Suppr超能文献

婴儿胸锁乳突肌肿瘤的细胞诊断

Cytodiagnosis of sternocleidomastoid tumor of infancy.

作者信息

Baisakh Manas R, Mishra Minakshi, Narayanan Radhika, Mohanty Rajesh

机构信息

Department of Pathology, Tata Main Hospital, Jamshedpur, India.

出版信息

J Cytol. 2012 Apr;29(2):149-51. doi: 10.4103/0970-9371.97164.

Abstract

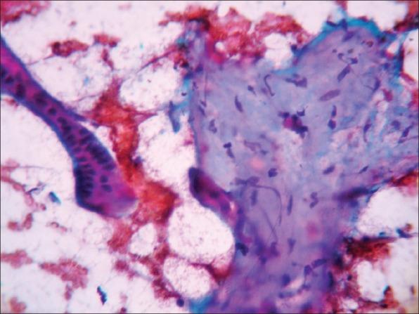
Sterocleidomastoid tumor of infancy (SCMI), also known as fibromatosis colli of infancy, is a benign, self limiting disease of new born characterised by its classical history and clinical presentation of firm to hard fusiform mass in the lower and middle portion of sternocleidomastoid. SCMI often appears during early perinatal period between second to fourth weeks of life. A well recognized association between SCMI and primiparous birth, breech presentation, prolonged difficult labor and forceps deliveries is found. Cytology shows spindle shaped mature fibroblastic cells scattered singly along with degenerated and multinucleated giant muscle cells in a clean background. It is important to differentiate this lesion from different forms of infantile fibromatosis. Fine-needle aspiration cytology (FNAC), as a time saving, rapid and reliable diagnostic procedure, has got bigger role to play in reassurance of anxious parents, guiding for conservative management and avoiding surgery.

摘要

婴儿胸锁乳突肌肿瘤(SCMI),也称为婴儿颈部纤维瘤病,是一种新生儿的良性自限性疾病,其典型病史和临床表现为胸锁乳突肌中下部分出现质地坚硬至硬的梭形肿块。SCMI通常出现在围产期早期,即出生后第二至第四周。人们发现SCMI与初产、臀位产、产程延长困难和产钳分娩之间存在明确的关联。细胞学检查显示梭形成熟成纤维细胞单独散在分布,背景清晰,伴有退化的多核巨肌细胞。将此病变与不同形式的婴儿纤维瘤病进行鉴别很重要。细针穿刺细胞学检查(FNAC)作为一种省时、快速且可靠的诊断方法,在安抚焦虑的父母、指导保守治疗和避免手术方面发挥着更大的作用。

https://cdn.ncbi.nlm.nih.gov/pmc/blobs/eaba/3391802/53429cb54a95/JCytol-29-149-g001.jpg

文献检索

告别复杂PubMed语法,用中文像聊天一样搜索,搜遍4000万医学文献。AI智能推荐,让科研检索更轻松。

立即免费搜索

文件翻译

保留排版,准确专业,支持PDF/Word/PPT等文件格式,支持 12+语言互译。

免费翻译文档

深度研究

AI帮你快速写综述,25分钟生成高质量综述,智能提取关键信息,辅助科研写作。

立即免费体验