• 文献检索
  • 文档翻译
  • 深度研究
  • 学术资讯
  • Suppr Zotero 插件Zotero 插件
  • 邀请有礼
  • 套餐&价格
  • 历史记录
应用&插件
Suppr Zotero 插件Zotero 插件浏览器插件Mac 客户端Windows 客户端微信小程序
定价
高级版会员购买积分包购买API积分包
服务
文献检索文档翻译深度研究API 文档MCP 服务
关于我们
关于 Suppr公司介绍联系我们用户协议隐私条款
关注我们

Suppr 超能文献

核心技术专利:CN118964589B侵权必究
粤ICP备2023148730 号-1Suppr @ 2026

文献检索

告别复杂PubMed语法,用中文像聊天一样搜索,搜遍4000万医学文献。AI智能推荐,让科研检索更轻松。

立即免费搜索

文件翻译

保留排版,准确专业,支持PDF/Word/PPT等文件格式,支持 12+语言互译。

免费翻译文档

深度研究

AI帮你快速写综述,25分钟生成高质量综述,智能提取关键信息,辅助科研写作。

立即免费体验

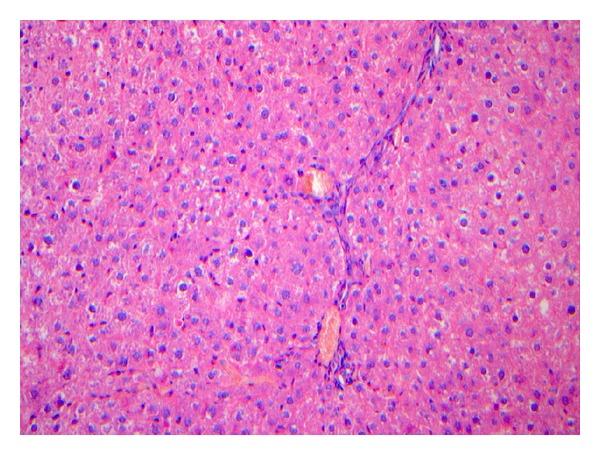
建立具有不同病理阶段的大鼠标准化肝纤维化模型。

Establishment of a standardized liver fibrosis model with different pathological stages in rats.

机构信息

Ganmei Hospital, Kunming Medical University, Kunming 650000, China.

出版信息

Gastroenterol Res Pract. 2012;2012:560345. doi: 10.1155/2012/560345. Epub 2012 Jun 12.

DOI:10.1155/2012/560345
PMID:22761610
原文链接:https://pmc.ncbi.nlm.nih.gov/articles/PMC3384940/
Abstract

Objective. To establish a standardized animal model for liver fibrosis with the same assessment criteria for liver fibrosis studies that have been established on a unified platform. Methods. The standardized liver fibrosis model was established using Sprague-Dawley (SD) rats that either received an intraperitoneal injection of carbon tetrachloride (CCl(4)) in small dosages or ingested an ethanol solution. Results. The definite corresponding rules among modeling of different weeks and corresponding serology indices as well as different pathological staging can be observed by modeling with small dosages and slow, individualized, and combined administrations. Conclusion. This method can be used for the standardized establishment of a liver fibrosis model in rats across 5 pathological stages, ranging from S0 to S4, with a high success rate (89.33%) and low death rate (17.3%) because of the application of multiple hypotoxic chemicals for modeling. We refer to the criteria of Histological Grading and Staging of Chronic Hepatitis for Fibrosis established by the 10th World Digestive Disease Academic Conference in Los Angeles in September 1994 (revised in November 2000).

摘要

目的。建立一种标准化的肝纤维化动物模型,其肝纤维化研究的评估标准与已在统一平台上建立的标准一致。方法。采用小剂量腹腔注射四氯化碳(CCl(4))或给予乙醇溶液的方法建立标准化肝纤维化模型。结果。通过小剂量、缓慢、个体化、联合给药的方式建模,可以观察到不同周数建模与相应血清学指标以及不同病理分期之间的明确对应规则。结论。该方法可用于标准化建立大鼠肝纤维化模型,涵盖从 S0 到 S4 的 5 个病理阶段,成功率高(89.33%),死亡率低(17.3%),因为采用了多种低毒性化学物质进行建模。我们参考了 1994 年 9 月在洛杉矶举行的第 10 届世界消化疾病学术会议(2000 年 11 月修订)制定的《慢性肝炎纤维化的组织学分级和分期标准》。

https://cdn.ncbi.nlm.nih.gov/pmc/blobs/9f8f/3384940/d6f547b2621a/GRP2012-560345.005.jpg
https://cdn.ncbi.nlm.nih.gov/pmc/blobs/9f8f/3384940/806bfc2fb8be/GRP2012-560345.001.jpg
https://cdn.ncbi.nlm.nih.gov/pmc/blobs/9f8f/3384940/77bb8bd47267/GRP2012-560345.002.jpg
https://cdn.ncbi.nlm.nih.gov/pmc/blobs/9f8f/3384940/0a3c135ba436/GRP2012-560345.003.jpg
https://cdn.ncbi.nlm.nih.gov/pmc/blobs/9f8f/3384940/90f0fde975c9/GRP2012-560345.004.jpg
https://cdn.ncbi.nlm.nih.gov/pmc/blobs/9f8f/3384940/d6f547b2621a/GRP2012-560345.005.jpg
https://cdn.ncbi.nlm.nih.gov/pmc/blobs/9f8f/3384940/806bfc2fb8be/GRP2012-560345.001.jpg
https://cdn.ncbi.nlm.nih.gov/pmc/blobs/9f8f/3384940/77bb8bd47267/GRP2012-560345.002.jpg
https://cdn.ncbi.nlm.nih.gov/pmc/blobs/9f8f/3384940/0a3c135ba436/GRP2012-560345.003.jpg
https://cdn.ncbi.nlm.nih.gov/pmc/blobs/9f8f/3384940/90f0fde975c9/GRP2012-560345.004.jpg
https://cdn.ncbi.nlm.nih.gov/pmc/blobs/9f8f/3384940/d6f547b2621a/GRP2012-560345.005.jpg

相似文献

1
Establishment of a standardized liver fibrosis model with different pathological stages in rats.建立具有不同病理阶段的大鼠标准化肝纤维化模型。
Gastroenterol Res Pract. 2012;2012:560345. doi: 10.1155/2012/560345. Epub 2012 Jun 12.
2
Quantitative analysis of susceptibility-weighted magnetic resonance imaging in chronic hepatitis in rats.大鼠慢性肝炎的磁共振成像敏感性加权定量分析。
Magn Reson Imaging. 2018 Dec;54:71-76. doi: 10.1016/j.mri.2018.08.008. Epub 2018 Aug 18.
3
[Establishment of liver fibrosis in rabbit model and quantitative study on hepatic perfusion with dynamic whole-liver 3D MR imaging].[兔肝纤维化模型的建立及动态全肝三维磁共振成像对肝脏灌注的定量研究]
Zhonghua Gan Zang Bing Za Zhi. 2009 May;17(5):350-3.
4
[A comparative study of 3.0T (1)H-MRS for varying degrees of liver fibrosis in cynomolgus monkeys].食蟹猴不同程度肝纤维化的3.0T氢质子磁共振波谱对比研究
Zhonghua Gan Zang Bing Za Zhi. 2020 Sep 20;28(9):766-772. doi: 10.3760/cma.j.cn501113-20190212-00044.
5
(Z)-5-(4-methoxybenzylidene)thiazolidine-2,4-dione protects rats from carbon tetrachloride-induced liver injury and fibrogenesis.(Z)-5-(4-甲氧基苯亚甲基)噻唑烷-2,4-二酮可保护大鼠免受四氯化碳诱导的肝损伤和肝纤维化。
World J Gastroenterol. 2012 Feb 21;18(7):654-61. doi: 10.3748/wjg.v18.i7.654.
6
[Computer-aided assessment of liver fibrosis progression in patients with chronic hepatitis B: an exploratory research].[慢性乙型肝炎患者肝纤维化进展的计算机辅助评估:一项探索性研究]
Zhonghua Yi Xue Za Zhi. 2019 Feb 19;99(7):491-495. doi: 10.3760/cma.j.issn.0376-2491.2019.07.003.
7
[Establishment of a complex alcoholic liver fibrosis mouse model and investigation of OPN and TGF-beta1 hepatic expression].[复合性酒精性肝纤维化小鼠模型的建立及骨桥蛋白和转化生长因子-β1肝脏表达的研究]
Zhonghua Gan Zang Bing Za Zhi. 2013 Mar;21(3):207-12.
8
[Inhibitory effect of acupuncture on hepatic extracellular matrix production in carbon tetrachloride-induced liver fibrosis rats].[针刺对四氯化碳诱导的肝纤维化大鼠肝细胞外基质生成的抑制作用]
Zhen Ci Yan Jiu. 2012 Feb;37(1):8-14.
9
[Effect and mechanism of total flavonoids of Lichi Semen on CCl_4-induced liver fibrosis in rats, and prediction of Q-marker].荔枝核总黄酮对四氯化碳诱导的大鼠肝纤维化的作用、机制及Q-标志物预测
Zhongguo Zhong Yao Za Zhi. 2020 Dec;45(23):5722-5731. doi: 10.19540/j.cnki.cjcmm.20200720.401.
10
[Effects of Chinese herbal medicine Yinchenhao Decoction on expressions of apoptosis-related genes in dimethylnitrosamine- or carbon tetrachloride-induced liver cirrhosis in rats].[中药茵陈蒿汤对二甲基亚硝胺或四氯化碳诱导的大鼠肝硬化凋亡相关基因表达的影响]
Zhong Xi Yi Jie He Xue Bao. 2011 Apr;9(4):423-34. doi: 10.3736/jcim20110412.

引用本文的文献

1
β-Caryophyllene Ameliorates Thioacetamide-Induced Liver Fibrosis in Rats: A Preventative Approach.β-石竹烯改善硫代乙酰胺诱导的大鼠肝纤维化:一种预防性方法。
Int J Mol Sci. 2025 Sep 1;26(17):8493. doi: 10.3390/ijms26178493.
2
Establishment of a Spontaneous Liver Fibrosis Model in NOD/SCID Mice Induced by Natural Aging.自然衰老诱导的NOD/SCID小鼠自发性肝纤维化模型的建立。
Biology (Basel). 2023 Dec 6;12(12):1493. doi: 10.3390/biology12121493.
3
Therapeutic effect of bone marrow mesenchymal stem cells in a rat model of carbon tetrachloride induced liver fibrosis.

本文引用的文献

1
Apoptosis as a mechanism for liver disease progression.细胞凋亡作为肝脏疾病进展的一种机制。
Semin Liver Dis. 2010 Nov;30(4):402-10. doi: 10.1055/s-0030-1267540. Epub 2010 Oct 19.
2
Angiogenesis and schistosomiasis.血管生成与血吸虫病。
Mem Inst Oswaldo Cruz. 2010 Jul;105(4):436-9. doi: 10.1590/s0074-02762010000400013.
3
[Histopathological diagnosis of non-alcoholic and alcoholic fatty liver disease. Grade 2 consensus-based guidelines].[非酒精性和酒精性脂肪性肝病的组织病理学诊断。基于共识的2级指南]
骨髓间充质干细胞对四氯化碳诱导的肝纤维化大鼠模型的治疗效果。
Biomed J. 2021 Oct;44(5):598-610. doi: 10.1016/j.bj.2020.04.011. Epub 2020 May 7.
4
Isorhamnetin Inhibits Liver Fibrosis by Reducing Autophagy and Inhibiting Extracellular Matrix Formation via the TGF-1/Smad3 and TGF-1/p38 MAPK Pathways.山奈酚通过减少自噬和抑制细胞外基质形成来抑制肝纤维化,其作用途径为 TGF-β1/Smad3 和 TGF-β1/p38MAPK。
Mediators Inflamm. 2019 Jul 31;2019:6175091. doi: 10.1155/2019/6175091. eCollection 2019.
5
Antifibrotic effects of gallic acid on hepatic stellate cells: mechanistic study.没食子酸对肝星状细胞的抗纤维化作用:机制研究。
J Tradit Complement Med. 2018 Apr 27;9(1):45-53. doi: 10.1016/j.jtcme.2018.01.010. eCollection 2019 Jan.
6
Protective Effect of Water Extract (Proliverenol) against Carbon Tetrachloride-Induced Liver Fibrosis in Rats: Role of TNF- and TGF-1.水提取物(Proliverenol)对四氯化碳诱导的大鼠肝纤维化的保护作用:肿瘤坏死因子和转化生长因子-1的作用
J Toxicol. 2018 Dec 2;2018:2642714. doi: 10.1155/2018/2642714. eCollection 2018.
7
An Attempt to Establish a Common Animal Model for Hepatorenal Fibrosis in Rats.建立大鼠肝肾纤维化通用动物模型的尝试。
Patholog Res Int. 2017;2017:8260508. doi: 10.1155/2017/8260508. Epub 2017 Aug 1.
8
A New Oleanolic Acid Derivative against CCl₄-Induced Hepatic Fibrosis in Rats.一种抗四氯化碳诱导大鼠肝纤维化的新型齐墩果酸衍生物。
Int J Mol Sci. 2017 Mar 6;18(3):553. doi: 10.3390/ijms18030553.
9
Antioxidant Effects of Bone Marrow Mesenchymal Stem Cell against Carbon Tetrachloride-Induced Oxidative Damage in Rat Livers.骨髓间充质干细胞对四氯化碳诱导的大鼠肝脏氧化损伤的抗氧化作用
Int J Organ Transplant Med. 2014;5(4):166-73.
10
Mutant MMP-9 and HGF gene transfer enhance resolution of CCl4-induced liver fibrosis in rats: role of ASH1 and EZH2 methyltransferases repression.突变型基质金属蛋白酶-9和肝细胞生长因子基因转移可增强四氯化碳诱导的大鼠肝纤维化的消退:ASH1和EZH2甲基转移酶抑制的作用
PLoS One. 2014 Nov 7;9(11):e112384. doi: 10.1371/journal.pone.0112384. eCollection 2014.
Pathologe. 2010 May;31(3):225-37. doi: 10.1007/s00292-010-1274-5.
4
Use of nakagami statistics and empirical mode decomposition for ultrasound tissue characterization by a nonfocused transducer.使用 Nakagami 统计量和经验模态分解对非聚焦换能器进行超声组织特征描述。
Ultrasound Med Biol. 2009 Dec;35(12):2055-68. doi: 10.1016/j.ultrasmedbio.2009.08.003. Epub 2009 Oct 13.
5
Liver biopsy in alcoholic and non-alcoholic steatohepatitis patients.酒精性和非酒精性脂肪性肝炎患者的肝活检
Gastroenterol Clin Biol. 2009 Oct-Nov;33(10-11):930-9. doi: 10.1016/j.gcb.2009.05.009. Epub 2009 Jul 30.
6
Assessment of liver fibrosis by transient elastography in persons with hepatitis C virus infection or HIV-hepatitis C virus coinfection.通过瞬时弹性成像技术评估丙型肝炎病毒感染患者或人类免疫缺陷病毒-丙型肝炎病毒合并感染患者的肝纤维化情况。
Clin Infect Dis. 2009 Apr 1;48(7):963-72. doi: 10.1086/597350.
7
Improved diagnostic accuracy of blood tests for severe fibrosis and cirrhosis in chronic hepatitis C.慢性丙型肝炎中用于诊断严重肝纤维化和肝硬化的血液检测的诊断准确性提高。
Eur J Gastroenterol Hepatol. 2009 Jan;21(1):28-38. doi: 10.1097/MEG.0b013e32830cebd7.
8
Comparison of blood tests for liver fibrosis specific or not to NAFLD.非酒精性脂肪性肝病特异性或非特异性肝纤维化血液检测的比较
J Hepatol. 2009 Jan;50(1):165-73. doi: 10.1016/j.jhep.2008.07.035. Epub 2008 Oct 7.
9
A non-invasive algorithm accurately predicts advanced fibrosis in hepatitis C: a comparison using histology with internal-external validation.一种非侵入性算法可准确预测丙型肝炎的晚期纤维化:一项使用组织学进行内部-外部验证的比较研究。
J Hepatol. 2008 Oct;49(4):564-71. doi: 10.1016/j.jhep.2008.07.007. Epub 2008 Jul 24.
10
Evidence of liver histological alterations in apparently healthy individuals evaluated for living donor liver transplantation.在接受活体供肝移植评估的表面健康个体中肝脏组织学改变的证据。
Transplant Proc. 2008 Jul-Aug;40(6):1823-6. doi: 10.1016/j.transproceed.2008.06.008.