• 文献检索
  • 文档翻译
  • 深度研究
  • 学术资讯
  • Suppr Zotero 插件Zotero 插件
  • 邀请有礼
  • 套餐&价格
  • 历史记录
应用&插件
Suppr Zotero 插件Zotero 插件浏览器插件Mac 客户端Windows 客户端微信小程序
定价
高级版会员购买积分包购买API积分包
服务
文献检索文档翻译深度研究API 文档MCP 服务
关于我们
关于 Suppr公司介绍联系我们用户协议隐私条款
关注我们

Suppr 超能文献

核心技术专利:CN118964589B侵权必究
粤ICP备2023148730 号-1Suppr @ 2026

文献检索

告别复杂PubMed语法,用中文像聊天一样搜索,搜遍4000万医学文献。AI智能推荐,让科研检索更轻松。

立即免费搜索

文件翻译

保留排版,准确专业,支持PDF/Word/PPT等文件格式,支持 12+语言互译。

免费翻译文档

深度研究

AI帮你快速写综述,25分钟生成高质量综述,智能提取关键信息,辅助科研写作。

立即免费体验

抑制 Jab1/CSN5 通过改变 DNA 损伤和修复途径诱导鼻咽癌的放射和化疗敏感性。

Suppression of Jab1/CSN5 induces radio- and chemo-sensitivity in nasopharyngeal carcinoma through changes to the DNA damage and repair pathways.

机构信息

Department of Systems Biology, The University of Texas MD Anderson Cancer Center, Houston, TX 77030, USA.

出版信息

Oncogene. 2013 May 30;32(22):2756-66. doi: 10.1038/onc.2012.294. Epub 2012 Jul 16.

DOI:10.1038/onc.2012.294
PMID:22797071
原文链接:https://pmc.ncbi.nlm.nih.gov/articles/PMC3566273/
Abstract

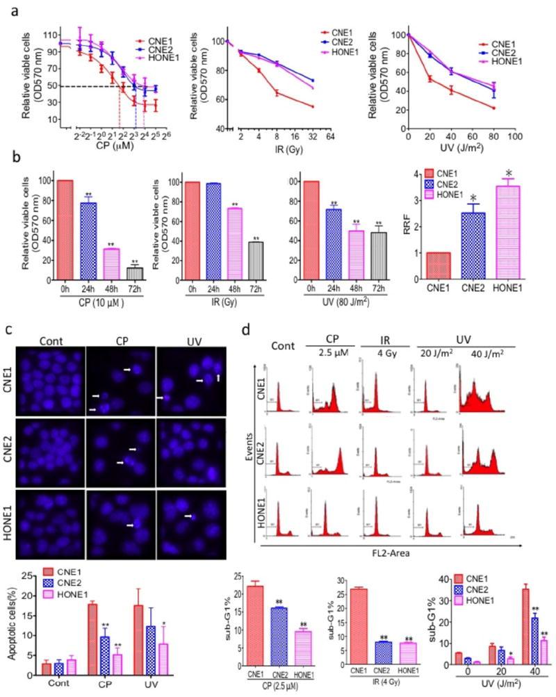
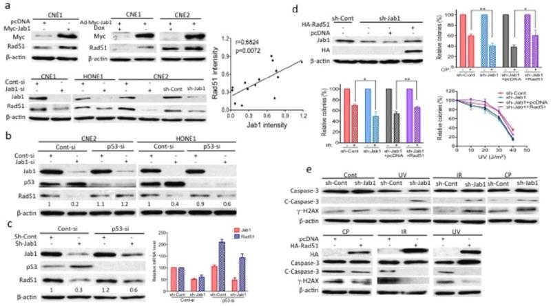
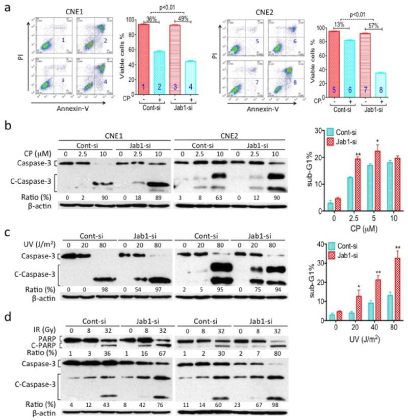
Nasopharyngeal carcinoma (NPC) is an Epstein-Barr virus-associated malignancy most common in East Asia and Africa. Radiotherapy and cisplatin-based chemotherapy are the main treatment options. Unfortunately, disease response to concurrent chemoradiotherapy varies among patients with NPC, and many cases are resistant to cisplatin. Increased DNA damage repair is one of the mechanisms contributing to this resistance. Jab1/CSN5 is a multifunctional protein that participates in controlling cell proliferation and the stability of multiple proteins. Jab1 overexpression has been found to correlate with poor prognosis in several tumor types. However, the biological significance of Jab1 activity in response to cancer treatment is unclear. In this study, we used three NPC cell lines (CNE1, CNE2 and HONE1) to investigate the hypothesis that Jab1 positively regulates the DNA repair protein Rad51 and, in turn, cellular response to treatment with DNA-damaging agents such as cisplatin, ionizing radiation (IR) and ultraviolet (UV) radiation. We found that Jab1 was overexpressed in two relatively cisplatin-, IR- and UV-resistant NPC cell lines, and knocking down its expression conferred sensitivity to cisplatin, IR and UV radiation. By contrast, exogenous Jab1 expression enhanced the resistance of NPC cells to cisplatin, IR and UV radiation. Moreover, we provide a mechanism by which Jab1 positively regulated Rad51 through p53-dependent pathway, and increased ectopic expression of Rad51 conferred cellular resistance to cisplatin, IR and UV radiation in Jab1-deficient cells. Taken together, our findings suggest that Jab1 has an important role in the cellular response to cisplatin and irradiation by regulating DNA damage and repair pathways. Therefore, Jab1 is a novel biomarker for predicting the outcome of patients with NPC who are treated with DNA-damaging agents.

摘要

鼻咽癌(NPC)是一种 Epstein-Barr 病毒相关的恶性肿瘤,在东亚和非洲最为常见。放射治疗和顺铂为基础的化疗是主要的治疗选择。不幸的是,NPC 患者对同期放化疗的反应存在差异,许多病例对顺铂耐药。增加的 DNA 损伤修复是导致这种耐药性的机制之一。Jab1/CSN5 是一种多功能蛋白,参与控制细胞增殖和多种蛋白质的稳定性。Jab1 的过表达已被发现与几种肿瘤类型的不良预后相关。然而,Jab1 活性在癌症治疗中的生物学意义尚不清楚。在这项研究中,我们使用三种 NPC 细胞系(CNE1、CNE2 和 HONE1)来验证 Jab1 是否正向调节 DNA 修复蛋白 Rad51,进而影响 NPC 细胞对顺铂、电离辐射(IR)和紫外线(UV)等 DNA 损伤剂的治疗反应的假设。我们发现 Jab1 在两种相对耐顺铂、IR 和 UV 的 NPC 细胞系中过表达,敲低其表达可使 NPC 细胞对顺铂、IR 和 UV 辐射敏感。相比之下,外源性 Jab1 表达增强了 NPC 细胞对顺铂、IR 和 UV 辐射的耐药性。此外,我们提供了一种机制,即 Jab1 通过 p53 依赖性途径正向调节 Rad51,并增加 NPC 细胞中 Rad51 的异位表达可赋予细胞对 Jab1 缺陷细胞中顺铂、IR 和 UV 辐射的耐药性。总之,我们的研究结果表明,Jab1 通过调节 DNA 损伤和修复途径在 NPC 细胞对顺铂和照射的反应中发挥重要作用。因此,Jab1 是预测接受 DNA 损伤剂治疗的 NPC 患者预后的新型生物标志物。

https://cdn.ncbi.nlm.nih.gov/pmc/blobs/34d8/3566273/a69755fea642/nihms383122f6.jpg
https://cdn.ncbi.nlm.nih.gov/pmc/blobs/34d8/3566273/ed72af9ca2d3/nihms383122f1.jpg
https://cdn.ncbi.nlm.nih.gov/pmc/blobs/34d8/3566273/3ef7848d1b90/nihms383122f2.jpg
https://cdn.ncbi.nlm.nih.gov/pmc/blobs/34d8/3566273/49306a714ece/nihms383122f3.jpg
https://cdn.ncbi.nlm.nih.gov/pmc/blobs/34d8/3566273/69b6711e5a99/nihms383122f4.jpg
https://cdn.ncbi.nlm.nih.gov/pmc/blobs/34d8/3566273/586cf6b9e57f/nihms383122f5.jpg
https://cdn.ncbi.nlm.nih.gov/pmc/blobs/34d8/3566273/a69755fea642/nihms383122f6.jpg
https://cdn.ncbi.nlm.nih.gov/pmc/blobs/34d8/3566273/ed72af9ca2d3/nihms383122f1.jpg
https://cdn.ncbi.nlm.nih.gov/pmc/blobs/34d8/3566273/3ef7848d1b90/nihms383122f2.jpg
https://cdn.ncbi.nlm.nih.gov/pmc/blobs/34d8/3566273/49306a714ece/nihms383122f3.jpg
https://cdn.ncbi.nlm.nih.gov/pmc/blobs/34d8/3566273/69b6711e5a99/nihms383122f4.jpg
https://cdn.ncbi.nlm.nih.gov/pmc/blobs/34d8/3566273/586cf6b9e57f/nihms383122f5.jpg
https://cdn.ncbi.nlm.nih.gov/pmc/blobs/34d8/3566273/a69755fea642/nihms383122f6.jpg

相似文献

1
Suppression of Jab1/CSN5 induces radio- and chemo-sensitivity in nasopharyngeal carcinoma through changes to the DNA damage and repair pathways.抑制 Jab1/CSN5 通过改变 DNA 损伤和修复途径诱导鼻咽癌的放射和化疗敏感性。
Oncogene. 2013 May 30;32(22):2756-66. doi: 10.1038/onc.2012.294. Epub 2012 Jul 16.
2
Hsa-miR-24-3p increases nasopharyngeal carcinoma radiosensitivity by targeting both the 3'UTR and 5'UTR of Jab1/CSN5.人源微小RNA-24-3p通过靶向Jab1/CSN5的3'非翻译区和5'非翻译区增加鼻咽癌放射敏感性。
Oncogene. 2016 Nov 24;35(47):6096-6108. doi: 10.1038/onc.2016.147. Epub 2016 May 9.
3
Targeting Jab1/CSN5 in nasopharyngeal carcinoma.针对鼻咽癌中的 Jab1/CSN5。
Cancer Lett. 2012 Dec 30;326(2):155-60. doi: 10.1016/j.canlet.2012.07.033. Epub 2012 Aug 4.
4
Curcumin analogue T83 exhibits potent antitumor activity and induces radiosensitivity through inactivation of Jab1 in nasopharyngeal carcinoma.姜黄素类似物 T83 通过失活 Jab1 在鼻咽癌中表现出强大的抗肿瘤活性和诱导放射敏感性。
BMC Cancer. 2013 Jul 1;13:323. doi: 10.1186/1471-2407-13-323.
5
Stat3 contributes to cancer progression by regulating Jab1/Csn5 expression.信号转导及转录激活因子3(Stat3)通过调节Jab1/Csn5的表达促进癌症进展。
Oncogene. 2017 Feb 23;36(8):1069-1079. doi: 10.1038/onc.2016.271. Epub 2016 Aug 15.
6
RPA1 downregulation enhances nasopharyngeal cancer radiosensitivity via blocking RAD51 to the DNA damage site.RPA1 下调通过阻断 RAD51 到 DNA 损伤部位增强鼻咽癌放射敏感性。
Exp Cell Res. 2018 Oct 15;371(2):330-341. doi: 10.1016/j.yexcr.2018.08.025. Epub 2018 Aug 23.
7
Jab1/CSN5 negatively regulates p27 and plays a role in the pathogenesis of nasopharyngeal carcinoma.Jab1/CSN5 负向调控 p27 并在鼻咽癌的发病机制中发挥作用。
Cancer Res. 2012 Apr 1;72(7):1890-900. doi: 10.1158/0008-5472.CAN-11-3472. Epub 2012 Feb 20.
8
Jab1/Cops5 contributes to chemoresistance in breast cancer by regulating Rad51.Jab1/Cops5 通过调节 Rad51 促进乳腺癌的化疗耐药性。
Cell Signal. 2019 Jan;53:39-48. doi: 10.1016/j.cellsig.2018.09.010. Epub 2018 Sep 20.
9
Stat3 inhibitor Stattic exhibits potent antitumor activity and induces chemo- and radio-sensitivity in nasopharyngeal carcinoma.Stat3 抑制剂 Stattic 表现出强大的抗肿瘤活性,并诱导鼻咽癌的化疗和放疗敏感性。
PLoS One. 2013;8(1):e54565. doi: 10.1371/journal.pone.0054565. Epub 2013 Jan 29.
10
Silencing NFBD1/MDC1 enhances the radiosensitivity of human nasopharyngeal cancer CNE1 cells and results in tumor growth inhibition.沉默NFBD1/MDC1可增强人鼻咽癌CNE1细胞的放射敏感性并导致肿瘤生长抑制。
Cell Death Dis. 2015 Aug 6;6(8):e1849. doi: 10.1038/cddis.2015.214.

引用本文的文献

1
Jab1 regulates HRR mRNA stability to modulate PARP inhibitor sensitivity in triple-negative breast cancer.Jab1调节HRR mRNA稳定性以调节三阴性乳腺癌中PARP抑制剂的敏感性。
Mol Cancer. 2025 Aug 16;24(1):217. doi: 10.1186/s12943-025-02422-7.
2
Individualised cumulative cisplatin dose for locoregionally advanced nasopharyngeal carcinoma patients based on induction chemotherapy response and tumour volume.基于诱导化疗反应和肿瘤体积的局部晚期鼻咽癌患者个体化顺铂累积剂量
Ther Adv Med Oncol. 2024 Oct 9;16:17588359241286222. doi: 10.1177/17588359241286222. eCollection 2024.
3
GOLM1 dictates acquired Lenvatinib resistance by a GOLM1-CSN5 positive feedback loop upon EGFR signaling activation in hepatocellular carcinoma.

本文引用的文献

1
Jab1/CSN5 negatively regulates p27 and plays a role in the pathogenesis of nasopharyngeal carcinoma.Jab1/CSN5 负向调控 p27 并在鼻咽癌的发病机制中发挥作用。
Cancer Res. 2012 Apr 1;72(7):1890-900. doi: 10.1158/0008-5472.CAN-11-3472. Epub 2012 Feb 20.
2
Deciphering the molecular genetic basis of NPC through molecular, cytogenetic, and epigenetic approaches.通过分子、细胞遗传学和表观遗传学方法揭示 NPC 的分子遗传基础。
Semin Cancer Biol. 2012 Apr;22(2):79-86. doi: 10.1016/j.semcancer.2011.12.011. Epub 2012 Jan 10.
3
DNA double-strand breaks induced by high NaCl occur predominantly in gene deserts.
GOLM1 通过 EGFR 信号激活在肝细胞癌中形成 GOLM1-CSN5 正反馈环来决定获得性仑伐替尼耐药性。
Oncogene. 2024 Oct;43(42):3108-3120. doi: 10.1038/s41388-024-03153-7. Epub 2024 Sep 9.
4
The CSN5/HSF/SPI1/PU.1 Axis Regulates Cell Proliferation in Hypocellular Myelodysplastic Syndrome Patients.CSN5/HSF/SPI1/PU.1轴调节低细胞性骨髓增生异常综合征患者的细胞增殖。
J Pediatr Hematol Oncol. 2023 Oct 1;45(7):e873-e878. doi: 10.1097/MPH.0000000000002712. Epub 2023 Aug 1.
5
Individualized number of induction chemotherapy cycles for locoregionally advanced nasopharyngeal carcinoma patients based on early tumor response.基于早期肿瘤反应的局部晚期鼻咽癌患者诱导化疗周期的个体化。
Cancer Med. 2023 Feb;12(4):4010-4022. doi: 10.1002/cam4.5256. Epub 2022 Sep 20.
6
Targeting the COP9 signalosome for cancer therapy.靶向COP9信号体用于癌症治疗。
Cancer Biol Med. 2022 Mar 21;19(5):573-90. doi: 10.20892/j.issn.2095-3941.2021.0605.
7
Involvement of Non-Coding RNAs in Chemo- and Radioresistance of Nasopharyngeal Carcinoma.非编码RNA在鼻咽癌化疗和放疗抵抗中的作用
Cancer Manag Res. 2021 Nov 23;13:8781-8794. doi: 10.2147/CMAR.S336265. eCollection 2021.
8
Identification of a seven-long non-coding RNA signature associated with Jab1/CSN5 in predicting hepatocellular carcinoma.鉴定与Jab1/CSN5相关的七长非编码RNA特征以预测肝细胞癌。
Cell Death Discov. 2021 Jul 10;7(1):178. doi: 10.1038/s41420-021-00560-7.
9
PARP1-Inhibition Sensitizes Cervical Cancer Cell Lines for Chemoradiation and Thermoradiation.PARP1抑制使宫颈癌细胞系对放化疗和热放疗敏感。
Cancers (Basel). 2021 Apr 26;13(9):2092. doi: 10.3390/cancers13092092.
10
Role of Non-coding RNAs on the Radiotherapy Sensitivity and Resistance of Head and Neck Cancer: From Basic Research to Clinical Application.非编码RNA在头颈部癌放疗敏感性和抗性中的作用:从基础研究到临床应用
Front Cell Dev Biol. 2021 Feb 11;8:637435. doi: 10.3389/fcell.2020.637435. eCollection 2020.
高浓度盐诱导的 DNA 双链断裂主要发生在基因荒漠区。
Proc Natl Acad Sci U S A. 2011 Dec 20;108(51):20796-801. doi: 10.1073/pnas.1114677108. Epub 2011 Nov 21.
4
The epistatic relationship between BRCA2 and the other RAD51 mediators in homologous recombination.BRCA2 与同源重组中其他 RAD51 介体的上位性关系。
PLoS Genet. 2011 Jul;7(7):e1002148. doi: 10.1371/journal.pgen.1002148. Epub 2011 Jul 14.
5
Inhibition of p53 expression by peptide-conjugated phosphorodiamidate morpholino oligomers sensitizes human cancer cells to chemotherapeutic drugs.肽偶联的磷酰胺酸吗啉寡聚物抑制 p53 表达可增强人癌细胞对化疗药物的敏感性。
Oncogene. 2012 Feb 23;31(8):1024-33. doi: 10.1038/onc.2011.300. Epub 2011 Jul 18.
6
Role of eIF3a in regulating cisplatin sensitivity and in translational control of nucleotide excision repair of nasopharyngeal carcinoma.eIF3a 在调节顺铂敏感性和鼻咽癌核苷酸切除修复的翻译控制中的作用。
Oncogene. 2011 Dec 1;30(48):4814-23. doi: 10.1038/onc.2011.189. Epub 2011 May 30.
7
Functional relevance of the histone gammaH2Ax in the response to DNA damaging agents.组蛋白γH2AX 在应对 DNA 损伤剂中的功能相关性。
Proc Natl Acad Sci U S A. 2011 May 24;108(21):8663-7. doi: 10.1073/pnas.1105866108. Epub 2011 May 9.
8
hMSH2 recruits ATR to DNA damage sites for activation during DNA damage-induced apoptosis.hMSH2 将 ATR 募集到 DNA 损伤部位,以便在 DNA 损伤诱导的细胞凋亡过程中被激活。
J Biol Chem. 2011 Mar 25;286(12):10411-8. doi: 10.1074/jbc.M110.210989. Epub 2011 Feb 1.
9
The DNA damage response: making it safe to play with knives.DNA 损伤反应:让“玩刀”变得安全。
Mol Cell. 2010 Oct 22;40(2):179-204. doi: 10.1016/j.molcel.2010.09.019.
10
JAB1/CSN5: a new player in cell cycle control and cancer.JAB1/CSN5:细胞周期调控和癌症的新角色
Cell Div. 2010 Oct 18;5:26. doi: 10.1186/1747-1028-5-26.