• 文献检索
  • 文档翻译
  • 深度研究
  • 学术资讯
  • Suppr Zotero 插件Zotero 插件
  • 邀请有礼
  • 套餐&价格
  • 历史记录
应用&插件
Suppr Zotero 插件Zotero 插件浏览器插件Mac 客户端Windows 客户端微信小程序
定价
高级版会员购买积分包购买API积分包
服务
文献检索文档翻译深度研究API 文档MCP 服务
关于我们
关于 Suppr公司介绍联系我们用户协议隐私条款
关注我们

Suppr 超能文献

核心技术专利:CN118964589B侵权必究
粤ICP备2023148730 号-1Suppr @ 2026

文献检索

告别复杂PubMed语法,用中文像聊天一样搜索,搜遍4000万医学文献。AI智能推荐,让科研检索更轻松。

立即免费搜索

文件翻译

保留排版,准确专业,支持PDF/Word/PPT等文件格式,支持 12+语言互译。

免费翻译文档

深度研究

AI帮你快速写综述,25分钟生成高质量综述,智能提取关键信息,辅助科研写作。

立即免费体验

胎粪性腹膜炎假性囊肿会阻碍分娩吗?

Does meconium peritonitis pseudo-cyst obstruct labour?

作者信息

Al Tawil Khalil, Salhi Walid, Sultan Safiah, Namshan Mohammad, Mohammed Saeed

机构信息

Department of Paediatrics, King Abdulaziz Medical City, P.O. Box 22490, Riyadh 11426, Saudi Arabia.

出版信息

Case Rep Obstet Gynecol. 2012;2012:593143. doi: 10.1155/2012/593143. Epub 2012 Jun 7.

DOI:10.1155/2012/593143
PMID:22720178
原文链接:https://pmc.ncbi.nlm.nih.gov/articles/PMC3375074/
Abstract

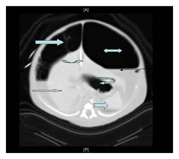
Meconium peritonitis pseudo-cyst is very rare. Its perinatal management is controversial and can be associated with increased fetomaternal morbidity and mortality. A 34-week gestation infant with large meconium peritonitis pseudo-cyst, detected by intrapartum fetal ultrasound study, had abnormally increased ratio of fetal abdominal circumference to head circumference. Intrapartum aspiration of the pseudo-cyst was performed and was followed by a smooth vaginal delivery. The postnatal course of the baby showed that early laparotomy was essential for stabilisation of the infant's general condition.

摘要

胎粪性腹膜炎假性囊肿非常罕见。其围产期管理存在争议,且可能增加母婴发病率和死亡率。一名34周妊娠的婴儿,通过产时胎儿超声检查发现患有巨大胎粪性腹膜炎假性囊肿,其胎儿腹围与头围之比异常增加。对假性囊肿进行了产时抽吸,随后顺利经阴道分娩。婴儿的产后病程表明,早期剖腹手术对于稳定婴儿的一般状况至关重要。

https://cdn.ncbi.nlm.nih.gov/pmc/blobs/d429/3375074/a28d4192dfa6/CRIM.OBGYN2012-593143.003.jpg
https://cdn.ncbi.nlm.nih.gov/pmc/blobs/d429/3375074/0f62198f01ff/CRIM.OBGYN2012-593143.001.jpg
https://cdn.ncbi.nlm.nih.gov/pmc/blobs/d429/3375074/0d029d618d99/CRIM.OBGYN2012-593143.002.jpg
https://cdn.ncbi.nlm.nih.gov/pmc/blobs/d429/3375074/a28d4192dfa6/CRIM.OBGYN2012-593143.003.jpg
https://cdn.ncbi.nlm.nih.gov/pmc/blobs/d429/3375074/0f62198f01ff/CRIM.OBGYN2012-593143.001.jpg
https://cdn.ncbi.nlm.nih.gov/pmc/blobs/d429/3375074/0d029d618d99/CRIM.OBGYN2012-593143.002.jpg
https://cdn.ncbi.nlm.nih.gov/pmc/blobs/d429/3375074/a28d4192dfa6/CRIM.OBGYN2012-593143.003.jpg

相似文献

1
Does meconium peritonitis pseudo-cyst obstruct labour?胎粪性腹膜炎假性囊肿会阻碍分娩吗?
Case Rep Obstet Gynecol. 2012;2012:593143. doi: 10.1155/2012/593143. Epub 2012 Jun 7.
2
Vaginal delivery of breech presentation.臀位的阴道分娩
J Obstet Gynaecol Can. 2009 Jun;31(6):557-566. doi: 10.1016/S1701-2163(16)34221-9.
3
A Rare Case of Meconium Periorchitis Diagnosed in Utero.产前诊断的胎粪性睾丸炎罕见病例。
Case Rep Obstet Gynecol. 2015;2015:606134. doi: 10.1155/2015/606134. Epub 2015 Sep 27.
4
Prenatal detection of the cystic form of meconium peritonitis: no issues for delayed postnatal surgery.胎粪性腹膜炎囊性形式的产前检测:对延迟出生后手术无影响。
Pediatr Surg Int. 2008 Sep;24(9):1061-5. doi: 10.1007/s00383-008-2194-9. Epub 2008 Jul 31.
5
Meconium peritonitis and pseudo-cyst formation: prenatal diagnosis and post-natal course.胎粪性腹膜炎与假性囊肿形成:产前诊断与产后病程
Prenat Diagn. 2003 Nov;23(11):904-8. doi: 10.1002/pd.720.
6
Postnatal Treatment in Antenatally Diagnosed Meconium Peritonitis.产前诊断胎粪性腹膜炎的产后治疗
Chirurgia (Bucur). 2015 Nov-Dec;110(6):538-44.
7
Meconium peritonitis-antenatal diagnosis by ultrasound.
Changgeng Yi Xue Za Zhi. 1992 Sep;15(3):155-60.
8
The natural history of meconium peritonitis diagnosed in utero.产前诊断的胎粪性腹膜炎的自然病史。
J Pediatr Surg. 1995 Jul;30(7):979-82. doi: 10.1016/0022-3468(95)90325-9.
9
Meconium peritonitis in utero: prenatal sonographic findings and clinical implications.胎儿期胎粪性腹膜炎:产前超声检查结果及临床意义。
J Chin Med Assoc. 2003 Jun;66(6):355-9.
10
Image of the Month: Meconium Peritonitis with Pseudocyst-A Spot Diagnosis in Newborns.本月影像:伴有假性囊肿的胎粪性腹膜炎——新生儿的一个即时诊断病例
European J Pediatr Surg Rep. 2020 Jan;8(1):e1-e2. doi: 10.1055/s-0039-3399556. Epub 2020 Jan 28.

本文引用的文献

1
Meconium pseudocyst secondary to ileum volvulus perforation without peritoneal calcification: a case report.继发于回肠扭转穿孔且无腹膜钙化的胎粪假性囊肿:一例报告
J Med Case Rep. 2010 Aug 31;4:292. doi: 10.1186/1752-1947-4-292.
2
Meconium peritonitis in Nigerian children.尼日利亚儿童的胎粪性腹膜炎
Ann Afr Med. 2008 Dec;7(4):187-91. doi: 10.4103/1596-3519.55655.
3
Prenatal detection of the cystic form of meconium peritonitis: no issues for delayed postnatal surgery.胎粪性腹膜炎囊性形式的产前检测:对延迟出生后手术无影响。
Pediatr Surg Int. 2008 Sep;24(9):1061-5. doi: 10.1007/s00383-008-2194-9. Epub 2008 Jul 31.
4
Abdominal dystocia in a case of undetected intrauterine meconium peritonitis due to cystic fibrosis.
Congenit Anom (Kyoto). 2007 Jun;47(2):72-3. doi: 10.1111/j.1741-4520.2007.00147.x.
5
Prenatal MR imaging of a meconium pseudocyst extending to the right subphrenic space with right lung compression.产前磁共振成像显示胎粪假性囊肿延伸至右膈下间隙并压迫右肺。
Pediatr Radiol. 2006 Nov;36(11):1208-11. doi: 10.1007/s00247-006-0294-z. Epub 2006 Sep 19.
6
Shoulder dystocia: the unpreventable obstetric emergency with empiric management guidelines.肩难产:具有经验性管理指南的不可预防的产科急症
Am J Obstet Gynecol. 2006 Sep;195(3):657-72. doi: 10.1016/j.ajog.2005.09.007. Epub 2006 Apr 21.
7
Meconium peritonitis and pseudo-cyst formation: prenatal diagnosis and post-natal course.胎粪性腹膜炎与假性囊肿形成:产前诊断与产后病程
Prenat Diagn. 2003 Nov;23(11):904-8. doi: 10.1002/pd.720.
8
Correlation of prenatal ultrasound and postnatal outcome in meconium peritonitis.胎粪性腹膜炎的产前超声与产后结局的相关性
Fetal Diagn Ther. 2003 Jul-Aug;18(4):255-61. doi: 10.1159/000070806.
9
Cystic fibrosis in Saudi Arabia: common and rare presentations.沙特阿拉伯的囊性纤维化:常见和罕见表现
Ann Trop Paediatr. 1995 Dec;15(4):269-72. doi: 10.1080/02724936.1995.11747782.
10
Antenatal diagnosis and management of meconium peritonitis: a case report and review of the literature.胎粪性腹膜炎的产前诊断与处理:一例病例报告及文献复习
Ultrasound Obstet Gynecol. 1995 Jul;6(1):66-9. doi: 10.1046/j.1469-0705.1995.06010066.x.