Suppr超能文献

双胞胎中的严重钙化茎突舌骨复合体:一例报告

Severe calcified stylohyoid complex in twins: a case report.

作者信息

Kim Jo-Eun, Min Jung-Hyun, Park Hae-Rang, Choi Bo-Ram, Choi Jin-Woo, Huh Kyung-Hoe

机构信息

Department of Oral and Maxillofacial Radiology and Dental Research Institute, School of Dentistry, Seoul National University, Seoul, Korea.

出版信息

Imaging Sci Dent. 2012 Jun;42(2):95-7. doi: 10.5624/isd.2012.42.2.95. Epub 2012 Jun 25.

Abstract

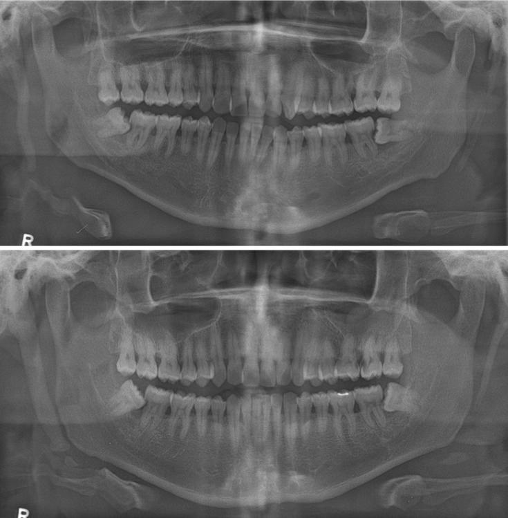
The styloid process is a cylindrical, long cartilaginous bone located on the temporal bone. The calcified stylohyoid ligament and elongated styloid process can be identified radiographically, and they are associated with a number of syndromes and symptoms. The exact cause of the styloid process elongation due to calcification and subsequent ossification of ligament is unclear. This report presents a case of severely calcified stylohyoid ligament complex occurred in twins who have the same pattern of calcification.

摘要

茎突是位于颞骨上的圆柱形长软骨性骨。钙化的茎突舌骨韧带和伸长的茎突可通过影像学检查识别,它们与多种综合征和症状相关。韧带钙化及随后骨化导致茎突伸长的确切原因尚不清楚。本报告介绍了一对双胞胎中发生的严重钙化的茎突舌骨韧带复合体病例,他们具有相同的钙化模式。

https://cdn.ncbi.nlm.nih.gov/pmc/blobs/7f5d/3389056/1695117686a1/isd-42-95-g001.jpg

文献AI研究员

20分钟写一篇综述,助力文献阅读效率提升50倍。

立即体验

用中文搜PubMed

大模型驱动的PubMed中文搜索引擎

马上搜索

文档翻译

学术文献翻译模型,支持多种主流文档格式。

立即体验