%(P>0.01),改善了神经评分和自发探索活动的行为,在蒙古沙鼠局灶性缺血模型中保护了海马体、皮质和丘脑核的CA3区域。总之,在本研究中,所使用的Neuro-EPO平均剂量(每8小时249.4 UI/10μL,持续4天)被证明是生存能力、神经状态和自发探索活动的有效指标,显著低于将rHu-EPO作为神经保护剂全身使用时所报告的剂量。事实上,在脑缺血后长达12小时,经鼻给予Neuro-EPO作为神经保护候选药物具有非常积极的作用。

https://cdn.ncbi.nlm.nih.gov/pmc/blobs/9183/3366217/41129fb96693/TSWJ2012-607498.001.jpg

文献AI研究员

20分钟写一篇综述,助力文献阅读效率提升50倍。

立即体验

用中文搜PubMed

大模型驱动的PubMed中文搜索引擎

马上搜索

文档翻译

学术文献翻译模型,支持多种主流文档格式。

立即体验